Найти в Дзене

Проблема! Чем опасен клиновидный дефект зуба?

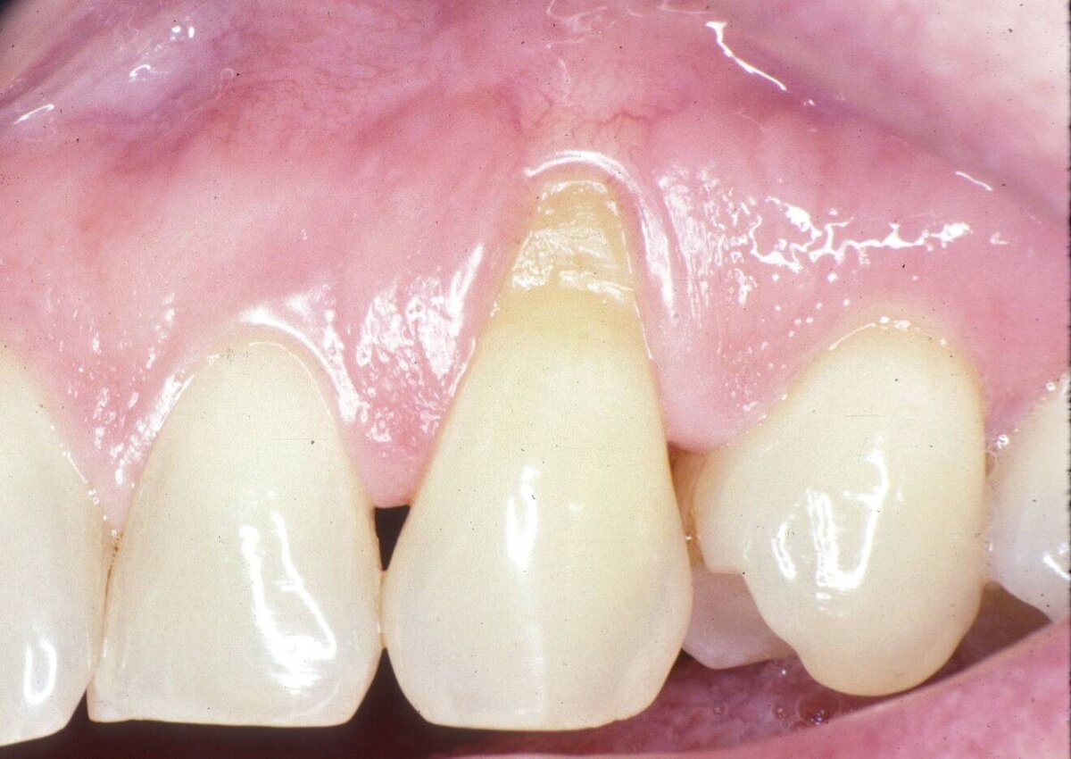
Клиновидный дефект не связан с кариесом, бактериальным поражением или воспалением. Он формируется постепенно, на первый взгляд, сам по себе. Эмаль и дентин разрушаются в области шейки зуба — на «стыке» коронки и корня. При этом образуется полость, «клин», из-за которого коронка может сломаться. Как появляются клиновидные дефекты? Причин может быть много. Чаще всего это: Что происходит дальше? Если в месте углубления будет скапливаться налет, то клиновидный дефект спровоцирует появление пришеечного кариеса. Эмаль потемнеет, полость увеличится, захватит дентин, может дойти до пульпы. Зуб станет более чувствительным, появится болезненность. Если налет не скапливается, но фактор, провоцирующий появление «клина» продолжает действовать, полость углубляется, твердые ткани разрушаются. Если зуб «живой», он начнет болеть. Если он депульпирован, боль может не появиться. Постепенно эмаль и корневой цемент начнут крошиться. Возможно травмирование десен острыми краями полости. Если лечение не выпол
Оглавление

Клиновидный дефект не связан с кариесом, бактериальным поражением или воспалением. Он формируется постепенно, на первый взгляд, сам по себе. Эмаль и дентин разрушаются в области шейки зуба — на «стыке» коронки и корня. При этом образуется полость, «клин», из-за которого коронка может сломаться.

Как появляются клиновидные дефекты?

Причин может быть много. Чаще всего это:

  • нарушения прикуса. Жевательная нагрузка распределяется неравномерно, неправильно. Шейка зуба — самое хрупкое, уязвимое место. Твердые ткани здесь нагружены слишком сильно. Они постепенно разрушаются, если в строении зубного ряда есть патологии;
  • неправильная техника чистки зубов. Обычно «клин» образуется, если эмаль и дентин уже ослаблены. Если движения щеткой — горизонтальные, со слишком большим усилием, чрезмерно интенсивные у основания коронки (так бывает, когда человек хочет лучше счищать налет), эмаль будет постепенно истираться, что приведет к формированию дефекта.
-2

Что происходит дальше?

Если в месте углубления будет скапливаться налет, то клиновидный дефект спровоцирует появление пришеечного кариеса. Эмаль потемнеет, полость увеличится, захватит дентин, может дойти до пульпы. Зуб станет более чувствительным, появится болезненность.

Если налет не скапливается, но фактор, провоцирующий появление «клина» продолжает действовать, полость углубляется, твердые ткани разрушаются. Если зуб «живой», он начнет болеть. Если он депульпирован, боль может не появиться. Постепенно эмаль и корневой цемент начнут крошиться. Возможно травмирование десен острыми краями полости.

Если лечение не выполняется, постепенное разрушение твердых тканей приводит к перелому коронки. Часто его линия или скол уходят под линию десневого края, затрагивают корень. Это делает реставрацию или протезирование невозможными. Чтобы восстановить зуб, приходится удалять его и выполнять имплантацию.

-3

В чем опасность?

Клиновидный дефект быстро прогрессирует: на начальной стадии глубина щели может составлять всего 0,1 мм. Без лечения она увеличивается до 5 мм и начинает угрожать переломом коронки.

Чаще всего такие дефекты появляются на премолярах, молярах и клыках. Это зубы, на которые приходится наибольшая жевательная нагрузка, что увеличивает риск быстрого разрушения коронки. Дополнительная проблема в том, что они просматриваются не так хорошо, как резцы. Нащупать клиновидный дефект языком удается не всегда из-за того, что он расположен в пришеечной части (его может «маскировать» край десны). Из-за этого процесс долго остается незамеченным. По опыту врачей клиники «ДентоСпас», пациенты обращается к стоматологу уже тогда, когда зуб серьезно разрушен.

Часто простого лечения клиновидного дефекта недостаточно. Чтобы он не появлялся снова, нужно устранить причину его образования: исправить прикус, выработать правильную технику чистки зубов, отказаться от частого употребления кислого, сладкого, вылечить десны, если у пациента диагностирован пародонтит.

Реставрацию зубов с клиновидными дефектами выполняют путем пломбирования, протезирования, установки виниров.

-4

Если понравился наш материал, подписывайтесь на наш канал✔, ставьте лайки👍!

Возможно Вам понравятся другие наши заметки: