Добавить в корзинуПозвонить
Найти в Дзене

Лечение остеосаркомы. Отзыв пациента

Остеосаркома – это злокачественная опухоль, происходящая из костной ткани. Отличается склонностью к бурному течению и раннему метастазированию. На начальных стадиях проявляется локальной болью, похожей на боли при ревматизме. В дальнейшем появляется припухлость, ограничение движений в расположенном поблизости суставе. Боли становятся резкими, невыносимыми. Возникают метастазы. История пациента Полгода назад в компанию МедикаТур обратились родители мальчика, который болел остеосаркомой. В Киргизии, где семья живёт, не могли ему помочь. В МедикаТур после изучения его медицинских выписок и анализов было предложено лечение в крупнейшей клинике Индии "Max Hospitals". Операция прошла успешно и сейчас мальчик уже вернулся домой к обычной жизни. Задать вопрос врачу. Нравятся наши статьи? Тогда подписываемся на наш канал, чтобы узнавать все новости из мира медицины. Мы в соцсетях: ВКонтакте Facebook Одноклассники Instagram Twitter YouTube
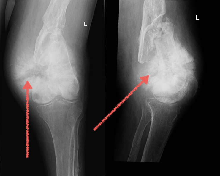
Остеосаркома
Остеосаркома

Остеосаркома – это злокачественная опухоль, происходящая из костной ткани. Отличается склонностью к бурному течению и раннему метастазированию. На начальных стадиях проявляется локальной болью, похожей на боли при ревматизме. В дальнейшем появляется припухлость, ограничение движений в расположенном поблизости суставе. Боли становятся резкими, невыносимыми. Возникают метастазы.

История пациента

Полгода назад в компанию МедикаТур обратились родители мальчика, который болел остеосаркомой. В Киргизии, где семья живёт, не могли ему помочь.

В МедикаТур после изучения его медицинских выписок и анализов было предложено лечение в крупнейшей клинике Индии "Max Hospitals".

Операция прошла успешно и сейчас мальчик уже вернулся домой к обычной жизни.

Задать вопрос врачу.

-2

Нравятся наши статьи? Тогда подписываемся на наш канал, чтобы узнавать все новости из мира медицины.

Мы в соцсетях:

ВКонтакте

Facebook

Одноклассники

Instagram

Twitter

YouTube