Добавить в корзинуПозвонить
Найти в Дзене
ЦАРСТВО ГРИБОВ...

Дрожжи - древние "домашние организмы"...

В современном мире 95% населения планеты знают, что такое дрожжи и про их значение в жизни человека. А вот про древнего человека такого сказать нельзя. Много лет назад дрожжи широко применялись в приготовлении пищи. Дрожжи - это одноклеточные грибы и являются самыми древними "домашними организмами". Археологи во время раскопок древнеегипетских городов нашли жернова и пекарни. На стенах увидели рисунки пекарей и пивоваров. По ходу, древние египтяне умели все и знали обо всем на свете. Умнейшая нация! ХХ в. до н.э. В это время человек сумел «приручить» дрожжи. Они использовались при производстве различных бодрящих напитков, содержащих этиловый спирт. Например, напиток "буза" (пиво) был в Древнем Египте широко известен. Приготовления хлеба из кислого дрожжевого теста тоже придумали древние египтяне. Это выяснилось на раскопках храма и гробниц фараона Эхнатона и его супруги Нефертити, (XIV в. до н.э.). Ученые обнаружили скопление форм для выпечки хлеба и кувшинов для пивоварения.
Дрожжи хлебопекарные.
Дрожжи хлебопекарные.

В современном мире 95% населения планеты знают, что такое дрожжи и про их значение в жизни человека. А вот про древнего человека такого сказать нельзя. Много лет назад дрожжи широко применялись в приготовлении пищи.

Дрожжи - это одноклеточные грибы и являются самыми древними "домашними организмами". Археологи во время раскопок древнеегипетских городов нашли жернова и пекарни. На стенах увидели рисунки пекарей и пивоваров. По ходу, древние египтяне умели все и знали обо всем на свете. Умнейшая нация!

Клетки дрожжей под микроскопом.
Клетки дрожжей под микроскопом.

ХХ в. до н.э. В это время человек сумел «приручить» дрожжи. Они использовались при производстве различных бодрящих напитков, содержащих этиловый спирт. Например, напиток "буза" (пиво) был в Древнем Египте широко известен. Приготовления хлеба из кислого дрожжевого теста тоже придумали древние египтяне. Это выяснилось на раскопках храма и гробниц фараона Эхнатона и его супруги Нефертити, (XIV в. до н.э.). Ученые обнаружили скопление форм для выпечки хлеба и кувшинов для пивоварения.

Китайцы в Х в. до н.э. умели отгонять спирт из бражки, содержащей дрожжи, для получения спиртных напитков. Ого, они опередили даже русских!

Жители Европы попробовали спиртное намного позже. Производство виски началось в Ирландии (ХI в.), а в ХIII в. широко распространилось пивоварение.

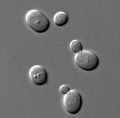
Дрожжи под микроскопом.
Дрожжи под микроскопом.

Первое описание дрожжей было осуществлено в 1680 г. Их увидел в капле бродящего пива под микроскопом голландец Антонии Ван Левенгук. После этого настало затишье на целых 150 лет.

С ХIХ века дрожжи стали более тщательно изучаться. Их назвали сахарными грибами, открыли процесс спиртового брожения, выделили чистую культуру. В общем, появилась новая наука о дрожжах - зимология!

Дрожжи обитают практически везде, где есть сахар. Они большие сластены! А если серьезно, то сахар им необходим для жизнедеятельности. Также их можно встретить в почве и природных водах. Но не спешите радоваться! Эти грибки обитают внутри человека тоже. Например, дрожжи рода Кандида. Они вызывают заболевание кандидоз.

Дрожжи для кулинарии.
Дрожжи для кулинарии.

Дрожжи - это прекрасный источник для человека аминокислот, минералов, витаминов, ферментов и других веществ, необходимых для роста, правильного метаболизма и укрепления иммунной системы.

Дрожжи – источник растительных протеинов. Они являются важным компонентом вегетарианских блюд.

В конце маленький бонус для прекрасных женщин. Маска для лица из дрожжей. Берем пакетик сухих дрожжей. Разводим его в сливках и добавляем туда 4 ст. л. меда. Оставляем на 20 минут. Затем наносим на чистое лицо и оставляем на 15-20 минут. Смываем теплой водой. Маска улучшает кровообращение, уменьшает поры, делает кожу упругой и гладкой.

На этом все! Пишите ваше мнение! Жду обратной связи!