Найти в Дзене
записки зубного детектива

Птички, бабочки и жучки, или Необычные вставные зубы

В этой статье я покажу довольно редкие сегодня протезы в виде «птичек», «бабочек» и «жучков». Они все еще делаются, но все реже.

Мы уже обсудили обычные съемные протезы (полные и частичные) и нейлоновые протезы. Теперь пришла очередь «птичек», «бабочек» и «жучков».

Во времена, когда имплантации еще не было, а зубы было легче удалить, чем вылечить, у молодых и не очень молодых людей часто возникала неприятная проблема - отсутствие одного или двух зубов при полностью здоровых (интактных) остальных зубах.

Протезирование в те времена было такое, что в подавляющем большинстве случаев ставили штампованные железные коронки, либо обтачивали зубы под металлопластмассу так, что от них практически ничего не оставалось, и обработанные зубы через несколько лет тихо сгнивали до основания под коронками и мостами.

Естественно, что иметь в зоне улыбки железные зубы для многих было неприемлемым, а обрабатывать целых два интактных зуба, рискуя их скоро потерять, ради того, чтобы восстановить один отсутствующий, было уж очень жаль. И в таких случаях на выручку приходили маленькие аккуратные съемные протезы на один зуб (реже два или даже три).

-2

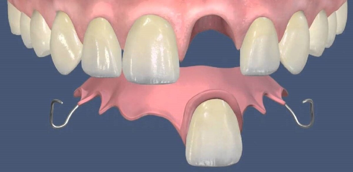
Такие протезы имели характерную форму, напоминающую бабочку или птичку, т.к. зуб держался за соседние зубы при помощи пластмассовых кламмеров, пеллотов или каких-то комбинированных вариантов. Поэтому такие протезы и назывались «птичками» или «бабочками».

Кто скажет, что это не птичка?
Кто скажет, что это не птичка?
Похоже на бабочку?
Похоже на бабочку?

Но они имели чисто косметическую функцию. Откусить что-то таким протезом было невозможно (либо можно было его сломать из-за тонкости и хрупкости материала), да и жевать им тоже было затруднительно.

И тогда в боковых отделах, там, где это не приносило слишком большой урон косметике, такие протезы ставили на опорно-удерживающие литые металлические кламмеры, форма которых напоминала лапки насекомых. Такие протезы называли «жучками».

Кто скажет, что это не жучок?
Кто скажет, что это не жучок?

«Птички» и «бабочки» помимо того, что плохо жевали, очень сильно нагружали кость, которая под ними довольно быстро атрофировалась. «Жучки» в этом плане вели себя лучше, потому что они переносили большую часть жевательной нагрузки на опорные зубы, однако, спасая кость, они перегружали и иногда расшатывали эти зубы, что тоже совсем не полезно.

Но, учитывая ситуацию, это была та цена, которую приходилось платить за хоть какую-то косметику. Хорошо сделанные протезы так искусно скрывали дефекты, что многие люди жили друг с другом годами и даже не догадывались, что у супруга или супруги один из передних зубов снимается, пока он от старости буквально не выпадал в тарелку супа на глазах у изумленных родственников.

Сегодня, конечно же, такие протезы уже считаются устаревшими, т.к. имплантация куда лучше, качественнее и долговечнее решает все вопросы. При этом съемные протезы запрещено использовать даже в качестве времянок из-за описанного выше эффекта оседания кости под ними. А при имплантации кость это самое дорогое, что у нас есть, и терять ее из-за времянки - непростительное расточительство.

Но людям, которые по тем или иным причинам не могут решить проблему при помощи имплантации эти протезы делают до сих пор. Так что увидеть их можно и по сей день.

Следующая статья будет про бюгельные съемные протезы.

Подписывайтесь на этот канал, чтобы не пропустить новые интересные статьи! И не забывайте ставить лайки!