Добавить в корзинуПозвонить
Найти в Дзене
Здарова, здоровые!

3 органа, которые нам больше не нужны...

Эволюция жестоким способом заставляет представителей жизни на планете Земля меняться для того, чтобы идеально адаптироваться под условия среды обитания. И человек не является исключением. Но стоит учитывать, что в относительно последнее время человек эволюционирует не только в физическом, но и в умственном плане. Придумались и придумаются разные способы, технологии, механизмы, которые с каждым днем упрощают существование человека. Все это в разные времена стало умалять значение тех или иных органов человеческого тела, о которых я вам сейчас поведаю.
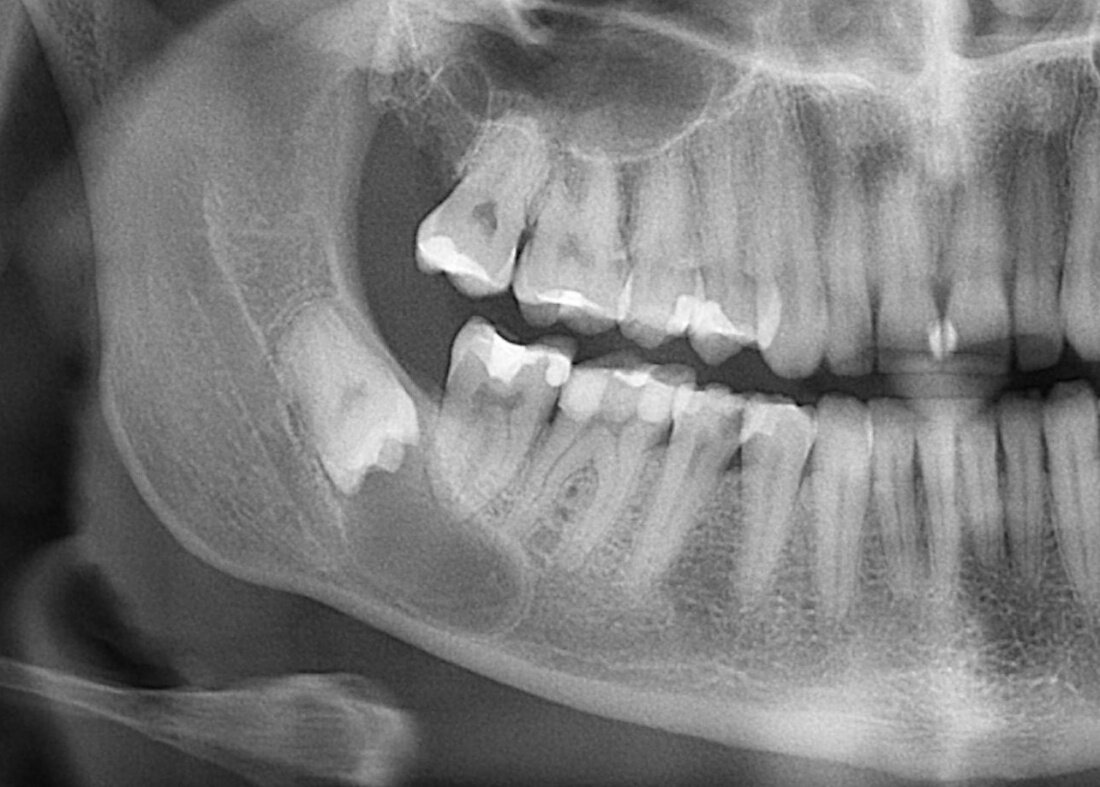
Скажу сразу, что названы они органами образно, проще обозвать их рудиментами. 1. Зубы мудрости. Раньше эти "бандиты", бесцеременно появляющиеся в рядах зубов и доставляющие достаточно хлопот почти каждому их обладателю, раньше имели немалое значение, когда рацион наших предков состоял, в основном, из твердой и жесткой пищи. Но со временем люди сообразили готовить пищу на огне, поэтому жевать надо было меньше без использования силы, с

Эволюция жестоким способом заставляет представителей жизни на планете Земля меняться для того, чтобы идеально адаптироваться под условия среды обитания. И человек не является исключением. Но стоит учитывать, что в относительно последнее время человек эволюционирует не только в физическом, но и в умственном плане. Придумались и придумаются разные способы, технологии, механизмы, которые с каждым днем упрощают существование человека. Все это в разные времена стало умалять значение тех или иных органов человеческого тела, о которых я вам сейчас поведаю.
Скажу сразу, что названы они органами образно, проще обозвать их рудиментами.

1. Зубы мудрости.

Раньше эти "бандиты", бесцеременно появляющиеся в рядах зубов и доставляющие достаточно хлопот почти каждому их обладателю, раньше имели немалое значение, когда рацион наших предков состоял, в основном, из твердой и жесткой пищи. Но со временем люди сообразили готовить пищу на огне, поэтому жевать надо было меньше без использования силы, с которой можно перекусить канат. Помимо этого люди думали и придумывали все больше, что заставляло их мозг расти, а челюсть уменьшаться.

2. Соски у мужчин.

Объяснять, зачем они женщинам (понятное дело, чтобы цензурить в инстаграме) и зачем мужчинам, не надо. Только имеется вопрос - почему же они до сих пор остались у сильной половины человечества? А дело в том, что оба пола имеют соски еще на ранней стадии развития зародыша. А плод в этот период можно считать бесплодным, только после гормонального взрыва в дальнейшем решится, будут звать вашего ребенка Димой или Настей (хотя сейчас такое время, сами знаете). Кстати интересно, что довольно редко, но и мужчин тоже бывает рак груди.

3. Гусиная кожа.

Иначе мы это называем мурашками. Два основных побудителя этого явления - опасность и холод. Когда человек замерзает или просто идет мимо гаражей ночью в неблагополучном районе, то мозг может подать сигнал нервным окончаниям, которые приподнимают волосяной покров. В первом случае это делается для того, чтобы сохранить больше тепла внутри покрова, а во втором - чтобы придать более массивный вид, чтоб выглядеть увереннее. Сейчас такая функция уже не актуальна, так как волосяной покров человека уже не тот, что прежде.

Всех благ, будьте здоровы!