Добавить в корзинуПозвонить
Найти в Дзене
Александр Рябов

ПРИЧИНЫ РАЗВИТИЯ И ОСОБЕННОСТИ КАРИОЗНОГО ПРОЦЕССА У ДЕТЕЙ РАННЕГО ВОЗРАСТА. КЛИНИЧЕСКАЯ КАРТИНА.

ПРИЧИНЫ РАЗВИТИЯ И ОСОБЕННОСТИ КАРИОЗНОГО ПРОЦЕССА У ДЕТЕЙ РАННЕГО ВОЗРАСТА. КЛИНИЧЕСКАЯ КАРТИНА. Чем раньше манифестировал кариозный процесс, тем не благоприятнее его течение. Стремительное распространение инфекционного процесса вглубь твердых тканей, отсутствие своевременной стоматологической помощи приводят к массивному множественному разрушение коронковой части зубов и глубокому поражению пульпы, то есть, к быстрому прогрессированию кариеса в осложненные формы — пульпиты, периодонтиты, периоститы. Поражение пульпы (сосудисто-нервного пучка) молочных зубов нарушает формирование корневых каналов, может вызвать преждевременную резорбцию корней и открывает ворота для продвижения инфекционного процесса в окружающие зуб ткани, в том числе, к зачаткам постоянных зубов. Как правило, это происходит в течение нескольких месяцев после выявления начального дефекта, требует сложного и длительного лечения, а нередко — удаления зубов. Ранняя потеря самых важных в молочном прикусе зубов (клык

ПРИЧИНЫ РАЗВИТИЯ И ОСОБЕННОСТИ КАРИОЗНОГО ПРОЦЕССА У ДЕТЕЙ РАННЕГО ВОЗРАСТА. КЛИНИЧЕСКАЯ КАРТИНА.

Чем раньше манифестировал кариозный процесс, тем не благоприятнее его течение. Стремительное распространение инфекционного процесса вглубь твердых тканей, отсутствие своевременной стоматологической помощи приводят к массивному множественному разрушение коронковой части зубов и глубокому поражению пульпы, то есть, к быстрому прогрессированию кариеса в осложненные формы — пульпиты, периодонтиты, периоститы.

Поражение пульпы (сосудисто-нервного пучка) молочных зубов нарушает формирование корневых каналов, может вызвать преждевременную резорбцию корней и открывает ворота для продвижения инфекционного процесса в окружающие зуб ткани, в том числе, к зачаткам постоянных зубов. Как правило, это происходит в течение нескольких месяцев после выявления начального дефекта, требует сложного и длительного лечения, а нередко — удаления зубов.

Ранняя потеря самых важных в молочном прикусе зубов (клыки-«тройки» и моляры-«пятёрки» абсолютно необходимы для правильного развития челюстей ребёнка) и/или повреждение зачатков постоянных зубов повлекут за собой длительные (возможно, пожизненные) ортодонтические проблемы, решение которых травматично, дорогостояще и очень затратно по времени.
Другая крайне важная особенность детского кариеса: классическая кариозная полость может отсутствовать. Позднее выявление поражённых кариесом зубов многократно повышает вероятность повреждения остальных зубов временного прикуса.

Следующая особенность кариеса раннего детского возраста: как правило, поражается не одна поверхность зуба, а две или три.
Есть ещё ряд особенностей, присущих исключительно детскому возрасту. Незрелость центральной нервной системы ребёнка, несформированность нервных окончаний в сосудисто - нервном пучке (пульпе) зуба, а также неспособность малыша к координации болевых ощущений обеспечивают бессимптомное, без жалоб развитие и течение (вплоть до осложнений!) кариозного процесса в раннем возрасте. Болевой синдром возникает позже, когда шансов на сохранение зубов остаётся немного. К слову, упомянутая незрелость структур ЦНС — основная причина трудности, порой, невозможности лечения кариеса молочных зубов у детей на обычном приёме стоматолога. Дети в возрасте до 3-4 лет ни физически, ни психологически не способны вытерпеть, «высидеть» (длительно, спокойно и неподвижно, с широко открытым ртом) время, необходимое стоматологу для качественного лечения множественного и/или осложнённого кариеса.
Все вышеперечисленные факторы способствуют не только осложнённому течению первичного кариозного процесса, но и провоцируют появление вторичного и рецидивного кариеса.

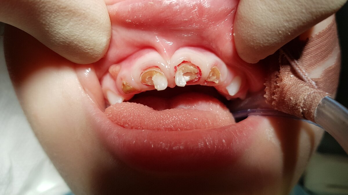
Кариес эмали. Начальная стадия кариеса (кариес в стадии пятна), а также поверхностный кариес, в виде деминерализации эмали, часто проходят незамеченными из-за большого количества налета, маскирующего пораженные участки. Жалоб у малыша обычно нет никаких. После удаления зубного налета обнаруживаются меловидные пятна, при высушивании которых появляется матовость и шероховатость. Эмаль в этих местах очень хрупкая, легко снимается острыми инструментами. Чаще всего очаги деминерализации выявляются в пришеечных областях передних верхних резцов, клыков, моляров. В силу особенностей строения молочного зуба (см. выше), кариес эмали быстро, иногда за несколько недель, переходит в следующую стадию – кариес дентина.

Кариес дентина. Даже при агрессивном течении кариеса у маленьких детей жалобы отсутствуют либо (крайне редко) возможна болезненность при приеме холодной или сладкой пищи. Часто родители, приводящие своего ребенка на приём, жалуются только на наличие кариозной полости. Важно понимать, что, при возникновении видимых кариозных полостей необходимо срочно обращаться к стоматологу, так как дентин несформированного зуба очень пористый, подвержен быстрым и сильным кариозным разрушениям, а это — короткий путь к развитию осложнённых форм кариеса. У детей до трех лет средний кариес (в пределах дентина), как таковой, вообще практически не встречается.

При неглубокой кариозной полости могут бессимптомно развиваться патологические изменения в пульпе, приводящие к возникновению пульпита, а также – периодонтита.

Это обусловлено очень тонким слоем твердых тканей — эмали и дентина — над пульповой камерой, занимающей значительную часть внутреннего объёма зуба. Незрелая пульпа у детей до трех лет ещё не имеет возможности формировать внутренний слой вторичного дентина (для защиты себя дополнительным «барьером» от патогенных микроорганизмов, «живущих» снаружи, в кариозной полости). Рога пульпы сильно вдаются в дентиновый слой, что, в свою очередь, таит опасность вскрытия пульпарной камеры при препарировании кариозной полости. Так возникает главная проблема дифференциальной диагностики и выбора тактики лечения, а именно: отсутствие жалоб ребёнка и крошечная дырочка на жевательной поверхности, либо небольшое пришеечное поражение, не исключают вовлечения пульпы в патологический процесс. Вот почему родители, приведшие к стоматологу малыша с «небольшим кариесом», удивляются (иногда возмущаются), что лечение будет проводиться по диагнозу «пульпит»: изменяются объём предполагаемого вмешательства, глубина медицинской инвазии и стоимость процедуры.

В редких случаях изменение кариесогенной ситуации в лучшую сторону (своевременное лечение, включение в ежедневную гигиену профилактических мер, корректировка питания и т.д.), может приостановить существующие кариозные процессы. Стабилизация, пигментирование и уплотнение пораженных тканей, реминерализация деминерализованной эмали, качественная профилактика дальнейшего распространения процесса могут ряде случаев помочь молочным зубам простоять до физиологической смены. Это состояние принято называть стабилизированным кариесом.

ДИАГНОСТИКА.
Диагностика кариеса у детей раннего возраста непроста в силу того, что маленький ребёнок не может определить и высказать свои жалобы. Негативная реакция в кресле стоматолога зачастую не позволяет провести качественный осмотр, рентгенологическое и другие виды исследования.

И тем не менее, осмотр (лучше плановый, а не по факту замеченных родителями разрушений зубов и появления жалоб у ребёнка!) и прицельная рентгенвизиография зуба — основные методы, позволяющие врачу провести точную диагностику стадии процесса и глубины поражения, определить правильную тактику лечения и дать полноценную информацию законным представителям ребёнка до начала лечения.

Диспансеризация. График профилактических осмотров зависит от возраста ребенка и скорости развития кариозного процесса. Дети раннего возраста, по данным ВОЗ, должны быть осмотрены стоматологом раз в 2 месяца.

ЛЕЧЕНИЕ КАРИЕСА. ОБЩИЕ ВОПРОСЫ.

Подход к лечению кариеса у детей раннего возраста должен быть комплексным и заключается в следующем:
- Определение активности кариозного поражения, оценка риска возникновения новых кариозных полостей;
- Корректировка кариесогенных факторов и снижение их патогенности;
- Повышение резистентности к кариесу твердых тканей зубов;
- Эффективное лечение (преимущественно, механическое);
- Профилактика осложнений.
Надо заметить, что четвёртый пункт этого списка многим родителям кажется основным, но без учёта и признания важности всех остальных аспектов эффект лечения будет неполным и кратковременным; кариозный процесс продолжится, несмотря на затраченные силы и ресурсы.

Комплексное лечение кариеса временных зубов у детей. На пути достижения поставленных целей придется терпеливо решать следующие задачи:
1. Выработка мотивации у родителей и их детей к выполнению всех рекомендаций лечащего врача и поддержание её каждое последующее посещение. Доброжелательное поведение врача, искусство убеждения и расположения к себе ребенка и его родителей, формируют доверительные взаимоотношения стоматолога с семьёй ребёнка и повышают уровень мотивации к лечению и профилактике заболеваний полости рта.

2. Коррекция поведения малыша на приеме и его психологическая подготовка — во многом зависят от родителей. При психоневрологических заболеваниях, а также при невозможности (по разным причинам) коррекции поведения ребенка, лечение проводится под общим обезболиванием.

3. Рекомендации по рациону питания. Корректировка в приеме сахаросодержащих (кислотообразующих) и кислых продуктов между основными приемами пищи. Исключение ночных кормлений и сладких жидкостями. Уменьшение объёма употребления рафинированной и консервированной пищи, а также продуктов, содержащих крахмал и муку. Введение в рацион питания преобладающего количества кариеспротекторных продуктов (орехи, зелень, овощи и фрукты, морепродукты, а также, кисломолочных продуктов). По показаниям назначают богатые фторидами продукты, например, в виде молока, воды, соли; препараты фосфора с кальцием (глицерофосфат кальция, лактат, глюконат, карбонат, и другие), витамино - минеральные комплексы с кальцием («Кальцинова», «Кальцид», Мультитабс, Алфавит).

4. Акцент внимания родителей на удалении остатков пищи после еды. По возможности, после каждого приема пищи следует полоскать рот водой; у самых маленьких детей – протирать все группы зубов салфетками с ксилитом. Нужно помнить, что проведение гигиены полости рта после употребления в пищу кислых продуктов стоит проводить только через 30 минут! Лекарства, содержащие сахар, стоит давать ребенку только ДО чистки зубов.

5. Детям до двух лет, как правило, назначаются бесфтористые зубные пасты, по показаниям проводится противомикробная терапия специальными гелями с противомикробным действием. Иногда назначается курс реминерализирующей терапии.

6. Обязательна герметизация фиссур временных моляров при ярко выраженном анатомическом рельефе жевательной поверхности.

Общее лечение должно проходить под контролем не только детского стоматолога, но и педиатра или семейного врача (врача общей практики). При наличии в анамнезе соматических заболеваний или при подозрении на них, или при необходимости корректировки общего лечения показана консультация соответствующих профильных специалистов (гастроэнтеролога, эндокринолога и пр.).

ЛЕЧЕНИЕ КАРИЕСА. ЧАСТНЫЕ ВОПРОСЫ.

У детей первых лет жизни лечение кариеса направлено, в первую очередь, на санацию очага инфекции и, по-возможности, сохранение жизнеспособности пульпы. Второй по важности аспект – сохранение максимального количества собственных твердых тканей зуба. Косметическое восстановление коронковой части зуба имеет в данном «рейтинге» меньшую важность, но это совсем не говорит о том, что «эстетика» в принципе не имеет никакого значения. Просто предыдущие пункты — важнее.

1. Начальная стадия (меловое пятно). Оценка первоначального состояния эмали с обязательным последующим мониторингом. Мотивация родителей на выполнения рекомендаций врача.
Комплекс лечения. Оптимизация рациона питания, гигиенического состояния полости рта. При необходимости, проведение противомикробной терапии. Во время лечения обязательны назначения паст с препаратами кальция, с последующей заменой на фторсодержащие. Проведение профессиональной гигиены с последующей реминерализирующей терапией профессиональными препаратами. К наиболее эффективным средствам для глубокого фторирования в настоящее время во всем мире относят Дентин и Эмаль – Герметизирующий ликвид компании «Humanchemie» Германия, оригинальное название – Tiefenfluorid. (Кнаппвост А., Садовский В.В., Антипенская JI. Ускорение реминерализации твердых тканей зубов с помощью глубокого фторирования в условиях амбулаторного приема: Тезисы докладов IV Всероссийской научно-практической конференции. М., 2000. - С. 4 - 10.) Самостоятельно (после обучения врачом стоматологом) родители дома наносят реминерализирующие составы для домашнего использования «R.O.C.S. – MINERAL» или «CPP – ACC - ToothMouse» (казеин – фосфо – пептид – аморфный фосфат кальция). Оба препарата разрешены к использованию у детей с 0 лет, при отсутствии аллергии на молочный белок. Клиники, имеющие установку для озонирования, могут обеспечить своим маленьким пациентам еще более стойкую защиту от бактериальной флоры деминерализованного пятна, что способствует реминерализации эмали.

Успешность проведенного лечения будет заметна по уменьшению площади белого пятна, появлению блеска, уплотнению эмали и, как следствие, менее интенсивному окрашиванию (или отсутствию окрашивания) кариесмаркерами. В противном случае требуется корректировка методов лечения. После оценки эффективности проведенного лечения составляется план повторных посещений. Как правило, это визиты в первый, третий и шестой месяц от начала лечения.

2. Поверхностный кариес. Лечение схоже с лечением начальной стадии, с дополнением: очаги сильной деминерализации устраняют методом ICON, который позволяет полностью блокировать разрушительный кариозный процесс и восстановить поврежденную эмаль молочного зуба.

3. Лечение кариеса дентина. Выбор метода лечения будет напрямую зависеть от возраста ребенка, активности течения кариозного процесса, его локализации и степени сформированности корней и твердых тканей зуба.

У детей до трех лет, при расположении кариозных полостей в легкой доступности, малых по площади, при условии тщательной гигиены полости рта, (включая повторные профилактические комплексы), можно использовать неинвазивные методы: глубокое фторирование, озонирование, а также метод ICON. Данные методы хорошо стабилизируют кариозные поражения, не требуют обезболивания и легко переносятся маленькими детьми.

Однако, на контактных и жевательных поверхностях молочных моляров данный вид лечения считается неэффективным и требует более радикального подхода с препарированием бормашиной и обезболиванием.

Малоинвазивные методики. Направлены на сохранение максимального количества собственных тканей зуба, не требуют обезболивания. Методы эффективны только на небольших легкодоступных кариозных участках. Существует два наиболее эффективных малоинвазивных метода, позволяющих стабилизировать кариозный процесс. 1)ART (атравматическое восстановительное лечение) – выскабливание эмалевым ножом пораженных тканей, с последующей пломбировкой специальными стеклоиономерными фторвыделяющими цементами; 2) химико-механический метод — предварительное размягчение пораженных кариесом тканей специальными гелями, выскабливание тканей, с последущей пломбировкой стеклоиономерными фторвыделяющими цементами. Следует понимать, что оба этих метода не являются абсолютной панацеей, работают не во всех случаях; они призваны в большей степени лишь замедлить кариозный процесс, отложить механическое лечение бормашиной до тех пор, пока ребёнок не подрастёт.
Инвазивные (механические) методы. К сожалению, в подавляющем большинстве случаев обращения к стоматологу приходится прибегать к механическому лечению зубов.

Механическое препарирование кариозной полости с помощью бормашины является не просто традиционным; это эталонный, основной метод, показанный при любой локализации кариозного дефекта. Данный метод позволяет провести качественную очистку кариозной полости от инфицированных тканей; но, в силу своей неприятности, болезненности, может потребовать обезболивания. Звук бормашины, вибрации от вращения бора, неприятные ощущения от анестезии могут спровоцировать резкий отказ ребенка от лечения и развитие у малыша в дальнейшем стоматофобии. Поэтому в раннем возрасте без дополнительной седации и обезболивания возможно успешно лечить механическим способом детей эмоционально уравновешенных, которые смогут перенести все эти процедуры (см. «Трудности лечения»).
Международный протокол лечение кариеса дентина включает: адекватное обезболивание (местная или общая анестезия); препарирование кариозной полости; фторирование дна кариозной полости (по показаниям), пломбирование. При разрушенности коронковой части более, чем на 50 процентов, показано протезирование зубосохраняющей коронки.

ТРУДНОСТИ ЛЕЧЕНИЯ.

Мы уже говорили об одной из главных особенностей кариозного процесса у маленьких детей: осложненные формы кариеса протекают бессимптомно и, часто, без видимых признаков сообщения кариозной полости с пульпарной камерой зуба. Это — одна из основных причин ошибок при постановке диагноза и выбора неверной тактики лечения.

Помимо бессимптомного течения осложнённого кариеса, на диагностический и лечебный процесс влияют следующие особенности маленького ребёнка:
- неумение малыша выразить свои ощущения, неспособность к определению источника боли;
- высокий уровень слюноотделения, малые размеры полости рта, преддверия рта и подъязычного пространства, низкое прикрепление уздечек губ препятствуют качественной изоляции рабочего поля и затрудняют установку коффердама, что ухудшает доступ к зубу;
- быстрая утомляемость, невозможность долго сидеть неподвижно с открытым ртом;
- активное сопротивление и бурное реагирование в виде неуправляемого психомоторного возбуждения в ответ на любые стоматологические манипуляции (даже на безболезненные), что сопровождается высоким риском серьезных травм мягких тканей полости рта, случайного вскрытия полости зуба, остановки лечения на «самом интересном месте», когда лечение прерывать нельзя, и т.п.

*** На современных установках скорость вращения бора 160—400 тысяч оборотов в минуту. Непреднамеренное ранение мягких тканей полости рта, например, подъязычной артерии, может представлять угрозу жизни.

Всё вышеперечисленное затрудняет, порой делает невозможными диагностику (начиная от банального осмотра) и проведение манипуляций, необходимых по международному протоколу лечения. Всё это критично снижает качество и эффективность лечения. Всё это делает крайне важной психологическую подготовку ребенка родителями перед стоматологическим приемом. В особых случаях актуальным может стать вопрос о предварительном назначении седативных препаратов; либо о лечении зубов с использованием методов седации или общей анестезии; но тогда, помимо стоматолога, понадобится привлечение врачей других специальностей: психолога, психоневролога, анестезиолога.
Проведение общей анестезии при стоматологических манипуляциях показано:
- у детей до 4 лет, согласно Международному протоколу;
- у детей до 3 лет и у детей по индивидуальным медицинским показаниям, согласно Приказу Минздрава РФ от 13.11.2012 N° 910н, п.19 (
https://static2.rosminzdrav.ru/system/attachments/att..).

***Практически для всех существующих местных анестетиков, применяемых в стоматологии, в ограничениях к применению прописан детский возраст до 4 лет
*
https://dentalmagazine.ru/science/klinicheskie-osoben..,
*Скандонест ( Мепивакаин)
https://www.rlsnet.ru/mnn_index_id_1666.htm
*Артикаин
https://www.rlsnet.ru/mnn_index_id_665.htm
*Артикаин с адреналином (Ультракаин, Убистезин)
https://www.rlsnet.ru/mnn_index_id_3888.htm

ДРУГИЕ ФАКТОРЫ, ОСЛОЖНЯЮЩИЕ ЛЕЧЕНИЕ ЗУБОВ У ДЕТЕЙ.
Иногда стоматологическому лечению могут помешать родители (!) ребёнка. Их настоятельные требования, аргументируемые полученной из сомнительных источников информацией, (например, «не препарировать» зубы, не делать «обезболивающий укол», не проводить никаких «вредных для здоровья» инструментальных исследований), очень затрудняют работу врача и лишают ребёнка адекватной медицинской помощи. Поскольку лечение ребёнка в возрасте до 15 лет, согласно федеральному законодательству (Закон 323-ФЗ «Об основах охраны здоровья граждан Российской Федерации» от 21.11.2011, ст. 20), может проводиться только с согласия родителей или опекунов, повышение мотивации и адекватной информированности родителей, налаживание контакта с ними помогает оптимизировать план лечения.

РЕКОМЕНДАЦИИ ДЛЯ ПАЦИЕНТОВ.
После завершения лечения ребенка родителям рекомендуют строго контролировать гигиену полости рта, а также рацион питания. Выполнять назначения стоматолога, включая рекомендации по профилактике. Обязательно регулярные профилактические осмотры по графику, составленному лечащим стоматологом.

СПИСОК ЛИТЕРАТУРЫ:

1. American Academy of Pediatric Dentistry. Policy on Early Childhood Caries (ECC): Classifications, Consequences, and Preventive Strategies. Unique Challenges and Treatment Options// Reference Manual 2011 Vol. 36
2. American Academy of Pediatric Dentistry. Guideline on pediatric restorative dentistry// Reference Manual. – 2009-2010 – vol. 27. – N.10. – P122-131
3. Welbury R.R., Duggal M.S., Hosey M.T. Pediatric Dentistry. – 3RD ed – Oxford University Press, 2015 – P.455
4. Кисельникова Л.П., Зуева Т.Е., Кружалова О.А., Кариес у детей раннего возраста: обоснование этиопатогенетических подходов к профилактическому лечению. // Стоматология детского возраста и профилактика. – 2013. - #2. – с. 19-32

5. Пахомов Г.Н., Леонтьев В.К. Атравматичное восстановительное лечение кариеса у детей. – Москва – Женева, Инкорал, Швейцария: КМК – инвест, 2004. – С.112

6. Кисельникова Л.П., Леонтьева В.К., Детская терапевтическая стоматология. Национальное руководство. – 2010. – С. 377-403