Добавить в корзинуПозвонить
Найти в Дзене
Xray Doctor

Mysterious shadow in the lung. What is it? Загадочная тень в легком. Что это?

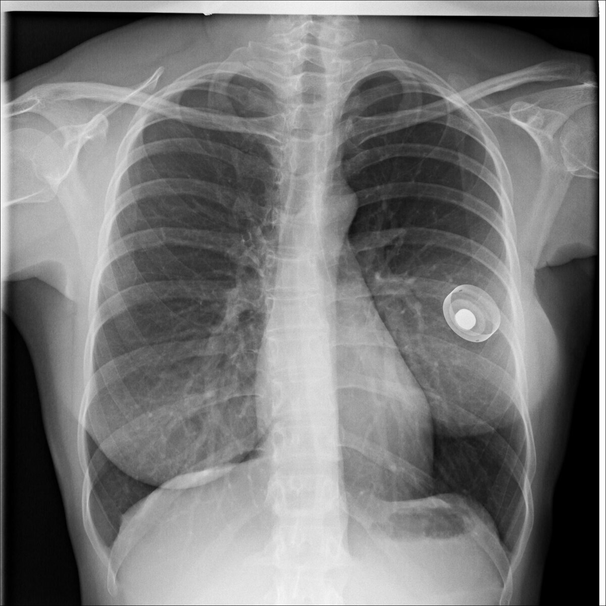
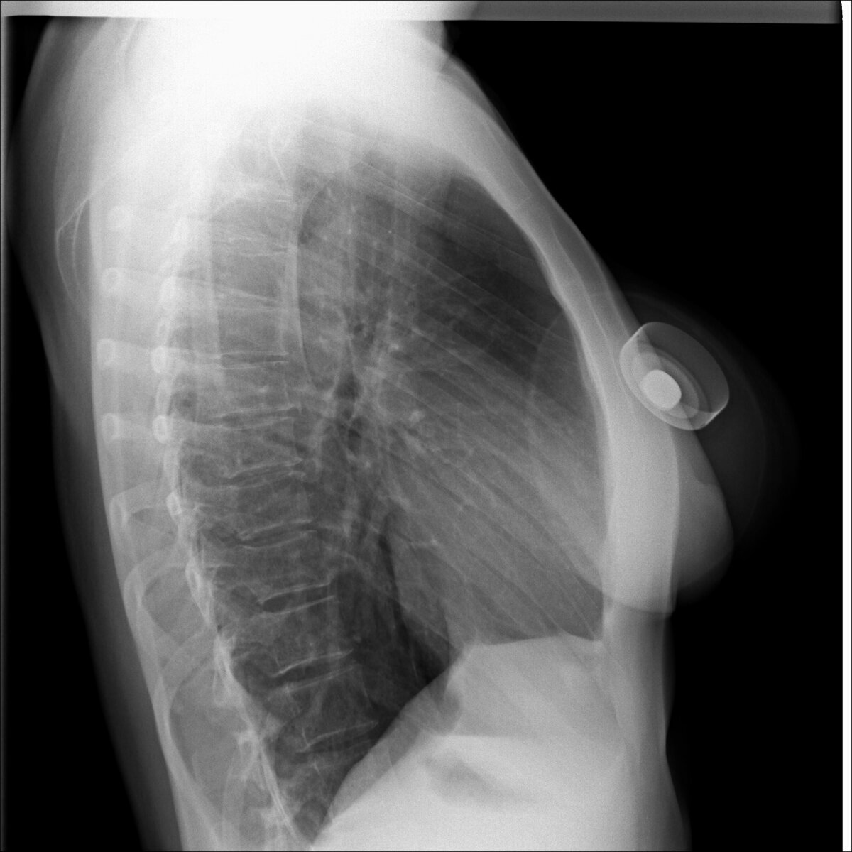
In the photo of the lungs on the left, in the area of the mammary gland, a foreign object is subcutaneously located. By density it is close to a tree or plastic. The shape is rounded. Obviously the subject is made by man На снимке легких слева в районе молочной железы подкожно располагается инородный предмет. По плотности он близок к дереву или пластику. Форма округлая. Явно предмет сделан человеком. In the second picture a similar subject but of a different design. Location in the right axillary region. На втором снимке аналогичный предмет, но другой конструкции. Расположение в правой подмышечной области. So what is it? Так что же это? These are the so-called PowerPorts for the introduction of drugs into the patient. Это так называемые порты для введения лекарственных средств в организм пациента. A young doctor or medical student may be confused by this shadow. But there is nothing wrong with it. PowerPorts are used when the patient is on an outpatient basis (they are not kept perma
Оглавление
-2

In the photo of the lungs on the left, in the area of the mammary gland, a foreign object is subcutaneously located. By density it is close to a tree or plastic. The shape is rounded. Obviously the subject is made by man

На снимке легких слева в районе молочной железы подкожно располагается инородный предмет. По плотности он близок к дереву или пластику. Форма округлая. Явно предмет сделан человеком.

-3
-4

In the second picture a similar subject but of a different design. Location in the right axillary region.

На втором снимке аналогичный предмет, но другой конструкции. Расположение в правой подмышечной области.

So what is it? Так что же это?

These are the so-called PowerPorts for the introduction of drugs into the patient.

Это так называемые порты для введения лекарственных средств в организм пациента.

-5

A young doctor or medical student may be confused by this shadow. But there is nothing wrong with it. PowerPorts are used when the patient is on an outpatient basis (they are not kept permanently at the hospital), but this necessitates the constant administration of drugs intravenously.

Молодого врача или студента медика может смутить данная тень. Но ничего страшного в ней нет. PowerPorts используются тогда, когда больной находится на амбулаторном лечении (ненаходится постоянно в стациаонаре), но при этом возникает необходимость постоянного введения лекарственных средств внутривенно.

Most often, such devices are used in the treatment of cancer and the patient undergoing chemotherapy.

Чаще всего такие устройства используются при лечении рака и прохождении пациентом химиотерапии.

PowerPort is installed under the skin and injected into one of the vessels. Most often in the subclavian vein.

Устанавливается PowerPort под кожу и вводится в один из сосудов. Чаще всего в подключичную вену.

-6

What kinds of powerports still exist? Какие разновидности PowerPorts еще бывают?

There is also another kind of PowerPort - the pertonial port. This device is used to inject drugs into the abdominal cavity. They look almost the same. The differences are that the picture will be visible tube coming from the device. PowerPort itself can sometimes consist of two symmetrical parts - for the input of a substance and for its removal from the patient's body.

Есть так же еще одна разновидность PowerPort - перетониальный порт. Это устройство используется для введения лекарств в брюшную полость. Выглядят они почти так же. Различия в том, что на снимке будут видны трубки идущие от устройства. Сам PowerPort иногда может состоять из двух симметричных частей - для ввода вещества и для его вывода из организма пациента.

-7

Если вы нашли какие либо ошибки в тексте или в переводе - пишите комментарий!

If you find any errors in the text or in the translation - write a comment!