Добавить в корзинуПозвонить
Найти в Дзене
belkanews.by

Китаец так напился, что неосознанно проглотил ключ от дома

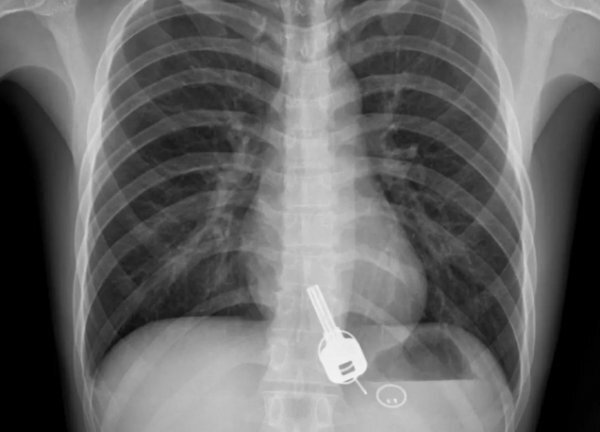
Жителю Китая потребовалась экстренная операция, чтобы извлечь инородное тело из его пищевода. Как оказалось, мужчина неосознанно проглотил ключ от дома, когда перебрал со спиртным, передает портал Oddity Central со ссылкой на китайский новостной ресурс Sohu. 7 июня 26-летний житель Гуандуна по имени Чанг собрался вместе с друзьями, чтобы отметить окончание рабочей недели. Домой он пришел посреди ночи и обнаружил, что не имеет при себе ключа. Китаец на тот момент был в сильно поддатом состоянии, поэтому не придал этому значения, а просто постучал, чтобы его впустили его домашние, решив, что потерял ключ. Об истинной судьбе своих ключей мужчина узнал лишь на следующий день, когда после пробуждения он испытал сильную боль в груди и вынужден был обратиться в местную больницу. Сотрудники клиники Дунгуань были шокированы результатом рентгена торса Чанга, ведь на снимке они увидели ключ с брелоком, застрявший в пищеводе пациента. Как ключ оказался в его теле китаец ответить не смог, ведь на

Жителю Китая потребовалась экстренная операция, чтобы извлечь инородное тело из его пищевода. Как оказалось, мужчина неосознанно проглотил ключ от дома, когда перебрал со спиртным, передает портал Oddity Central со ссылкой на китайский новостной ресурс Sohu.

7 июня 26-летний житель Гуандуна по имени Чанг собрался вместе с друзьями, чтобы отметить окончание рабочей недели. Домой он пришел посреди ночи и обнаружил, что не имеет при себе ключа. Китаец на тот момент был в сильно поддатом состоянии, поэтому не придал этому значения, а просто постучал, чтобы его впустили его домашние, решив, что потерял ключ.

Об истинной судьбе своих ключей мужчина узнал лишь на следующий день, когда после пробуждения он испытал сильную боль в груди и вынужден был обратиться в местную больницу. Сотрудники клиники Дунгуань были шокированы результатом рентгена торса Чанга, ведь на снимке они увидели ключ с брелоком, застрявший в пищеводе пациента.

Как ключ оказался в его теле китаец ответить не смог, ведь находка докторов его удивила не меньше, чем их. Мужчина признался, что до того, как увидел свой рентгеновский снимок, думал, что потерял ключ, когда напился.

Врачи проанализировали ситуацию и решили, что не могут допустить, чтобы ключ прошел через пищеварительную систему Чанга и был выведен естественным путем, так как это слишком рискованно.

Твердый предмет мог порвать кишечник пациента или вызвать опасную для жизни кишечную непроходимость. В то же время, попытка вытащить его с помощью эндоскопического оборудования может привести к разрыву его пищевода. Доктора выбрали третий вариант - экстренную операцию.

-2

Доктор Чжан Юйю сообщил журналистам, что сначала они с коллегами пытались извлечь ключ с помощью гастроскопа, но столкнулись с проблемой при попытке вытащить его через самый узкий участок пищевода китайца, около горла. Ключ был слишком большим, и слишком сильное натяжение могло привести к разрыву пищевода, что имело бы «невообразимые последствия». Поэтому медики не стали рисковать и прервали процедуру.

К несчастью, мужчина умудрился напиться в день празднования Дуань-у цзе – одного из трех важнейших традиционных праздников Китая, поэтому в день его госпитализации большинство сотрудников клиники имели выходной по случаю национального праздника. Но анестезиолог и заместитель главы отделения гастроэнтерологии согласились отменить свои планы ради оказания неотложной помощи Чангу.

Как китаец проглотил свой ключ - остается загадкой, которая, вероятно, никогда не будет раскрыта, так как он мало помнит о том, что происходило на вечеринке. Единственное, что понятно, что мужчина так напился, что неосознанно совершил крайне глупый поступок, который мог иметь серьезные последствия для его организма.