Добавить в корзинуПозвонить
Найти в Дзене

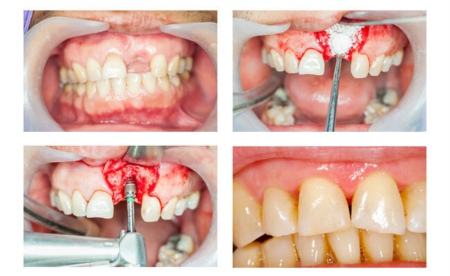
Можно ли ставить имплантат сразу после удаления зуба?

Этот вопросы нам ооооочень часто задают💬 Ведь зачем затягивать «удовольствие»😋, лучше же сделать все за один «присед». Сразу отвечаем на вопрос – да, можно🎉 И данная процедура называется👉 одномоментной имплантацией – это когда титановый корень внедряется сразу же после удаления зуба.
Но❗ Здесь есть одно важное условие – у пациента должно быть достаточно объема твердой💎 кости, чтобы штифт🔩 успешно был внедрен и прижился. Если имеется недостаток костной ткани, то, скорее всего, врач-хирург предложит вам классическую схему с предварительным наращиванием кости. Также имеет роль наличия воспаления😱 Если в зоне удаляемого зуба диагностирован воспалительный процесс, сначала пролечиваются😷 мягкие ткани, а уже затем идет подготовка к внедрению нового зуба.
Так что, если у вас есть воспаление не спешите делать имплантацию🙏 ибо вся работа по восстановлению зубов сойдет на нет.

Этот вопросы нам ооооочень часто задают💬 Ведь зачем затягивать «удовольствие»😋, лучше же сделать все за один «присед».

Сразу отвечаем на вопрос – да, можно🎉

И данная процедура называется👉 одномоментной имплантацией – это когда титановый корень внедряется сразу же после удаления зуба.
Но❗ Здесь есть одно важное условие – у пациента должно быть достаточно объема твердой💎 кости, чтобы штифт🔩 успешно был внедрен и прижился. Если имеется недостаток костной ткани, то, скорее всего, врач-хирург предложит вам классическую схему с предварительным наращиванием кости.

-2

Также имеет роль наличия воспаления😱 Если в зоне удаляемого зуба диагностирован воспалительный процесс, сначала пролечиваются😷 мягкие ткани, а уже затем идет подготовка к внедрению нового зуба.

Так что, если у вас есть воспаление не спешите делать имплантацию🙏 ибо вся работа по восстановлению зубов сойдет на нет.