Найти в Дзене
Зубная Фея)

Нужно ли лечить молочные зубы?

Этот вопрос в последнее время весьма актуален. Стоматология не стоит на месте не только в методах лечения, но и в диагностике, а так же в прогнозировании. Дорогие наши родители, я знаю, что среди многих из вас бытует мнение, что раз молочные зубы временные, то и лечить их не надо. Это ошибка. Ко мне на прием приходят бабушки с внуками и частенько удивляются тому, какой "бред" я несу, искренне веря в меркантильность моих интересов относительно их чада. Не надо так. Молочный зуб хоть и временный, вот только под ним живет и развивается зуб постоянный, или как в народе говорят - коренной. А теперь представьте себе ситуацию: Живет себе молочный зуб, никого не трогает. Гниет потихоньку. Внутри него, как и в любом зубе, есть нервы и сосуды, которые в итоге воспаляются. К чему это приводит? 1- Отек. В народе - флюс. Знайте, врач стоматолог имеет полное право отправить вас в стационар, потому что у детей клиническая картина с зубами развивается намного быстрее и ярче, чем у взрослых. Если начи
Оглавление

Этот вопрос в последнее время весьма актуален. Стоматология не стоит на месте не только в методах лечения, но и в диагностике, а так же в прогнозировании.

Дорогие наши родители, я знаю, что среди многих из вас бытует мнение, что раз молочные зубы временные, то и лечить их не надо.

Это ошибка.

Ко мне на прием приходят бабушки с внуками и частенько удивляются тому, какой "бред" я несу, искренне веря в меркантильность моих интересов относительно их чада.

Не надо так.

Молочный зуб хоть и временный, вот только под ним живет и развивается зуб постоянный, или как в народе говорят - коренной. А теперь представьте себе ситуацию:

Живет себе молочный зуб, никого не трогает. Гниет потихоньку. Внутри него, как и в любом зубе, есть нервы и сосуды, которые в итоге воспаляются. К чему это приводит?

1- Отек. В народе - флюс.

Изображение из свободных источников
Изображение из свободных источников

Знайте, врач стоматолог имеет полное право отправить вас в стационар, потому что у детей клиническая картина с зубами развивается намного быстрее и ярче, чем у взрослых. Если начинается отек, то скорее всего ждите температуру под 39. В амбулаторных условиях такого ребенка не возьмут - тут стационар. Хотим мы тратить день на поездки до больницы, сидеть там в очереди среди орущих детей, трепать нервы своему ребенку и делать ему очень больно, потому что наша анестезия с гноем вообще не сочетается?

Нет?

Тогда лечите молочные зубы.

2- Под молочным зубом развивается постоянный. Я уже говорила об этом выше. Вокруг зачатка постоянного зуба есть защитная капсула, вот только гной, если он есть, а так же киста, висящая на корнях гнилого молочного зуба, с легкостью эту капсулу разрушают.

И что в итоге?

Постоянный зуб вылезет с кариесом. А эмаль-то у него еще не сформирована до конца, а зубик-то слабенький.

Что в итоге? Чаще всего в возрасте 11-12 лет дети уже ходят без шестых постоянных зубов...

Хотите, чтобы ваш ребенок страдал от головной боли, от боли в спине и в шейном отделе из-за неправильного прикуса? Из-за перенапряжения в суставе нижней челюсти (височно-нижнечелюстной сустав)? Это ведь все остеопатия, неправильный прикус ведет ко многим проблемам, просто многие об этом не знают.

Нет? Тогда лечите молочные зубы...

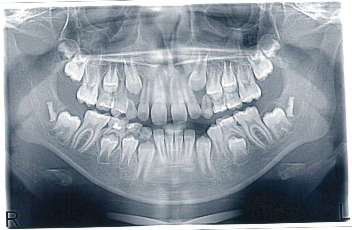
В качестве примера выставляю ОРТО снимок для понимания ситуации

Снимок взят из открытых источников для ознакомления с темой статьи.
Снимок взят из открытых источников для ознакомления с темой статьи.

Здесь представлен сменный прикус, не пугайтесь, это не акула) Можно увидеть на нижней челюсти, как один зуб стоит под другим. Тот, что сверху - молочный. Тот, что под ним - постоянный. Если кому интересна эта тема более подробно, пишите в комментариях - отвечу или создам еще одну статью более развернутую.

3 - Когда в полости рта у ребенка появляется коренной зуб, а вокруг него гниют молочные, то будьте уверены - микробы с одного зуба переберутся на другой... У кого с иммунитетом получше, тому повезло, а у кого не очень - кариес постоянных зубов уже в детстве.

Хотим, чтобы ребенок с раннего возраста был постоянным пациентом у стоматологов? Нет?

Вывод один - лечим молочные зубы.

Дорогие родители, детская стоматология сейчас сильно изменилась. Врачи развивают свои навыки, повышают квалификацию, в мире происходит столько всего интересного! Сейчас не 90-е года, когда лечили без анестезии и ласково орали - терпи! Ты же мужик!

Сейчас есть системы, которые позволяют вылечить кариес без применения боров и анестезии! Магия, правда?

Я расскажу о них в следующей статье, подписывайтесь на канал и будьте здоровы!

Изображение взято из свободных источников для ознакомления с темой статьи
Изображение взято из свободных источников для ознакомления с темой статьи