Найти в Дзене
Домашний стоматолог

ЧТО ДЕЛАТЬ, ЕСЛИ ПОТЕРЯЕШЬ ВСЕ ЗУБЫ?

В течении жизни мы неизбежно удаляем наши зубы. Самая частая причина - осложнение по поводу кариеса, также нередкая проблема - заболевания дёсен. О том, как не допускать развития этих самых осложнений и профилактике заболеваний полости рта, можно почитать на моём канале.
Сегодня же разберём, какие есть варианты, если зубы уже потеряны. Восстановление зубного ряда необходимо, как минимум для того, чтобы жевать. Этим занимается врач ортопед или хирург+ортопед. В этой области нет никаких волшебных зелий и единорогов, только четкие конструкции которые подбираются в зависимости от состояния полости рта пациента и ценника. Так что нас ждёт в старости, когда не осталось ни одно зуба и даже корня? Всего два варианта: 1. Съемный пластиночный протез. Он самый простой и самый дешёвый. Чаще всего встречаем у бабушек и дедушек “в стакане”, хотя так хранить вовсе не обязательно… но не об этом. Пластинчатый протез передает давление на слизистую всего рта, что не совсем физиологично. Но он восстанав

В течении жизни мы неизбежно удаляем наши зубы. Самая частая причина - осложнение по поводу кариеса, также нередкая проблема - заболевания дёсен. О том, как не допускать развития этих самых осложнений и профилактике заболеваний полости рта, можно почитать на моём канале.
Сегодня же разберём, какие есть варианты, если зубы уже потеряны.

Восстановление зубного ряда необходимо, как минимум для того, чтобы жевать. Этим занимается врач ортопед или хирург+ортопед.

В этой области нет никаких волшебных зелий и единорогов, только четкие конструкции которые подбираются в зависимости от состояния полости рта пациента и ценника.

Так что нас ждёт в старости, когда не осталось ни одно зуба и даже корня? Всего два варианта:

1. Съемный пластиночный протез.

Он самый простой и самый дешёвый. Чаще всего встречаем у бабушек и дедушек “в стакане”, хотя так хранить вовсе не обязательно… но не об этом. Пластинчатый протез передает давление на слизистую всего рта, что не совсем физиологично. Но он восстанавливает эффективность жевания, что нам и нужно.

-2

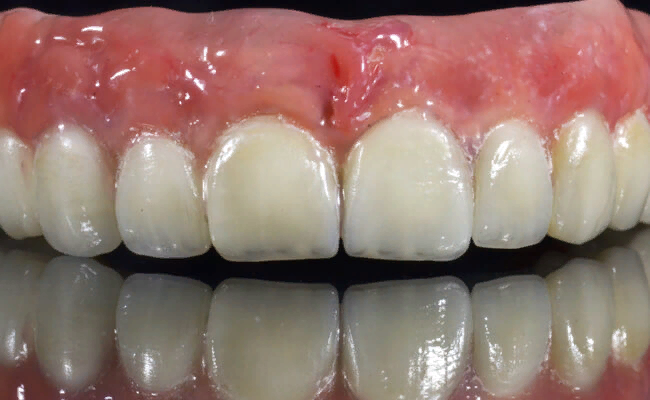
2. Протезирование на имплантах.

В кость вкручивают металлические импланты и на них “прикрепляют зубы”.

-3
-4

Есть системы вся челюсть на 4 имплантах, на 6, на 8. Зависит от умений, привычек врача и состояния кости пациента.

Протезирование дорогое, надёжное, долгосрочное.

Повторюсь, что протезирование будет необходимо в любом случае. Так как кроме потери способности пережевывать пищу, будут нарушения в суставе и мышцах лица.

Единственный выход не платить огромные деньги или носить протез в ущерб себе - начать заботится о своих зубах сейчас. Ведь лучшее лечение - это профилактика.

5 средств гигиены полости рта о которых вы не знали
Почему кровоточивость десны нас не пугает?

Спасибо за прочтение!) Давайте заберем у стоматологов немного работы и будем ухаживать за своими зубами более внимательно ;)