Найти в Дзене
Достоверный источник

Список необычных вещей, которые извлекали из людей (часть 2)

Подписывайтесь на канал и ставьте лайки! В продолжении первой статьи напоминаем Вам, что существует множества историй о попадании различных предметов внутрь человека. Среди них немало таких, где явно должны присутствовать некие пикантные подробности о причинах происшедшего. Чаще всего пострадавшие о них говорят так: «Упал (поскользнулся) и оно само в меня как-то попало…». Что-ж, оставим это на их совести, но сегодня мы продолжим знакомиться с действительно необычными и весьма опасными случаями, достойными Вашего внимания. Установить факт наличия постороннего предмета в организме можно только с помощью рентгена, УЗИ или МРТ. Но даже опытные специалисты не поверили своим глазам, когда обнаружили в легких одного мужчины нечто похожее на еловый росток длиной 5 см. Операция по его извлечению подтвердила увиденное. Это оказалась хорошая новость, ведь у кашляющего кровью пациента подозревали страшное заболевание. Предполагают, что он вдохнул семя с воздухом. Дети, они такие, тянут в рот что
Подписывайтесь на канал и ставьте лайки!

В продолжении первой статьи напоминаем Вам, что существует множества историй о попадании различных предметов внутрь человека. Среди них немало таких, где явно должны присутствовать некие пикантные подробности о причинах происшедшего. Чаще всего пострадавшие о них говорят так: «Упал (поскользнулся) и оно само в меня как-то попало…».

Что-ж, оставим это на их совести, но сегодня мы продолжим знакомиться с действительно необычными и весьма опасными случаями, достойными Вашего внимания.

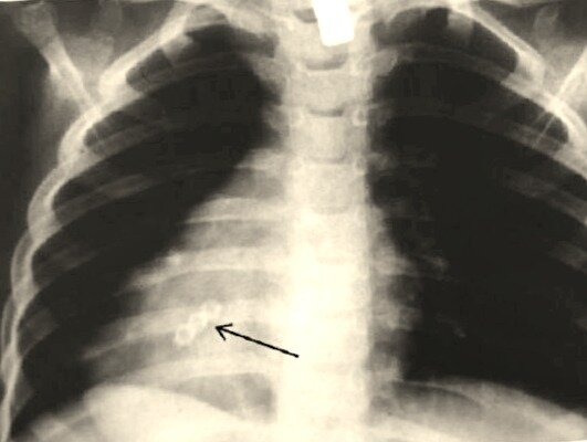
Установить факт наличия постороннего предмета в организме можно только с помощью рентгена, УЗИ или МРТ. Но даже опытные специалисты не поверили своим глазам, когда обнаружили в легких одного мужчины нечто похожее на еловый росток длиной 5 см. Операция по его извлечению подтвердила увиденное. Это оказалась хорошая новость, ведь у кашляющего кровью пациента подозревали страшное заболевание. Предполагают, что он вдохнул семя с воздухом.

-2

Дети, они такие, тянут в рот что попало, особенно разные мелкие детали и наиболее опасными среди них, являются магнитные шарики. У одной восьмилетней девочки медики извлекли из органов пищеварения более 30-и таких элементов. Часть ее поврежденного желудка пришлось отрезать. Сами по себе магнитики безвредны, но находясь рядом с другими они могут пережимать жизненно важные органы и создавать угрозу жизни.

-3

Когда из раненого достают пули или осколки – это для военных медиков дело привычное. Но в истории с американским солдатом Ченнингом Моссом, попавшим под обстрел в Афганистане, им пришлось работать совместно с саперами. Из тела бойца пришлось извлекать неразорвавшийся заряд, выпущенный из ручного гранатомета. В этой истории нужно отдать должное мужеству и самообладанию всех участников операции.