Найти в Дзене
Комната уродов

Человек-краб: генетическое отклонение

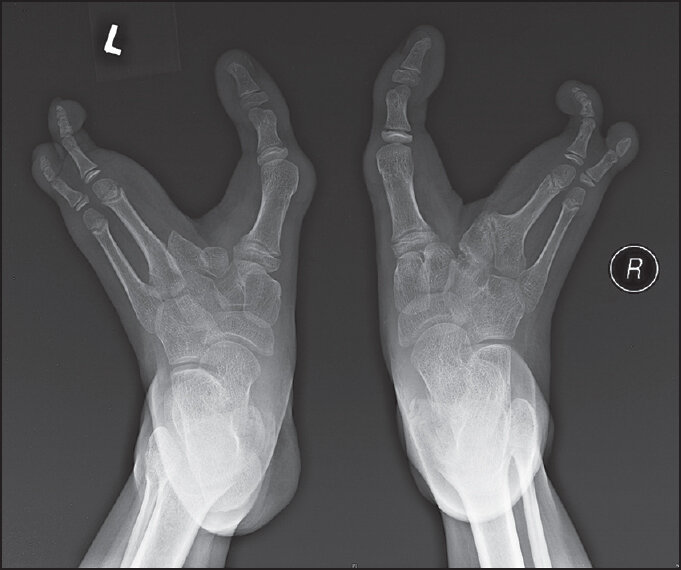
"Убери свои клешни" - фраза, которую слышал в свой адрес или употреблял сам, каждый. И если "клешни" в этом случае всего лишь образное обозначение рук, то в случае с эктродактилиией, это совсем не образное выражение. Эктродактилия - врождённое заболевание вызванное делецией, транслокацией и инверсией в 7-й хромосоме. Основной признак этого заболевания - клешнеобразные кисти руки или стопы. В среднем, заболевание встречается у 1 из 10 000 человек. Заболевание имеет больше косметологический дефект и люди, которые в итоге не проводят операцию по исправлению внешнего вида стопы\кисти, ведут вполне обычную жизнь. Но конечно, людям в современном обществе очень тяжело жить спокойной жизнью с такими дефектами, причём основная проблема носит именно психологический характер. Место скопления клешнеруких и клешненогих Наибольшее количество людей с таким заболеванием встречается в племени вадоме на севере Зимбабве. Там такое отклонение вовсе не считается заболеванием, а люди с такими конечностями

"Убери свои клешни" - фраза, которую слышал в свой адрес или употреблял сам, каждый. И если "клешни" в этом случае всего лишь образное обозначение рук, то в случае с эктродактилиией, это совсем не образное выражение.

Эктродактилия - врождённое заболевание вызванное делецией, транслокацией и инверсией в 7-й хромосоме. Основной признак этого заболевания - клешнеобразные кисти руки или стопы. В среднем, заболевание встречается у 1 из 10 000 человек. Заболевание имеет больше косметологический дефект и люди, которые в итоге не проводят операцию по исправлению внешнего вида стопы\кисти, ведут вполне обычную жизнь. Но конечно, людям в современном обществе очень тяжело жить спокойной жизнью с такими дефектами, причём основная проблема носит именно психологический характер.

-2

Место скопления клешнеруких и клешненогих

Наибольшее количество людей с таким заболеванием встречается в племени вадоме на севере Зимбабве. Там такое отклонение вовсе не считается заболеванием, а люди с такими конечностями на равне со всеми работают, учатся, женятся и рожают детей. Что интересно, даже если оба родителя страдают этим заболеванием, их дети могут быть совершенно здоровы.

-3
-4

Спасибо за проявленный интерес. Подписывайтесь, оставляйте комментарии и пишите пожелания или гневные отзывы. Кому что)