Добавить в корзинуПозвонить
Найти в Дзене
@

Почему люди ломают руки в армрестлинге

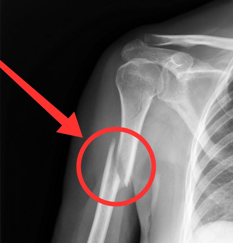
Всем привет, сегодня я с точки зрения профессионала хочу объяснить почему люди ломают руки или выворачивают их из суставов. Вообще армрестлинг один из самых безопасных видов спорта, но как не странно случаются переломы. Часто это скрученный перелом плечевой кости со смещением как показано на фото. При том что это ещё слабо, ведь кость может раздробиться что не даст вам перспективы заниматься этим в будущем. Но если это так опасно почему спортом ещё занимаются? Отвечу вопросом на вопрос. А вы видели в профессиональном спорте или на соревнованиях такой случай? Я лично не видел чтобы в соревнованиях кто-то что-то ломал. Но не переживайте, в основном ломают когда только начинают соревнования, при резком старте. Чтобы этого не произошло просто навсего нужно загибать руку и у вас начнут работать мышцы, а не рычаг который заканчивается плечём. Посмотрите как это делают профессионалы и будет всё хорошо. Всем спасибо за просмотр, подписывайтесь на наш спортивный блог и будьте всегда в теме

Всем привет, сегодня я с точки зрения профессионала хочу объяснить почему люди ломают руки или выворачивают их из суставов.

Вообще армрестлинг один из самых безопасных видов спорта, но как не странно случаются переломы. Часто это скрученный перелом плечевой кости со смещением как показано на фото.

При том что это ещё слабо, ведь кость может раздробиться что не даст вам перспективы заниматься этим в будущем.

Но если это так опасно почему спортом ещё занимаются? Отвечу вопросом на вопрос. А вы видели в профессиональном спорте или на соревнованиях такой случай? Я лично не видел чтобы в соревнованиях кто-то что-то ломал.

Но не переживайте, в основном ломают когда только начинают соревнования, при резком старте. Чтобы этого не произошло просто навсего нужно загибать руку и у вас начнут работать мышцы, а не рычаг который заканчивается плечём. Посмотрите как это делают профессионалы и будет всё хорошо.

Всем спасибо за просмотр, подписывайтесь на наш спортивный блог и будьте всегда в теме, ставите лайки и не забывайте делиться своими мнением о таких переломах, всем хорошего здоровья, всем пока!