Добавить в корзинуПозвонить
Найти в Дзене

Не ходите к имплантологам!

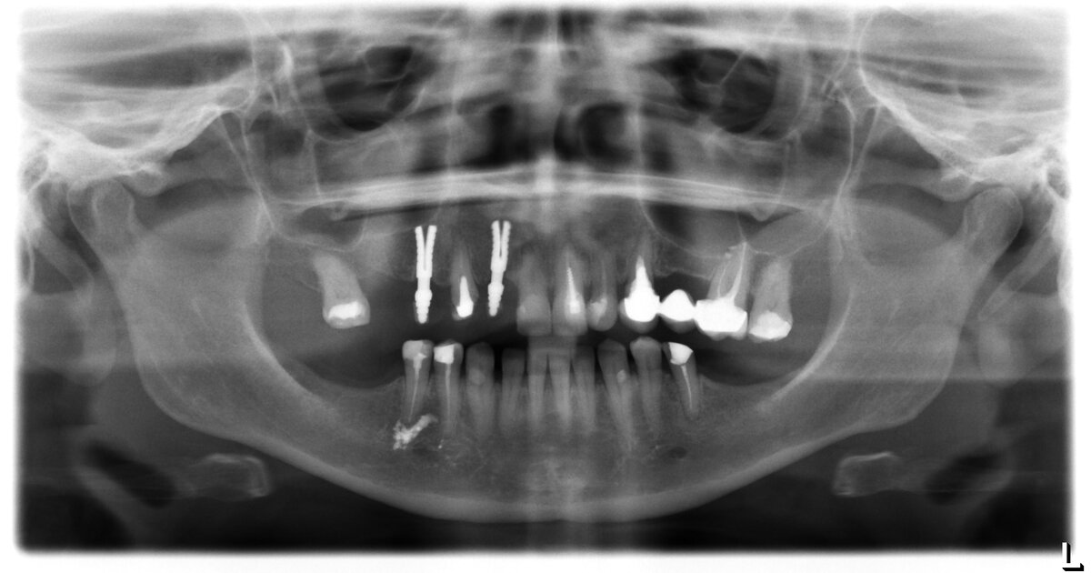
С чего все началось?... Приходит ко мне как-то на протезирование пациент и говорит: «Доктор, мне только нужно сделать коронки на имплантаты, которые я уже установил у своего знакомого в другом городе». «Хорошо»-говорю, «Давайте посмотрим снимки, состояние в полости рта и т.д.». И вот картина… При частичном отсутствии зубов в полости рта установлены имплантаты в эстетически значимой для пациента зоне, то есть там, где нет зубов и эти дефекты видны окружающим. Все вроде бы логично. Установили имплантаты, теперь нужно поставить коронки….. НО…. Давайте разберем снимок подробно: 1. Установлены 2-а неизвестных импланта 2. Отсутствуют жевательные зубы (шестые и седьмые) на нижней челюсти 3. Установлен мостовидный протез на зубах верхней челюсти. Коронки на опорных зубах нависают. Атрофия кости возле опорных зубов на 1/3 длины корня. 4. Большие композитные реставрации (пломбы) Что сделал врач имплантолог? Правильно! Он установил имплантаты, он заработа
Оглавление

С чего все началось?...

Приходит ко мне как-то на протезирование пациент и говорит: «Доктор, мне только нужно сделать коронки на имплантаты, которые я уже установил у своего знакомого в другом городе».

«Хорошо»-говорю, «Давайте посмотрим снимки, состояние в полости рта и т.д.».

И вот картина…

При частичном отсутствии зубов в полости рта установлены имплантаты в эстетически значимой для пациента зоне, то есть там, где нет зубов и эти дефекты видны окружающим. Все вроде бы логично.

Установили имплантаты, теперь нужно поставить коронки….. НО….

Давайте разберем снимок подробно:

1. Установлены 2-а неизвестных импланта

-3

2. Отсутствуют жевательные зубы (шестые и седьмые) на нижней челюсти

-4

3. Установлен мостовидный протез на зубах верхней челюсти. Коронки на опорных зубах нависают. Атрофия кости возле опорных зубов на 1/3 длины корня.

-5

4. Большие композитные реставрации (пломбы)

-6

Что сделал врач имплантолог? Правильно! Он установил имплантаты, он заработал! Сразу оговорюсь, что так поступает плохой врач! Он думает о сиюминутной выгоде, о решении локальной, точечной проблемы. Что будет дальше с пациентом? Это уже не его головная боль!

Что дальше?

Какие импланты узнать не трудно, на таких уже нормальные люди не протезируют и не устанавливают, так как они доказали свою неэффективность. Проблема в другом, насколько вся эта ситуация в полости рта долговечна и стабильна?

Посмотрите, в боковых отделах нет основных жевательных зубов – шестых и седьмых, из этого следует, что пациент будет пережевывать пищу теми зубами, которые остались. Неминуемая перегрузка приведет к разрушению коронок, резорбции кости вокруг имплантатов, возможно поломке имплантатов, сколу больших композитных пломб, наклонам и сдвигам зубов, и разрушению мостовидного протеза.

Таким образом, вместо того чтобы сохранять оставшиеся зубы, очень много врачей двигают пациента к потере зубов и полному съемному протезу!

Именно из-за таких необдуманных, непросчитанных «лечений с применением имплантатов» и складывается весь негатив и недоверие к самому передовому на сегодняшний день методу восстановления утраченных зубов.

Если вы настроены получить качественное лечение, восстановление отсутствующих зубов с применением имплантов, то Вам необходимо обратиться к врачу стоматологу ортопеду.

Почему???

Да потому, что ортопед будет тем специалистом, с которым вам предстоит сотрудничать до самого последнего этапа, этапа создания вам голливудской улыбки. Именно врач ортопед исходя из грамотно спланированной конечной цели привлекает смежных специалистов: хирургов, имплантологов, терапевтов, пародонтологов. Именно врач ортопед составляет подробный план подготовки для каждого специалиста. Указывает зубы, требующие перелечивания и восстановления, указывает количество и позицию имплантатов и т.д. И смежные специалисты реализуют все подготовительные этапы.

Именно так!

Имплантация - это промежуточный, подготовительный этап для достижения конечного результата.

Поэтому, если Вы решили восстановить отсутствующие зубы с применением имплантатов, то необходимо обратиться к ортопеду, и именно ортопед, проведя соответствующие измерения и дополнительные исследования сможет вам дать ответ относительно возможности протезирования на имплантах. Будет ли коронка или протез на имплантатах состоятелен? Будет ли это функционально? Будет ли это эстетично? И самое главное, будет ли это долговечно?

Задача имплантолога – установить имплантат! И поверьте, что в команде у грамотного ортопеда есть парочка толковых импалнтологов.

Такая же ситуация возникает, если человек (пациент) прыгает из одной клиники в другую с целью сделать подешевле. Получается как в монологе А.Райкина – «Претензии к пуговицам есть?». В одной клинике почистил зубы, в другой установил импланты, в третьей хочет запротезировать. Ответственность на ком? Крайнего не найдете! Каждый специалист будет утверждать о том, что его часть работы выполнена правильно. Только вот эта работа может никак не вписываться в концепцию финального результата!

И бродят такие пациенты из одной клиники в другую в поисках счастья ;))).

В заключение хочется еще раз сказать, что протезирование зубов, а тем более протезирование на имплантатах - это работа команды. Главным (руководителем, координатором) и ответственным за конечный результат является ВРАЧ ОРТОПЕД!!!

Уникальные статьи по стоматологии на сайте WHITECROWN.RU

Клинические случаи в разделе БЛОГ

Понравилась статья? Ставь 👍🏻

Больше интересных случаев на авторском сайте: https://www.whitecrown.ru