Найти в Дзене

Полное отсутствие зубов - это мучение для пожилых людей

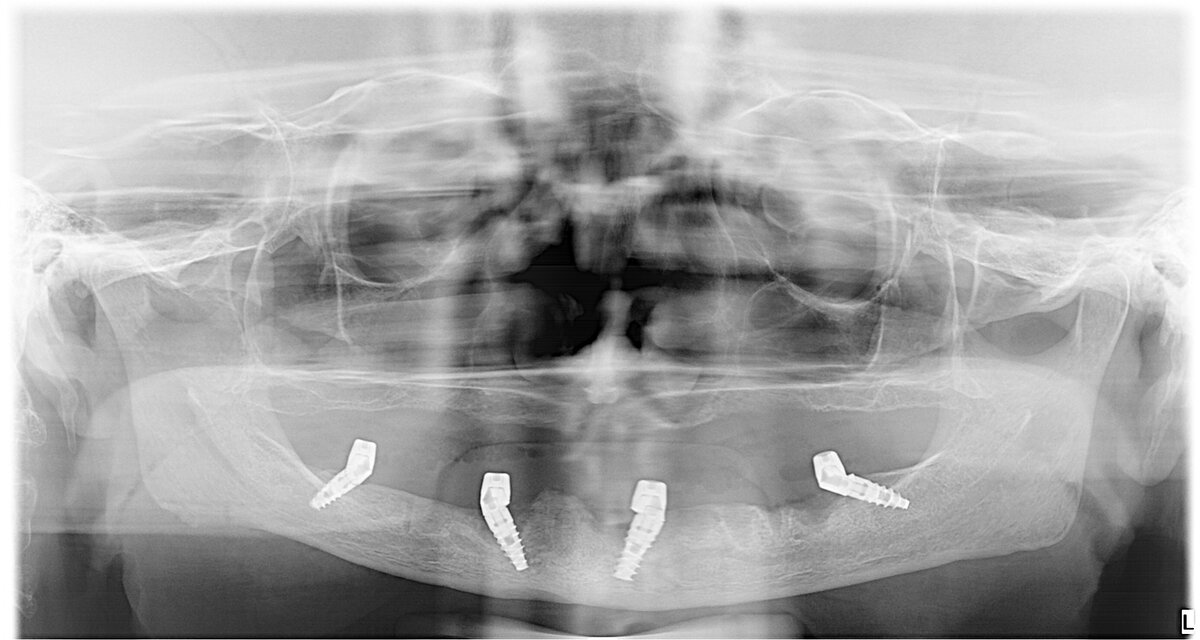
Пожилые люди очень уязвимы. Нет уже сил, нет терпения, старость подступила, многих друзей и соратников уже нет в живых, дети и родные заняты на работе, некогда им до них... Да вот ещё эти старые протезы ... Постоянно выпадают, нечем уже жевать... Доктора говорят десна плохие, новые протезы тоже держаться не будут. Есть выход. Это имплантация, и изготовление полного зубного ряда за 24 часа. Да, сегодня это осуществимо. Даже если есть недостаточность кости и слизистой полости рта , покрывающей кости челюстей. В данном клиническом случае имплантаты установлены в нестандартных позициях и с большим наклоном из-за недостаточности кости. Удалость собрать зубные ряды за 24 часа. И эта милая женщина счастлива. Есть уже огонёк в глазах и желание жить и радоваться жизни. Посмотрите как это здорово получилось.

Пожилые люди очень уязвимы. Нет уже сил, нет терпения, старость подступила, многих друзей и соратников уже нет в живых, дети и родные заняты на работе, некогда им до них... Да вот ещё эти старые протезы ... Постоянно выпадают, нечем уже жевать... Доктора говорят десна плохие, новые протезы тоже держаться не будут.

Есть выход. Это имплантация, и изготовление полного зубного ряда за 24 часа. Да, сегодня это осуществимо. Даже если есть недостаточность кости и слизистой полости рта , покрывающей кости челюстей. В данном клиническом случае имплантаты установлены в нестандартных позициях и с большим наклоном из-за недостаточности кости. Удалость собрать зубные ряды за 24 часа. И эта милая женщина счастлива. Есть уже огонёк в глазах и желание жить и радоваться жизни. Посмотрите как это здорово получилось.

-2
-3
-4