Найти в Дзене

Полная Стоматологическая реабилитация пациента при тяжелой форме пародонтита

Данный пациент обратился ко мне три года тому назад. На первой консультации я сразу почувствовал скептическое отношение к стоматологам со стороны пациента и очень подчеркнутое мнение о том , что главное мне как врачу срубить побольше бабла, а там видно будет. Честно говоря было немного обидно и оскорбительно. Но я считаю, что я должен работать с любым пациентом, я тренирую себя к любому развивающемуся сценарию и постоянно воспитываю в себе выдержку и стараюсь стать выше над похожим событием. Но что-то пациента ко мне привело же? Видимо, он получил какую-то рекомендацию ко мне или в нашу клинику. И значит у него есть маленькая надежда изменить своё мнение по отношению к стоматологам. Во всяком случае я так предположил и решил сыграть на этом и постепенно наладить контакт с ним. Ведь без нормальной и здоровой коммуникации лечение в нашей профессии не представляется возможным. Ниже представлены некоторые этапы лечения, а самая последняя фотография это результат реабилитации через 2 года

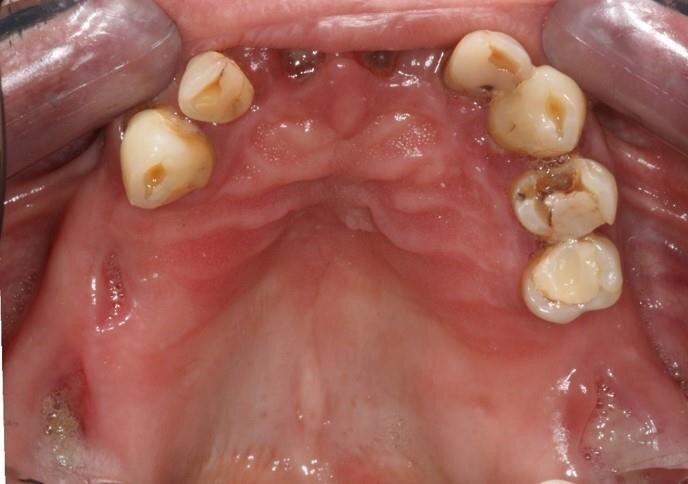
Данный пациент обратился ко мне три года тому назад. На первой консультации я сразу почувствовал скептическое отношение к стоматологам со стороны пациента и очень подчеркнутое мнение о том , что главное мне как врачу срубить побольше бабла, а там видно будет. Честно говоря было немного обидно и оскорбительно. Но я считаю, что я должен работать с любым пациентом, я тренирую себя к любому развивающемуся сценарию и постоянно воспитываю в себе выдержку и стараюсь стать выше над похожим событием. Но что-то пациента ко мне привело же? Видимо, он получил какую-то рекомендацию ко мне или в нашу клинику. И значит у него есть маленькая надежда изменить своё мнение по отношению к стоматологам. Во всяком случае я так предположил и решил сыграть на этом и постепенно наладить контакт с ним. Ведь без нормальной и здоровой коммуникации лечение в нашей профессии не представляется возможным. Ниже представлены некоторые этапы лечения, а самая последняя фотография это результат реабилитации через 2 года после окончания лечения.

-2
-3
-4
-5
-6
-7
-8
-9
-10
-11
-12
-13
-14
-15
-16
-17
-18