Добавить в корзинуПозвонить
Найти в Дзене
Полезные трюки

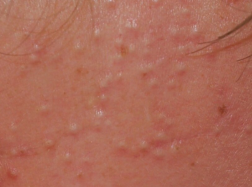
Домашние способы борьбы с белыми комедонами: небольшие и закрытые белые прыщи

Белые комедоны (закрытые) - эта разновидность кожных образований представляет собой закупоренные поры. В выводном протоке сальных желез накапливается густой секрет, смешанный с остатками косметики, загрязнениями и отмершими клетками эпидермиса. Образовавшаяся пробка нарушает отток, и может приводить к местным воспалительным реакциям. Это портит внешний вид кожи, создавая впечатление неухоженности и грязи. Не сжимайте и не пытайтесь выдавить комедоны, потому что это может привести к раздражению, инфекции и появлению прыщей или шрамов. Лечение в домашних условиях может быть выполнено следующим образом: 1) Салициловая кислота поможет уничтожить бактерии на поверхности кожи. Однако вместо того, чтобы очищать поры, кислота замедляет клетки кожи в волосяных фолликулах, предотвращая засорение пор. Вы можете купить ее в жидком виде или в виде мази. К сожалению, этот продукт также может раздражать кожу, поэтому его следует использовать непосредственно на комедоны и избегать контакта с незагряз
Белые комедоны (закрытые) - эта разновидность кожных образований представляет собой закупоренные поры. В выводном протоке сальных желез накапливается густой секрет, смешанный с остатками косметики, загрязнениями и отмершими клетками эпидермиса. Образовавшаяся пробка нарушает отток, и может приводить к местным воспалительным реакциям. Это портит внешний вид кожи, создавая впечатление неухоженности и грязи.
-2

Не сжимайте и не пытайтесь выдавить комедоны, потому что это может привести к раздражению, инфекции и появлению прыщей или шрамов.

Лечение в домашних условиях может быть выполнено следующим образом:

1) Салициловая кислота поможет уничтожить бактерии на поверхности кожи. Однако вместо того, чтобы очищать поры, кислота замедляет клетки кожи в волосяных фолликулах, предотвращая засорение пор. Вы можете купить ее в жидком виде или в виде мази. К сожалению, этот продукт также может раздражать кожу, поэтому его следует использовать непосредственно на комедоны и избегать контакта с незагрязненной частью кожи.
2
) После ванны или горячего душа, когда кожа подвергается «паровой обработкой», с помощью ватного тампона, осторожно нанесите масло чайного дерева. Это один из лучший домашних способов борьбы с белыми (закрытыми) комедонами.

Подписывайтесь на канал "Полезные трюки", а мы постараемся каждый день удивлять вас. Также мы очень ценим Ваши лайки.