Найти в Дзене
Денис Горбунов

Стисняешься улыбаться а керамический мост или имплант дорого ? Выход есть.

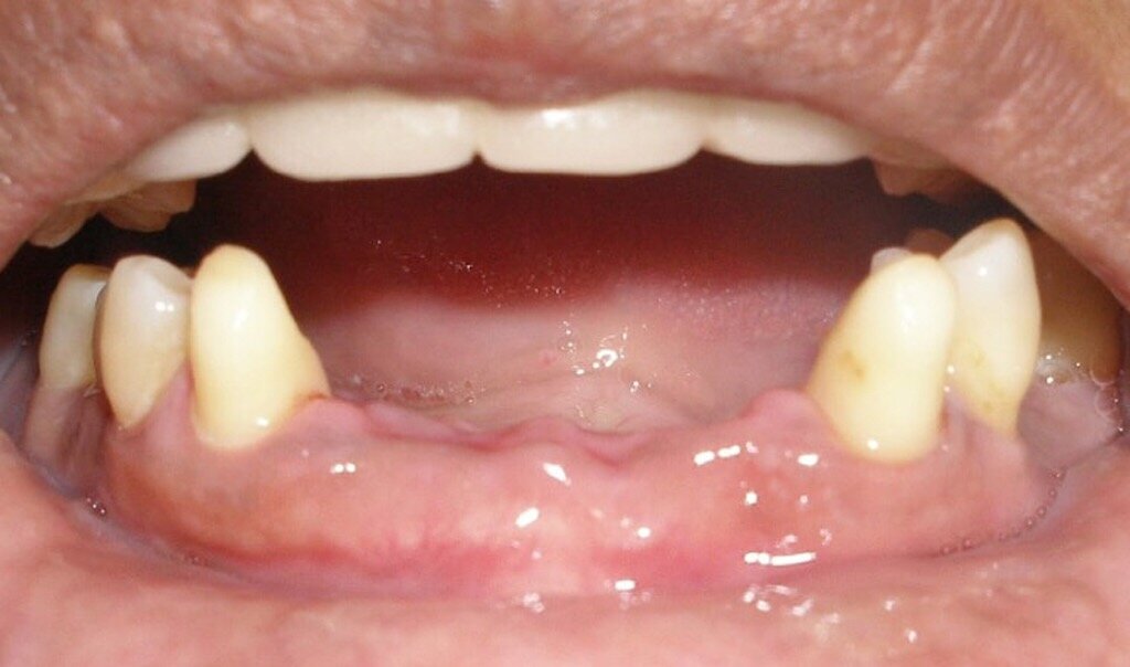
Причин по которым вы могли лишиться одного или нескольких зубов,при условии ,что все остальные абсолютно здоровые , на самом деле не много часто это травма , особенно это касается фронтальных зубов. Восполнить этот дефект сегодня никаких проблем не составит . Можно это сделать поставив металлокерамический мост или имплант (если зуб удалён полностью с корнем) если же у вас разрушена только коронковая часть а рентгеновский снимок говорит нам,что корень крепкий и здоровый ,в этом случае изготавливается культевая вкладка и цементируется в корне а на неё уже изготавливается коронка . Мы рассмотрим вариант отсутствия зуба или нескольких полностью и восполнение такового дефекта, так сказать,бюджетной ортопедической конструкцией , без препаровки (обточки) опорных зубов под керамику и без имплантации. Названий у этой ортопедической конструкции много : микропротез, иммидиат протез, протез бабочка это все одно и то же Как мы видим таким микропротезом могут быть восполнены дефекты как одного

Причин по которым вы могли лишиться одного или нескольких зубов,при условии ,что все остальные абсолютно здоровые , на самом деле не много часто это травма , особенно это касается фронтальных зубов.

Восполнить этот дефект сегодня никаких проблем не составит . Можно это сделать поставив металлокерамический мост или имплант (если зуб удалён полностью с корнем) если же у вас разрушена только коронковая часть а рентгеновский снимок говорит нам,что корень крепкий и здоровый ,в этом случае изготавливается культевая вкладка и цементируется в корне а на неё уже изготавливается коронка .

Мы рассмотрим вариант отсутствия зуба или нескольких полностью и восполнение такового дефекта, так сказать,бюджетной ортопедической конструкцией , без препаровки (обточки) опорных зубов под керамику и без имплантации.

-2
-3
-4

Названий у этой ортопедической конструкции много : микропротез, иммидиат протез, протез бабочка это все одно и то же

-5
-6
-7
-8

Как мы видим таким микропротезом могут быть восполнены дефекты как одного так и нескольких зубов.Пусть вас не пугает слово протез и то что он съемный , не бойтесь фиксироваться в полости рта он будет очень надежно и не заметно .

-9
-10

Ни кто кроме вас не будет знать , что у вас стоит микропротез ( при условии качественного исполнения своей работы зубным техником и врачем стоматологом). Эти протезы могут быть изготовлены как из жесткой базисной (розовая,которая имитирует десну) пластмассы,так и из эластичной, термо-пластмассы типа Wertex , последняя более плотно сидит в полости рта ,ещё один ее плюс, она вряд ли когда-нибудь сломается так как имеет пластичность .

Конкретно про цены мы говорить не будем так как они могут разниться, но скажу, одно это как небо и земля ,в сравнением, если подобный дефект вы будете восполнять керамикой или имплантацией.Косметический эффект не хуже, в гигиеническом плане так же удобно : снял,помыл,одел,забыл. Так же скажу , что это не является постоянной ортопедической конструкцией, хотя некоторые используют и как постоянную и замечательно себя чувствуют.Еще один большой плюс это сроки изготовления подобного протеза, его могут вам изготовить в течении дня но чаще на следующий,если у вас случилась такая неприятность, как травма с последующей потерей зуба, а времени нет ,срочно нужно это восполнить(свадьба,день рождения,свидание) , эта конструкция для вас .

Обращайтесь в стомат поликлиники и вам обязательно помогут, название данной конструкции вы уже знаете ,она поможет вам выглядеть уверенно уже сейчас и не ждать пока появятся деньги на , что-то более дорогое. Будте здоровы.