Найти в Дзене
Stomdevice

Как убрать диастему?

Использование материалов Филтек 3М и системы для полировки режущего края для достижения наибольшей эстетики. Учитывая мой практический интерес к стоматологическим материалам, я всегда стараюсь найти наиболее простой в использовании и более эстетичный материал среди прочих аналогов. Некоторое время назад я проводил окончательную шлифовку и полировку передней группы зубов и моляров. Полировочная система Sof-Lex от фирмы 3М включает в себя специальную пасту и запатентованный резиновый бор для полировки. Гибкая форма позволяет полировать все поверхности зуба. Используя универсальный реставрационный материал Filtek Supreme Ultra фирмы 3М вместе с полировочной системой Sof-Lex, достигается высокое качество реставрации и соответствие анатомии зуба. Если у ребёнка с небольшая передняя диастема, я использую Filtek с целью закрыть диастему, а потом завершаю обработку с помощью Sof-Lex. Тем самым достигается высокий эстетический результат с глянцевым блеском, что нравится пациентам. Клиничес

Использование материалов Филтек 3М и системы для полировки режущего края для достижения наибольшей эстетики.

Учитывая мой практический интерес к стоматологическим материалам, я всегда стараюсь найти наиболее простой в использовании и более эстетичный материал среди прочих аналогов.

Некоторое время назад я проводил окончательную шлифовку и полировку передней группы зубов и моляров. Полировочная система Sof-Lex от фирмы 3М включает в себя специальную пасту и запатентованный резиновый бор для полировки. Гибкая форма позволяет полировать все поверхности зуба.

Используя универсальный реставрационный материал Filtek Supreme Ultra фирмы 3М вместе с полировочной системой Sof-Lex, достигается высокое качество реставрации и соответствие анатомии зуба. Если у ребёнка с небольшая передняя диастема, я использую Filtek с целью закрыть диастему, а потом завершаю обработку с помощью Sof-Lex. Тем самым достигается высокий эстетический результат с глянцевым блеском, что нравится пациентам.

Клинический случай

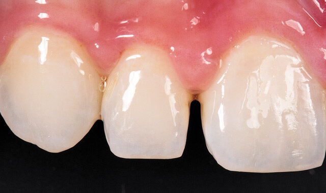
Шаг 1: У маленькой девочки образовалась диастема между верхними резцами справа после ортодонтического лечения. Главной задачей было убрать пространство между зубами и увеличитт размер бокового резца. Дополнительным моментом была необходимость в создании зубного контакта, который будет использоваться при ортодонтическом лечении.

-2

Шаг 2: Изолируем раббердамом, опускаем десневой край, чтобы обезопасить мягкие ткани при лечении и открыть область шейки зуба для создания наиболее анатомической формы у реставрации.

-3

Шаг 3: Прозрачной полимерной матрицей отделяем соседние зубы. Используем для травления эмали Scotchbond™ универсальный гель от 3М, чтобы увеличить прочность последующего соединения.

-4

Шаг 4: Гель наносится на 30 секунд и сушится в течение 30 секунд

-5

Шаг 5: Filtek Supreme Ultra укладывается в два слоя и каждый слой засвечивается в течение 20 секунд. Мы начали с передней поверхности зуба.

-6

Шаг 6: На следующем этапе мы закрываем диастему с нёбной стороны.

-7

Шаг 7: Чтобы начать контурирование и полировку необходимо подобрать диск для системы Sof-Lex XT Contouring Disc. Затем мы обработываем резцовый край вместе с передней поверхностью зуба. После этого переходим на нёбную сторону. Все эти действия выполнялись алмазным диском для полировки на скорости 5000 оборотов в минуту.

-8

Шаг 8: Далее, я использовал Sof-Lex Diamond Polishing. Бежевый спиральный диск предназначался для микроконтурирования эмали и удаления дефектов и царапин.

-9

Шаг 9: Затем я использовал розовый спиральный диск для создания естественного блеска. Межзубные промежутки шлифовались штрипсами (полировальные полоски)

-10

Шаг 10: Пациентка вернулась через неделю для окончательного послеоперационного осмотра. Она была очень довольна качеством реставрации.

-11

Доктор Маркос Варграсс

В нашем интернет-магазине вы всегда найдете все необходимые материалы и оборудование для ведения стоматологического приема.