Найти в Дзене
Стас Белоус

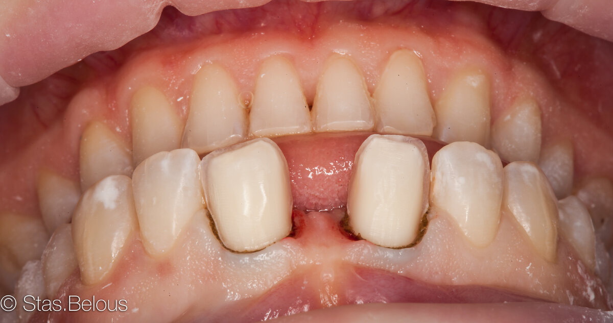
Пугачева в молодости была с такими зубами.

Да, у Аллы Борисовны в молодости было расстояние между передними зубами. И она не единственная, у кого такая клиническая ситуация. Иногда такие пациенты приходят и ко мне для устранения этой проблемы. Однако для одних - это проблема, а для других это норма. Для африканских племен это норма ) Долго морально пациентка готовилась к этой работе, тк были определенные страхи, но она обратилась по адресу. Тк у меня есть опыт изготовления керамических виниров, да еще и по цифровой технологии 3D моделирования. Сначала пациентка отбеливала зубы, пару месяцев, а в назначенный день встретились для подготовки зубов и создания реставраций! Вся работа по прежним зубам заняла 3 дня и 2 посещения. Зубы пришлось обточить и для этого использовался микроскоп. Затем специальным внутриротовым сканером, без слепков, выполнено сканирование зубных рядов, и на 3D модели созданы виртуальные виниры. Далее они вытачиваются из керамических блоков на специальном фрезерном станке CEREC. Именно так называется немецка

Да, у Аллы Борисовны в молодости было расстояние между передними зубами. И она не единственная, у кого такая клиническая ситуация. Иногда такие пациенты приходят и ко мне для устранения этой проблемы. Однако для одних - это проблема, а для других это норма. Для африканских племен это норма )

Долго морально пациентка готовилась к этой работе, тк были определенные страхи, но она обратилась по адресу. Тк у меня есть опыт изготовления керамических виниров, да еще и по цифровой технологии 3D моделирования.

Сначала пациентка отбеливала зубы, пару месяцев, а в назначенный день встретились для подготовки зубов и создания реставраций!

-2

Вся работа по прежним зубам заняла 3 дня и 2 посещения.

Зубы пришлось обточить и для этого использовался микроскоп. Затем специальным внутриротовым сканером, без слепков, выполнено сканирование зубных рядов, и на 3D модели созданы виртуальные виниры. Далее они вытачиваются из керамических блоков на специальном фрезерном станке CEREC. Именно так называется немецкая технология изготовления зубов за 1 визит.

Пациентка осталась безумно довольна, а все ее страхи сразу же исчезли, когда она увидела свои новые зубки.

-3
фото через 2 дня после установки.
фото через 2 дня после установки.

Информационная справка о Церек!!!

Немецкая Технология CEREC CAD/CAM в стоматологии с 1985 года !!!!! Это изготовление коронок, вкладок и виниров с помощью компьютерного моделирования. Интраоральным (внутриротовым) сканером выполняется сканирование зубных рядов, на полученных 3D моделях делается моделирование будущих реставраций. Далее из специальных керамических блоков производится выпиливание изделия (коронки/винира) на специальном фрезере.

Для придания реставрации естественности, используются керамические красители и производится обжиг в печи.

Справка о микроскопе )

Все манипуляции по работе с зубами я выполняю с операционным микроскопом, который дает большое увеличение. Я использую 10х и 15х увеличение, при котором видно много деталей)) Больше Деталий, больше информации для принятия решений, более аккуратное выполнение манипуляций различными вращающимися инструментами (борами и файлами).

И с цереком, и с микроскопом я работаю более 5 лет!

Мой телефон для записи на прием 89278253751