Найти в Дзене
GastroScan

Полипы желудка

Полипы желудка (англ. stomach polyp) — доброкачественные опухоли желудка эпителиального происхождения, выступающие в просвет желудка поражения (протрузии) слизистой оболочки на ножке или на широком, отчетливо ограниченном основании. Как правило, полипы желудка никак себя не проявляют и пациент узнаёт о них при эндоскопическом осмотре желудка. Но, при увеличении полипа на его поверхности могут развиваться кровоточащие язвы. Редко полип может блокировать пилорический канал и препятствовать прохождению пищи из желудка в двенадцатиперстную кишку. Полипозы желудка могут проявляться следующими симптомами:
Киотский глобальный консенсус по Helicobacter pylori-ассоциированному гастриту в комментариях к Положению 17 отмечает, что гиперпластические полипы желудка и инфекция Helicobacter pylori тесно связаны (Sugano K.et al., см. также перевод на русск.). Классификации полипов желудка Общепринятой классификации полипов не существует. В зависимости от количества полипов, выделяют од
Оглавление

Полипы желудка (англ. stomach polyp) — доброкачественные опухоли желудка эпителиального происхождения, выступающие в просвет желудка поражения (протрузии) слизистой оболочки на ножке или на широком, отчетливо ограниченном основании.

 
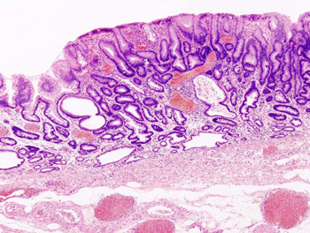
          Полипы фундальных желёз желудка
Полипы фундальных желёз желудка

Как правило, полипы желудка никак себя не проявляют и пациент узнаёт о них при эндоскопическом осмотре желудка. Но, при увеличении полипа на его поверхности могут развиваться кровоточащие язвы. Редко полип может блокировать пилорический канал и препятствовать прохождению пищи из желудка в двенадцатиперстную кишку. Полипозы желудка могут проявляться следующими симптомами:

  • болью или болезненностью при нажатии живот
  • кровью в кале
  • анемией

Киотский глобальный консенсус по Helicobacter pylori-ассоциированному гастриту в комментариях к Положению 17 отмечает, что гиперпластические полипы желудка и инфекция Helicobacter pylori тесно связаны (Sugano K.et al., см. также перевод на русск.).

Классификации полипов желудка

Общепринятой классификации полипов не существует. В зависимости от количества полипов, выделяют одиночные или множественные. При числе полипов более 20 говорят о полипозе желудка. Ниже даны некоторые классификации:

 
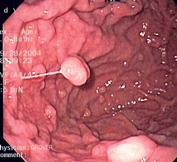
  Полип ∅6 мм фундальных желёз тела  желудка 46-летней женщины,
 		предположительно также больной ГЭРБ*
Полип ∅6 мм фундальных желёз тела желудка 46-летней женщины, предположительно также больной ГЭРБ*

Современная классификация полиповидных образований желудка (Пирогов С.С., Соколов В.В.):

  • Полипы из фундальных желез
  • Гиперпластические полипы:

истинные гиперпластические полипы

полиповидная гиперплазия в кардии (рефлюксного генеза)

кишечный тип

фовеолярный тип

пилорический тип

фундальный тип

воспалительный фиброзный полип

  • Полипозные синдромы:

ювенильный полипоз

синдром Кронкайт-Канада

синдром Гарднера

синдром Пейтца-Егерса

болезнь Коудена

гетеротопированная поджелудочная железа

  • ксантомы

Эндоскопическая классификация, предложенная S. Yamada в 1966 г.. выделяет 4 типа полипов (Маев И.В. и др.):

I тип — плоский, приподнятый, с нечёткими краями
II тип — выступающий, полукруглый, с достаточно чёткими границами
III тип — чётко выступающий, округлый. с втянутым основанием
IV тип — на ножке

Согласно международной гистологической классификации, все полипы желудка разделяют на истинные (аденомы) и опухолеподобные образования. Среди всех полипов желудка аденомы встречаются в 14-15% случаев. К опухолеподобным поражениям относят гиперпластические и фиброзные полипы, которые по гистологическому строению не являются опухолями и составляют большинство полипов желудка (более 85%) и построены из желез, выстланных ямочным эпителием (Маргарян Л.А.).

Полипы и рак желудка

В структуре предраковых заболеваний желудка доля полипов минимальна – всего 1%. Аденомы в 6-75% случаев подвергаются злокачественному перерождению и в 29–59% случаев их находят у больных раком желудка. Наиболее опасны в этом отношении аденомы диаметром более 2 см. Гиперпластический полип не является предраком. Малигнизация гиперпластических полипов происходит очень редко (1,3%). У 18–25% больных рак находят рядом с полипами (Маргарян Л.А.). Настораживающим симптомом является появление изъязвления на вершине полипа.

Проведение биопсии из выявленного полипа обязательно, так как дифференцировать его строение по внешнему виду невозможно. Гиперпластические полипы можно наблюдать (проведение контрольной гастроскопии 1-2 раза в год), эндоскопическое удаление аденоматозных полипов обязательно с последующим тщательным гистологическим исследованием удаленного полипа. При наличии крупных полипов, особенно на широком основании, которые невозможно удалить при помощи эндоскопической техники, показано оперативное лечение (Фирсова Л.Д. и др.).

( Читать дальше... )