Найти в Дзене
Tvoyzubnoy

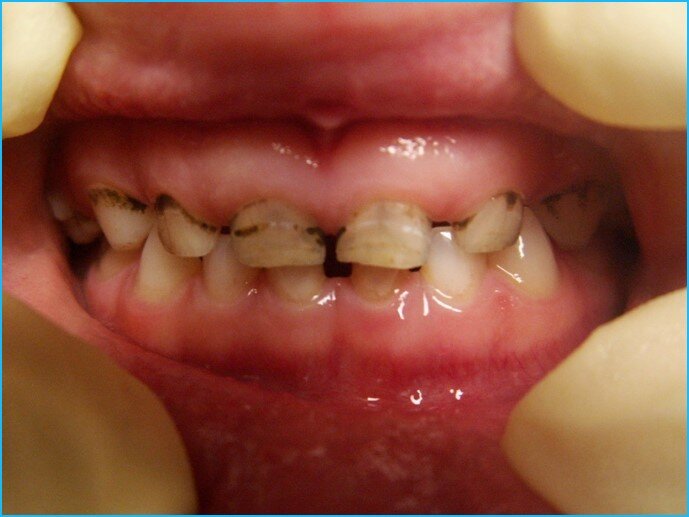
Появление черных точек на зубах у детей и их лечение

Детские зубки больше подвержены разрушениям, чем взрослые. В этом ничего нет диковинного, ведь молочные зубки не предназначены для пережёвывания «взрослой» обычной пищи. А чёрные участки на зубках, чаще всего именно кариес. Но запускать состояние кариеса никак нельзя. Это может дать довольно серьёзные осложнения. Не стоит сразу огорчаться, что у малыша есть такой недостаток. Кариес легко лечится у детского стоматолога, а в крайнем случае зубки всё равно поменяются. То, что малыш сейчас подвержен атаке кариесом, ещё не говорит, что с коренными зубами будет такая же проблема. Изредка почернение может возникнуть из-за внутренних проблем организма. Допустим, переизбытка железа или грибковой бактерии. Выяснить это можно только у врача, поэтому не откладывайте визит, чтобы не погубить здоровье ребёнка. Для родителя важнее всего обучить кроху всем премудростям ухода за полостью рта. И сделать это следует так, чтобы для ребёнка это было не просто ежедневной процедурой, а важным и любимым заня

Детские зубки больше подвержены разрушениям, чем взрослые. В этом ничего нет диковинного, ведь молочные зубки не предназначены для пережёвывания «взрослой» обычной пищи. А чёрные участки на зубках, чаще всего именно кариес. Но запускать состояние кариеса никак нельзя. Это может дать довольно серьёзные осложнения.

Не стоит сразу огорчаться, что у малыша есть такой недостаток. Кариес легко лечится у детского стоматолога, а в крайнем случае зубки всё равно поменяются. То, что малыш сейчас подвержен атаке кариесом, ещё не говорит, что с коренными зубами будет такая же проблема.

Изредка почернение может возникнуть из-за внутренних проблем организма. Допустим, переизбытка железа или грибковой бактерии. Выяснить это можно только у врача, поэтому не откладывайте визит, чтобы не погубить здоровье ребёнка.

Для родителя важнее всего обучить кроху всем премудростям ухода за полостью рта. И сделать это следует так, чтобы для ребёнка это было не просто ежедневной процедурой, а важным и любимым занятием. Тогда не возникнет проблем с поддержанием зубов в чистоте и здоровье.