Добавить в корзинуПозвонить
Найти в Дзене
Можайка 10

ДИАГНОЗ ОНМК ИЛИ ОСТРОЕ НАРУШЕНИЕ МОЗГОВОГО КРОВООБРАЩЕНИЯ

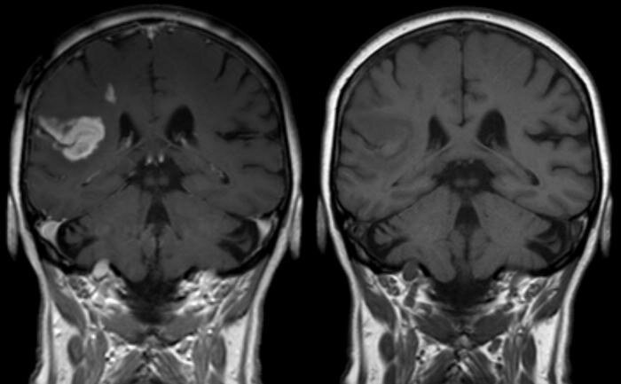
Неврология, что такое ОНМК в медицине? Заболевание под названием ОНМК, расшифровывается как острые нарушения мозгового кровообращения. Другими словами, более простыми для обычного пациента – это проявление инсульта. Это серьезное заболевание, которое может закончиться летальным исходом, если не соблюдать все рекомендации врача. Чем же страшна эта болезнь? Дело в том, что во время инсульта, происходит повреждение, а затем отмирание клеток головного мозга. Это вряд ли может говорить о чем-то хорошем, ведь целостность человеческого организма зависит от каждого его элемента. Причиной для нарушения целостности и отмирания клеток служит появление тромба в кровеносных сосудах головного мозга. Не только сам тромб, но и разрыв сосудов, обернется неблагоприятным эффектом. Такого рода блокировка вызывает гибель нервных клеток, а также клеток крови. Как бы печально это не звучало, но именно ОНМК является самой распространенной причиной смерти. Об этих фактах говорит ежегодная статистика. Если у
Оглавление

Неврология, что такое ОНМК в медицине?

Заболевание под названием ОНМК, расшифровывается как острые нарушения мозгового кровообращения. Другими словами, более простыми для обычного пациента – это проявление инсульта. Это серьезное заболевание, которое может закончиться летальным исходом, если не соблюдать все рекомендации врача. Чем же страшна эта болезнь? Дело в том, что во время инсульта, происходит повреждение, а затем отмирание клеток головного мозга. Это вряд ли может говорить о чем-то хорошем, ведь целостность человеческого организма зависит от каждого его элемента. Причиной для нарушения целостности и отмирания клеток служит появление тромба в кровеносных сосудах головного мозга. Не только сам тромб, но и разрыв сосудов, обернется неблагоприятным эффектом. Такого рода блокировка вызывает гибель нервных клеток, а также клеток крови.

Как бы печально это не звучало, но именно ОНМК является самой распространенной причиной смерти. Об этих фактах говорит ежегодная статистика. Если у человека было обнаружено образование тромба в кровеносных сосудах головного мозга, то надеяться на лучшее не приходится. Только своевременная и качественная медицинская помощь, позволит вытащить больного, практически «с того света». При этом обязательно потребуется ОНМК диагностика. Только после проведенных обследований, можно определить, насколько серьезным является степень данного заболевания.

ОНМК расшифровка в медицине

-2

Заболевание ОНМК – это неврология. Поэтому, Вам потребуется помощь хорошего невролога. Если ищите именно такого специалиста, то найти его сможете в Клинике Марии Фроловой. Здесь же можно не только получить бесплатную консультацию врача, но и пройти полное обследование на современном оборудовании. Клиника оснащена исключительно высокотехнологичными приборами, с помощью которых легко распознать любые заболевания. Кроме того, все необходимые процедуры вы можете пройти в одном месте. Вам не потребуется бегать по всему городу, чтобы в одном месте сдать анализы, а в другом – забрать их. Это очень удобно, еще и экономично по отношению к вашему времени, а его у Вас совсем немного, если говорить о таком заболевании, как острые нарушения мозгового кровообращения. При таком диагнозе, каждая минута на счету, поэтому ваша жизнь будет напрямую зависеть от качественной и оперативной работы врачей данного направления. Если вы цените свою жизнь и хотите справиться с возникшей проблемой, то позвоните в Клинику Марии Фроловой. Только здесь Вам смогут оказать действительно грамотную помощь с гарантированным на выздоровление результатом.

           Что такое ОНМК в медицине, и причины его возникновения

-3

Глядя на статистику смертности, ежегодно, заболевание ОНМК уносит жизни 14% всего населения. Это с учетом того, что 16% населения погибают от всех остальных заболеваний. Другими словами, данное заболевание – нередкое явление и от него умирают настолько же часто, как от всех других болезней вместе взятых. Это говорит о серьезных последствиях данного недуга, поэтому, сталкиваясь с ОНМК, ни у пациента, ни у врачей, не может быть права на ошибку.

В большинстве случаев, ОНМК и ОКС являются следствием образа жизни, который ведет человек. Заниматься своим здоровьем необходимо не только тогда, когда ваша жизнь весит на волоске от смерти, а с самого раннего детства. В первую очередь, следует активно заниматься спортом, ведь это самый надежный способ предотвратить не только ОНМК и ОКС, но и многие другие заболевания.

Если затронуть диагноз ОНМК по ишемическому типу, то он не является внезапным. Чаще всего, такое заболевание – это лишь последствие какой-то предшествующей болезни. Среди самых распространенных причин, которые становятся провоцирующим фактором для ОНМК, можно назвать: диабет, гипертония, заболевания сердца. Также, к этому списку можно добавить высокий уровень холестерина, ожирение. Что касается лишнего веса, то по статистике смертности от ОНМК, это самая распространенная причина. Наверное, не трудно догадаться, что алкоголь и курение также являются причиной для возникновения ОНМК. Некоторые медикаменты могут провоцировать диагноз ОНМК по ишемическому типу, поэтому следует с осторожностью принимать лекарственные препараты и делать это только по рекомендации врача. Спровоцировать данное заболевание может и полученная черепно-мозговая травма. Дополнить список можно и высоким уровнем холестерина, генетической предрасположенностью к данной болезни, а также возрастом.

Сама аббревиатура ОНМК, расшифровка в медицине – не так страшна, как услышать данный диагноз после обследования. Конечно же, человек не способен защитить себя от всех заболеваний, но он может минимизировать их возникновения, путем правильного образа жизни. Необходимо чаще заниматься спортом, вести подвижный жизненный ритм, и тогда процент возникновения ОНМК будет сведен к минимуму.

Неврология в Клинике Марии Фроловой

Если Вам потребуется помощь в области неврологии, например ОНМК диагностика, обследование и консультация врача, то в Клинике Марии Фроловой Вы сможете получить полный комплекс процедур, необходимых для обследования и лечения такого заболевания, как ОНМК. Это прекрасный Центр в Москве, где работают одни из лучших врачей, знающих толк в своем деле. Специалисты всех направлений, не просто выполняют свою работу, а действительно борются за жизни людей. Каждый клиент получает все необходимые услуги, чтобы выявить заболевание, причину заболевания, а также подобрать правильный метод для борьбы с данным недугом. Такой подход к процессу лечения обеспечивает гарантированно положительный результат в самые короткие сроки.