Добавить в корзинуПозвонить
Найти в Дзене
Просто Ветеринар

Что же делать если зверушка не писает?!

Немного о лечении мочекаменной болезни. Точнее, острое состояние лечим, а далее это образ жизни.
При остром состоянии происходит закупорка уретры камнями или песком. Это травмирует слизистую уретры и мочевого пузыря, сопровождается болью, поэтому:
Врач определит что нужно. В самом простом варианте - спазм уретры - медикаментозная помощь, на втором месте катетеризация мочевого пузыря, если
Оглавление
Продолжаю тему про мочекаменную болезнь

Немного о лечении мочекаменной болезни. Точнее, острое состояние лечим, а далее это образ жизни.

При остром состоянии происходит закупорка уретры камнями или песком. Это травмирует слизистую уретры и мочевого пузыря, сопровождается болью, поэтому:

  • Определить, отходит моча или нет. Если животное принимает характерную для мочеиспускания позу, но при этом моча не отходит, то никакой самодеятельности! Сразу, в срочном порядке, животному надо оказать профессиональную помощь. Если отток мочи не наладить, то достаточно быстро развивается уремия (отравление организма продуктами метаболизма), мочевой пузырь переполняется, почки перестают работать.

За сутки процесс может стать необратимым и животное может погибнуть.

Врач определит что нужно. В самом простом варианте - спазм уретры - медикаментозная помощь, на втором месте катетеризация мочевого пузыря, если катетер не проходит - вопрос встаёт о хирургическом вмешательстве. Уретростомия. Это хирургическая операция, в результате которой уретра выводится выше места закупорки. Моча отходит через "дырку" либо в промежности либо в животе. Эта операция по жизненным показаниям.

Бояться её не надо, с такими стомами животные живут. А вот если не сделать, то погибают.

Это Ричард. У него промежностная уретростома с лета 2020 года. Сейчас он прекрасно себя чувствует и поздравляет всех с прошедшим Новым Годом! (фото владелицы Анны)
Это Ричард. У него промежностная уретростома с лета 2020 года. Сейчас он прекрасно себя чувствует и поздравляет всех с прошедшим Новым Годом! (фото владелицы Анны)
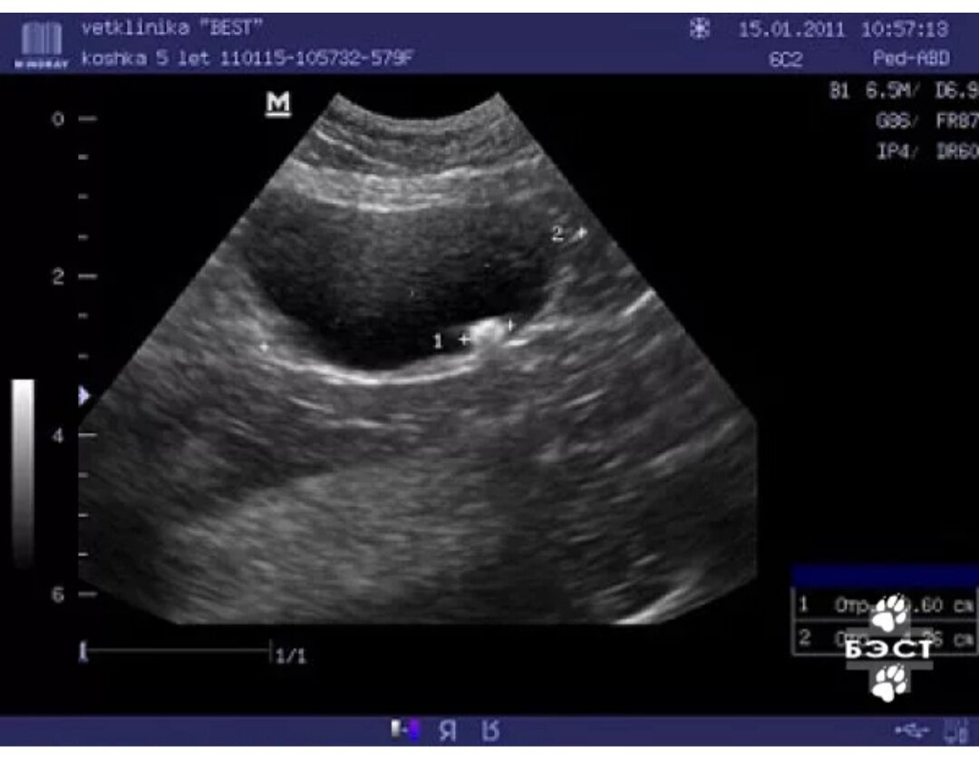
  • Когда налажен отток мочи возникает возможность проведения противовоспалительной терапии. Соответственно, можно заняться и дополнительной диагностикой (анализы крови, мочи, УЗИ, рентген)
Камень в мочевом пузыре (фото из интернета)
Камень в мочевом пузыре (фото из интернета)
  • Пациент стабилен, мочеиспускание налажено - время для определения долгосрочной терапии, диеты. На этом этапе анализы мочи - главный способ контроля за эффективностью лечения. Первое время мочу придётся сдавать каждую неделю, далее, конечно, реже. УЗИ нужно будет делать периодически, при стабильном состоянии 1 раз в 3-6 месяцев.
-3

Выбор диеты, повторюсь, зависит от анализа мочи. Существует множество промышленных кормов для лечения и профилактики мочекаменной болезни для собак и кошек. Это значительно облегчает жизнь владельцев)

Диета при МКБ пожизненная.

На этом я заканчиваю цикл рассказов про болезни мочевыделительной системы.

Напишите, о каких заболеваниях вы хотели бы узнать.
Не забывайте ставить 👍