Добавить в корзинуПозвонить
Найти в Дзене
Сам себе ветеринар

Чем опасен укус клеща для собаки?

БАБЕЗИОЗ или укус клеща
Симптомы
Последствия.
Диагностика.
Лечение

БАБЕЗИОЗ (Babesiosis)(Babesiosis)

Бабезиоз – заболевание, вызываемое внутриклеточными паразитами

крови, присутствующими, прежде всего в эритроцитах. Их векторы –

клещи. Проявляется анемией и желтухой.

Возбудители

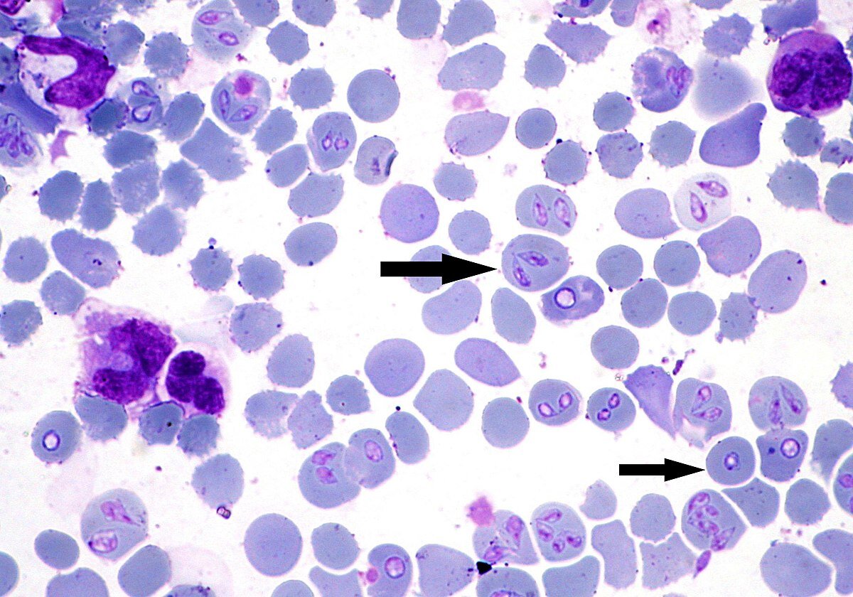
Бабезии в крови животного.
Бабезии в крови животного.

1. Babesia canis

Хозяин

Собаки и другие представители семейства Canidae являются

видоспецифическими хозяевами Babesia canis.Паразит относится к так называемым крупным бабезиям, мерозоиты в эритроцитах имеют пириформную форму размером 4 – 5 μм либо амебоидную форму размером 2 – 4 μм. Обычно они содержат вакуоль. При разрыве эритроцита хозяина мерозоиты высвобождаются и внедряются в следующие клетки. В дальнейшем из этих форм образуются гаметы, которые формируют зиготу. В странах с тёплым климатом векторами являются клещи Rhicephalus sanguineus и Haemophysalis leachi, в более холодном климате, например, Россия,Dermacentor marginatus

и Dermacentor pictus. У векторов может быть трансовариальная передача инвазии. Если самка клеща сосёт инвазированную кровь, возникающие зиготы паразита проникают в эпителий кишечника клеща, где формируется большое количество банановидных структур (вермикул), которые проникают в яичники клеща и внутри яйцеклеток

формируют мелкие закруглённые стадии. Развитие их продолжается в стадиях нимфы и взрослых клещей. Вермикулы проникают в слюнные железы клеща и при сосании крови попадают в хозяина (собак).

Патогенез и клинические признаки. В некоторых регионах это заболевание может быть умеренно выражено, в товремя как в других оно может быть высоко патогенно. Восприимчивы собаки

  • всех возрастных категорий. Инкубационный период – в пределах 10 – 21 дня.

В острых случаях первым признаком заболевания является очень высокая

температура (до 42°С). Постепенно развиваются анемия и желтуха. У

пациентов отсутствует аппетит, но отмечается жажда и общая слабость. К

частым проявлениям относят гемоглобинурию. Заболевание может окончиться летально.

В хронических случаях температура не настолько высока и редко длится

более чем несколько дней. Анемия и желтуха менее выражены. В целом

собаки заметно слабеют и худеют. Поражение циркуляторной системы

проявляется вазодилатацией с тенденцией к диссеминированным

внутриваскулярным коагулопатиям (ДВК) на уровне капилляров, повышенной проницаемостью и может перейти в покраснения и отёки. Дальнейшая клиническая симптоматика включает в себя асцит, стоматит, гастрит, катар дыхательных путей и одышку. При поражении глаз развивается кератит и увеит. При поражении мышц наблюдается миозит и признаки ревматоидного артрита. При поражении ЦНС наступают нарушения движения, парезы, эпилептические припадки и т. п. Мозговая форма бабезиоза может по проявлениям напоминать бешенство. Выздоровевшие животные, живущие в эпидемической области, приобретают премунитет, так называемый нестерильный иммунитет, при котором паразит находится в хозяине и элиминирует повторную инвазию. Однако если не происходреинвазии, то примерно через год собака погибает.

Диагностика

Подозрение на бабезиоз вытекает из нахождения

в эндемической области и из клинических

признаков. Предварительный диагноз подтверждают

нахождением бабезий в мазках крови, окрашенных

по Гимзе (схематически изображено на рис. 11).

Можно диагностировать бабезиоз при помощи

серологических методов ELISA и NFR.

Лечение

Современным препаратом, применяемым для

лечения бабезиоза собак, является пентамидин

(Lomidine inj.). Он даётся в дозе 4 мг/кг живой

массы, то есть 1 мл на 10 кг живой массы строго

асептически и глубоко внутримышечно.

Противопоказаны внутривенное и подкожное

введение. После 10-кратного разведения препарат

можно давать также внутрибрюшинно. Из других

препаратов можно также использовать трипановуюлазурь (2 – 3 мг на кг живой массы внутривенно), имидокарб (Carbesia, Imizol)

в дозе 1 – 5 мг/кг живой массы подкожно. Некоторые

авторы рекомендуют диминазенацетурат (Berenil) в дозе 1,17 мг/кг живой

массы в течение 3 дней, однако в соответствии с другими авторами, этот

препарат у собак противопоказан.

Профилактика

Используют репелленты для защиты животных от клещей. Удаляют

присосавшихся клещей.

Прогноз

Инвазия Babesia canis – серьёзное заболевание, исход которого едва ли

можно предсказать. Обычно считается, что остро протекающая инвазия имеет

прогноз от сомнительного до неблагоприятного, причём при переходе в

хроническую форму вероятность излечения повышается.