Найти в Дзене

Отличие люминиров и виниров

Люминиры позволяют получить желаемую форму зубов, цвет эмали, неотразимую улыбку. Стоит более подробно изучить такую процедуру.
Люминиры: что это такое?
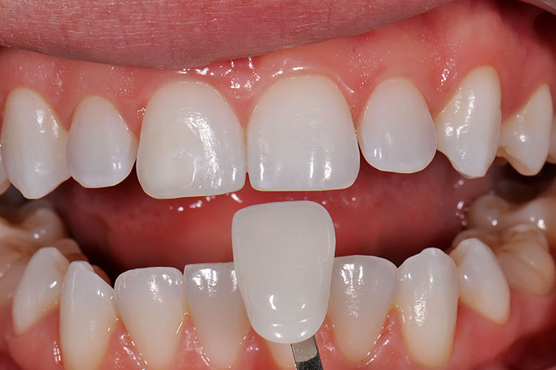
В Америке сделали инновационное изобретение. И теперь даже наши соотечественники знают о нем. Речь идет о голливудских люминирах. Они представляют собой очень тонкие пластины. Для их изготовления используют керамику высокого качества. Пластины
Оглавление

Люминиры позволяют получить желаемую форму зубов, цвет эмали, неотразимую улыбку. Стоит более подробно изучить такую процедуру.

Люминиры: что это такое?

В Америке сделали инновационное изобретение. И теперь даже наши соотечественники знают о нем. Речь идет о голливудских люминирах. Они представляют собой очень тонкие пластины. Для их изготовления используют керамику высокого качества. Пластины отличаются ультратонкостью, поэтому их можно установить и при этом нет необходимости в обтачивании зубов. Поверхность зубов слегка очищается, затем на нее наносят специальный состав, который обеспечивает хорошее сцепление зубной эмали и керамики. Можно сравнить виниры и люминиры. Но при втором варианте можно снимать пластины, при этом не будет повреждаться эмаль, а зубы вернут свой первоначальный вид.

Чем отличаются люминиры от виниров и на чем остановить свой выбор?

-2
  • винир имеет толщину, которая равняется 0,6 мм. Если его наклеить и при этом не выполнить обработку зуба, тогда он будет выпирать. Именно из-за этого необходимо оттачивать зуб, а лишь после этого наточить виниры. Люминиры же имеют толщину в 0,2 мм, поэтому такую конструкцию наносят на зуб, который не оттачивается. Для изготовления люминиров берут фарфор с кристаллами. Поэтому столь тонкая пластина способна выдержать большие нагрузки и при этом не деформироваться;
  • люминиры отличаются своей долговечностью и практичностью. По сравнению с винирами у них эти качества лучше;
  • с помощью люминиров зубы становятся ярче;
  • когда на зубы установлены люминиры не стоит так часто посещать стоматологии.

Когда устанавливают люминиры?

-3

Люминиры устанавливают, когда нужно корректировать зубы. Подобные пластины помогут изменить форму зубов, эмаль, ее цвет. Кроме того, благодаря пластинам можно убрать щели, которые образовались между зубами, удаляются сколы, царапины. Данные конструкции могут отличаться степенью прозрачности, а оттенки могут быть совершенно разными. Также установить люминиры стоит тем людям, у которых в результате неправильной работы челюсти стирается эмаль в силу возрастных изменений. Когда люди становятся старше, эмаль истончается, у человека зубы приобретают не очень красивый вид. И они еще больше состаривают его. Благодаря люминирам улыбка становится молодой и красивой.

Имеют ли люминиры минусы?

Есть несколько противопоказаний. Нельзя ставить такие пластины людям, которые обладают крупными передними зубами либо в случае наличия выпирающих зубов. Если установить конструкцию, то такие недостатки только больше будут подчеркнуты. У людей, которые отличаются чересчур задвинутой челюстью, зубами с наклоном нагрузка на зубы не совсем равномерная. А это говорит о том, что во время установки пластин будет очень сложно. В качестве противопоказания не могут выступать зубы, которые запломбированы.

Сколько можно носить люминиры и нуждаются ли они в особом уходе?

-4

Данный вид реставрации отличается долговечностью. Сцепление зубов и пластины, которая является очень тонкой, выполняется на микроуровне. А это гарантия того, что пользоваться такой конструкцией можно длительное время (больше 20 лет). Но это только в том случае, если пациент не будет употреблять твердые продукты, грызть сухари.

Что касается ухода за люминирами, то он напоминает уход за обычными зубами. Если внезапно пластина выпала, то ее можно быстро и легко заменить.

Совет по установке люминиров

Если изучить стоимость люминиров и виниров, то первый вариант будет дороже. Но кроме цены обращайте внимание также на качество исполнения конструкции. Но подтвердить качество люминиров могут только профессионалы. Поэтому изначально вы должны подобрать надежную клинику, квалифицированного специалиста. Он сможет подробно рассказать вам о люминирах, можно ли их устанавливать на ваши зубы и какой эффект можно будет достичь в вашем конкретном случае.