Добавить в корзинуПозвонить
Найти в Дзене
Эль-клиник

Примеры операций. #2 Hallux

Пациент – женщина 81 год.
Жалобы:
Постоянные боли при ходьбе.
Деформация пальца правой стопы.

Пациент – женщина 81 год.

Жалобы:

  • Постоянные боли при ходьбе.
  • Деформация пальца правой стопы.
  • Невозможность подобрать обувь .

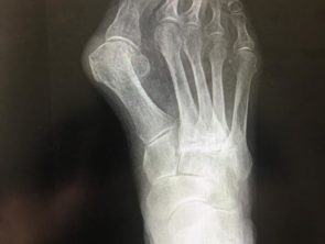
Диагноз – вальгусная деформация первого пальца правой стопы третьей степени (Hallux Valgus)

Проведена операция: двухуровневая корригирующая остеотомия с фиксацией интрамедуллярной (внутрикостной) спицей

Анестезия – спинальная

Длительность операции– 40 минут

Пациент отпущен домой в тот же день, период восстановления чуть больше месяца

До операции
До операции
До операции
До операции
После операции
После операции
После операции
После операции

Позвоните прямо сейчас и узнайте всё о наших возможностях.

+7 (495) 108-06-35