Найти в Дзене
Здорово живешь

Парень 7 лет страдал от насморка, пока не пошел лечить зубы. История одного чудо-исцеления

Очень интересный случай произошел на днях. Встретила я своего давнего знакомого, всегда помнила его как человека с открытым ртом. Уж простите за такие подробности, но вот бывает так, что ассоциируешь людей по вредным привычкам, кто ногти кусает, кто в носу ковыряет. А вот мой коллега с прошлой работы ходил-сидел и существовал с открытым ртом. Бедняга... Говорил, что у него аллергический ринит, а

Очень интересный случай произошел на днях. Встретила я своего давнего знакомого, всегда помнила его как человека с открытым ртом. Уж простите за такие подробности, но вот бывает так, что ассоциируешь людей по вредным привычкам, кто ногти кусает, кто в носу ковыряет. А вот мой коллега с прошлой работы ходил-сидел и существовал с открытым ртом. Бедняга... Говорил, что у него аллергический ринит, а на что не могут выяснить врачи. Никакие анализы, ни обследования не помогают выявить аллерген.

А тут он решил заняться зубами, так конкретно заняться, это когда уже половину рта надо вылечить, а вторую удалить. Как это часто бывает. И попался он к очень грамотному специалисту в своем деле! Уж, повезло так повезло парню!

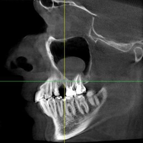
Оказалось, что лет так 7 назад, он также посещал стоматолога, но не долечил зуб! Кариес был серьезный, по итогу пульпит, удаление нерва, пломбировка каналов, все по плану. И было решено ставить коронку, а пока что заделали временной пломбой. Но у нас все что временное, то становится постоянным по обычаю. Так и произошло, то ли денег не было, то ли времени, но вот эти 7 лет ходил он с временной пломбой и горя не знал. А пломба то потихоньку разрушалась.

На первом приеме, конечно же, стоматолог-терапевт удивился такому “красивому” зубу и сразу в лоб спросил: “А вас случайно насморк не беспокоит последние годы?"

Тут то все и выяснилось. Оказалось, что причиной вечного насморка была не аллергия, а именно этот зуб (точнее его полуразрушенная пломба). Наши дальние зубы связаны с пазухами носа. И при отсутствии заболевания, они (пазухи) стерильны. А вот если в них попадает какой-либо возбудитель (бактерии, инородные вещества), то в пазухах обнаруживается слизь, которую мы называем соплями, и начинает течь из носа. На этом примере через разрушенную часть зуба проникала всякая дрянь из ротовой полости, что приводило к раздражению гайморовой пазухи, которая в результате самоочищения выдавала постоянный ринит! Вот так загадка!

-2

Зуб, конечно, удалили, все закончилось благополучно.

Друзья, делаем выводы! Проверяем и лечим зубы почаще, чем раз в 7 лет!

А у вас были интересные зубные истории? Делитесь в комментариях!