Найти в Дзене
Артур Тумашевич

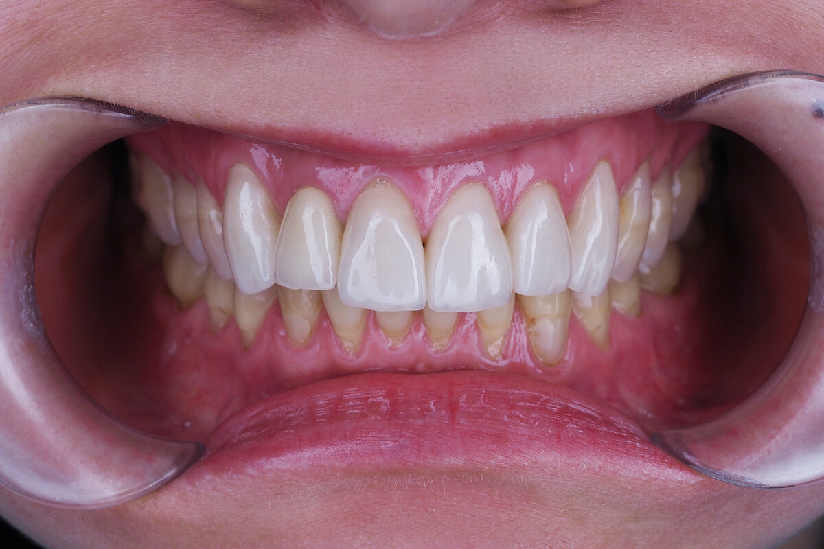
МОЖНО ПОСТАВИТЬ ВИНИРЫ БЕЗ ОБТОЧКИ?😮

Пост из нескольких частей. Поэтому ✅проверьте подписку!
👉Про виниры обычно много вопросов. И самые частые: как ставят?  Можно ли не обтачивать зуб?
Поэтому подготовил простое и понятное описание того, как устанавливаются виниры.
Процедура схожа с процедурой наращивания ногтей. Кстати, если вы не знали, как раз наращивать ногти придумал стоматолог.

Пост из нескольких частей. Поэтому ✅проверьте подписку!

👉Про виниры обычно много вопросов. И самые частые: как ставят?  Можно ли не обтачивать зуб?

Поэтому подготовил простое и понятное описание того, как устанавливаются виниры.

Процедура схожа с процедурой наращивания ногтей. Кстати, если вы не знали, как раз наращивать ногти придумал стоматолог.

👉Итак, как происходит установка виниров:

🟢Очищение поверхности зуба от временной конструкции, кондиционирование зуба.

🟢Обработка поверхности самого винира

🟢Нанесение адгезивной системы на зуб и винир для лучшей фиксации.

🟢Нанесение фиксатора на винир

🟢Установка

🟢Устранение излишков материала

🟢Засвечивание

Некоторые считают, что на зубах с винирами нельзя жевать. И это в корне неверное заблуждение.

👉Виниры - это не просто накладки на зубы, они имеют такой же полноценный функционал, как и коронки. Конечно, пробки открывать, орехи разгрызать ими категорически нежелательно. Но и своими зубами этого же делать не стоит!

А, да, про обточку не сказал. 😂Придется вам подождать следующего поста🤟