Найти в Дзене

Почему один стоматолог говорит: "Надо лечить!", а другой: "Зуб здоров!" Как узнать правду самому пациенту?

Для начала родитель должен знать, как должен проходить первичный осмотр и диагностика.
Что входит в первичный визит?
Панорамные снимки для диагностики в детской стоматологии не используются!
Доктор, смотрящий на панорамный снимок, никогда не увидит там кариес в начальной стадии.

Для начала родитель должен знать, как должен проходить первичный осмотр и диагностика.

К осмотру готовы!
К осмотру готовы!

Что входит в первичный визит?

  1. Знакомство с ребёнком.
  2. Сбор анамнеза. Под этим страшным словом мы понимает историю жизни и здоровья: все перенесенные и сопутствующие заболевания, травмы, операции, аллергии, принимаемые препараты, нахождение на учёте у других специалистов и так далее и тому подобное. Эту информацию скрывать нельзя ни в коем случае! Она может повлиять на диагноз, на выбор метода лечения и на исход, прогноз и возможные осложнения и рецидивы.
  3. История настоящего заболевания, то есть история тех жалоб, с которыми обратился пациент, а в нашем случае, чаще родители пациента.
  4. Независимо от того, есть у вас жалобы, или вы пришли на осмотр, доктор должен выяснить, как проходит домашняя гигиена, кто её проводит: родитель или ребёнок сам, какими средствами гигиены, по какому графику, получается ли провести гигиену в полном объёме. Какой у ребёнка рацион, тип и график питания.
  5. Далее проходит осмотр всех поверхностей зубов, слизистой оболочки, уздечек, губ и так далее.
  6. В идеале сделать фотопротокол: на фото намного лучше видно, что происходит во рту, родители могут увидеть верхние зубы, которые практически невозможно рассмотреть дома. На этих же фото врач может показать родителям, где есть проблемы, на что стоит обратить внимание.
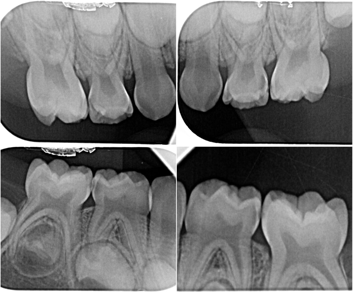
  7. Теперь самый главный этап. Рентгенография! Обязательно нужны снимки! Для диагностики, в том числе кариеса "между зубами" нужны маленькие (прицельные) внутрироторые снимки. Не панорамные, а прицельные! Только с такими снимками мы можем оценить все поверхности зуба, состояние корней, кости вокруг зуба и связки, которая его держит.

Панорамные снимки для диагностики в детской стоматологии не используются!

Вот так выглядит комплекс прицельных снимков жевательной группы зубов (4 штуки). Видны все корни, кость между корнями и вокруг них, все поверхности зуба, нет наложения проекции одного зуба на другой.
Вот так выглядит комплекс прицельных снимков жевательной группы зубов (4 штуки). Видны все корни, кость между корнями и вокруг них, все поверхности зуба, нет наложения проекции одного зуба на другой.
Вот так выглядит панорамный снимок. Кроме наличия зачатков постоянных зубов, вряд ли что-то можно оценить.
Вот так выглядит панорамный снимок. Кроме наличия зачатков постоянных зубов, вряд ли что-то можно оценить.

Доктор, смотрящий на панорамный снимок, никогда не увидит там кариес в начальной стадии.

Доктор, не сделавший снимки вообще, никогда не увидит скрытый контактный кариес ("между зубами") даже не в начальной стадии, никогда не увидит большой кариес под пигментацией. А иногда там может быть уже пульпит!

Доктор, который кариес нашёл, всегда покажет на фото или снимке, где он, и объяснит, почему его нужно лечить.

Я никогда не скажу лечить то, что лечить не нужно! Потому что это чистой воды вредительство. Именно поэтому всегда на консультации рассказываю про каждый зуб отдельно по снимкам и по фото, всегда отправляю пациентам все диагностические снимки и фото. Если у нас сомнительная ситуация, всегда расскажу родителям о всех рисках, возможных исходах и варианты решения проблемы сейчас и в дальнейшем.

А ещё, например, в нашей клинике мы начали недавно использовать очень крутую штуку, называется DiagnoCat, это искусственный интеллект, который анализирует обычные 2D снимки или КТ. Это непредвзятое второе мнение для пациента или родителя пациента. Мои пациенты всегда получают отчёт о том, что на снимках увидел искусственный интеллект, без моего участия. Мне кажется, штука очень крутая, как для родителя, так и для доктора.

Так выглядит отчёт от DiagnoCat. И далее по каждому зубу
Так выглядит отчёт от DiagnoCat. И далее по каждому зубу

Если есть вопросы, как развеять сомнения в том, что доктор лечит только больные зубы, пишите их в комментариях.