Найти в Дзене

Гистологическое исследование животных. Что это и зачем нужно

В процессе лечения больного животного предлагается множество диагностических обследований. Среди них важное место занимают морфологические исследования — клиническая цитология и гистология.
Гистологическое исследование животных (гистология)  – важное информативное направление в работе современных ветеринарных лабораторий.
Гистология животных  — это анализ тканей, который позволяет определить их

В процессе лечения больного животного предлагается множество диагностических обследований. Среди них важное место занимают морфологические исследования — клиническая цитология и гистология.
Гистологическое исследование животных (гистология)  – важное информативное направление в работе современных ветеринарных лабораторий.
Гистология животных  — это анализ тканей, который позволяет определить их происхождение и характер. Результаты гистологии во многом являются определяющими для постановки окончательного диагноза и выработки дальнейшего лечения.
Гистология позволяет описать полную картину того, какой процесс происходит в тканях (воспалительный, атрофический или злокачественный).

Морфологическая картина характерная для гнойно-некротического воспалительного процесса
Морфологическая картина характерная для гнойно-некротического воспалительного процесса
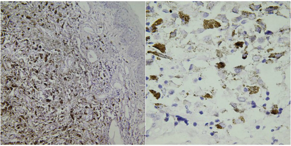
Морфологическая картина характерная для меланомы
Морфологическая картина характерная для меланомы

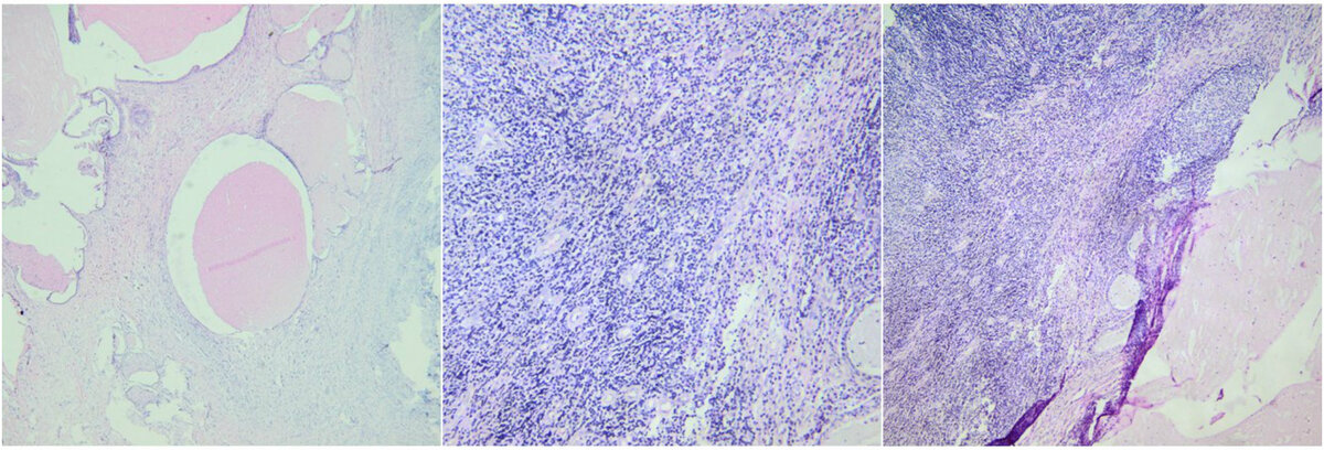
Морфологическая картина характерная для лимфомы
Морфологическая картина характерная для лимфомы

Для чего нужно гистологическое исследование?

Без точного представления вида новообразования велика вероятность назначения неправильного лечения. Врач не может поставить точный диагноз только по клинической картине, результатам рентгенографии , УЗ-диагностики или анализов крови. В данном случае онколог назначает биопсию с последующим морфологическим исследованием. Исследование дает возможность назначить правильное лечение (операцию и химиотерапию), определить прогноз заболевания или же не проводить лечения вовсе, если процесс доброкачественный.

Образец биопсии
Образец биопсии

Результаты гистологического исследования обладают большой достоверностью.

Сбор материала для анализа производится в отличие от цитологического исследования хирургическим путем.

Когда удаляется опухоль, она непременно исследуется с помощью гистологических методов.

Гистология пользуется собственными методами исследования, которые включают приёмы изучения специфически обработанного (фиксированного) материала с помощью световой и электронной микроскопии.

Гистологические методы исследовании необходимы для установления или подтверждения диагноза, контроля роста опухоли, определения стадии патологического процесса с целью назначения правильного лечения.

Опытные врачи-патоморфологи Лаборатории Ветеринарного центра доктора Базылевского А.А.  в Беларуси и России, смогут быстро и точно провести анализ клеток и тканей для постановки диагноза Вашему питомцу. Получить более подробную консультацию можно по телефонам ветеринарных клиник.