Найти в Дзене
Crush.science

КТ – бояться нельзя делать?

Многие бояться делать флюорографию ежегодно, но при подозрении на коронавирус бесстрашно бегут на КТ (компьютерную томографию).

1. Разбираемся, в чем суть исследования?

Есть источник излучения и детектор (датчик с чувствительной матрицей), между ними помещают человека. Разные по плотности ткани организма поглощают рентгеновские лучи в разной степени, поэтому изображения на выходе отличаются по интенсивности. Кости плотные, поэтому сильно тормозят излучение, и на снимке получаются белыми, а кожа наоборот, пропускает насквозь.

Попадая на чувствительную матрицу датчика, сигналы передаются на компьютер, который преобразует их в изображение — томограмму.

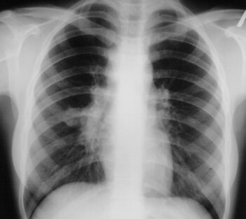
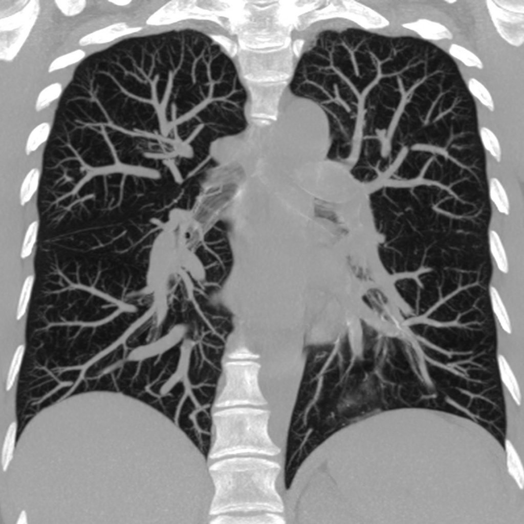
2. Чем КТ отличается от рентгенографии?

КТ это послойное сканирование. При традиционном КТ кольцо сканера делает полный круг, затем стол смещается на заданное расстояние(шаг сканирования), делается следующий "срез". А вот на рентгенограмме изображения органов наслаиваются друг на друга, что мешает их рассмотреть и выявить изменения. Томограмма состоит из нескольких «срезов», что значительно повышает информативность снимков. Чем меньше шаг сканирования, тем лучше видна структура органов, их расположение.

3. Вредна ли КТ?

Доза облучения при КТ головы у взрослых составляет 2,3 мЗв, грудной клетки – 8 мЗв, брюшной полости или таза – 10 мЗв, в то время как флюорография - 0,05 мЗв( если цифровая) и 0,5 мЗв (если в качестве детектора фотопленка, как на старых аппаратах).

Это важный, простой, доступный и точный метод и бояться его не стоит, НО компьютерная томография это относительно высокая лучевая нагрузка и должна проводиться строго по медицинским показаниям и назначению врача.

1 КТ легких это как 160 рентгенов!

Да, КТ более эффективный метод, но вы очень хотите превысить свою лучевую нагрузку за год?

4. Какую задачу решает КТ у пациентов с нетяжелым течением СOVID-19, с которой не сравиться рентген?

Никакую!

Рентген не такой высокочувствительный метод как КТ, и врач не увидит незначительных изменений, а вот наиболее значимые и необходимые для лечения пациентов - легко!

Интерестный факт:
Ученые из Испании опубликовали статью в журнале Ultrasound in Medicine & Biology где представили сравнение результатов исследований КТ и УЗИ легких. УЗИ имело аналогичную точность как и КТ грудной клетки, при обнаружении патологий легких у пациентов с COVID-19.

Подписывайтесь на наш канал, чтобы не пропустить крутые материалы и на наш инстаграм для вдохновения. Поддержите интересные статьи лайком, для нас важно видеть, что вам интересно то, о чем мы пишем.

#развеиваем мифы #интересные факты