Найти в Дзене
Клиника щитовидной железы

Что важно при УЗИ щитовидной железы?

Существует одна важная информация, которую каждый врач УЗД должен определять и указывать а документе - Протоколе УЗИ. Без этой важной информации Протокол УЗИ становится формальной бумагой и поводом к шаблонному назначению (например, гормональных препаратов) эндокринологом. Что же это за Важная информация о щитовидной железе? Существует несколько ключевых сведений, которые врач УЗД (узист или сонолог) должен сообщить в Протоколе УЗИ. Это вовсе не адрес медучреждения, где произведено УЗИ и не анкетные данные пациента и специалиста. Даже объём щитовидной железы и, в случае его увеличения, указание степени зоба, не сравнится значением с нужной нам Важной информацией. Но объём щитовидной железы укажет на особенности её напряжения, длительность процесса, обратимость и проч. Врачи УЗИ не способны при увеличении объёма щитовидной железы сообщить в заключении Протокола УЗИ о степени зоба. Степени зоба по ВОЗ являются физикальными, а не радиологическими, т.к. эти степень зоба по ВОЗ определяетс
Оглавление

Существует одна важная информация, которую каждый врач УЗД должен определять и указывать а документе - Протоколе УЗИ. Без этой важной информации Протокол УЗИ становится формальной бумагой и поводом к шаблонному назначению (например, гормональных препаратов) эндокринологом. Что же это за Важная информация о щитовидной железе?

Существует несколько ключевых сведений, которые врач УЗД (узист или сонолог) должен сообщить в Протоколе УЗИ. Это вовсе не адрес медучреждения, где произведено УЗИ и не анкетные данные пациента и специалиста.

Всегда важен объём

Даже объём щитовидной железы и, в случае его увеличения, указание степени зоба, не сравнится значением с нужной нам Важной информацией.

Но объём щитовидной железы укажет на особенности её напряжения, длительность процесса, обратимость и проч.

Врачи УЗИ не способны при увеличении объёма щитовидной железы сообщить в заключении Протокола УЗИ о степени зоба.
Степени зоба по ВОЗ являются физикальными, а не радиологическими, т.к. эти степень зоба по ВОЗ определяется зрительно и пальпацией.

Есть ещё одна обязательная информация УЗИ о щитовидной железе

Это интенсивность напряжения щитовидной железы по величине интенсивности кровотока и максимальной скорости кровотока в привносящих артериях железы (1-2-го порядка).

Варианты величин пиковой систолической скорости кровотока в артериях щитовидной железы
Варианты величин пиковой систолической скорости кровотока в артериях щитовидной железы

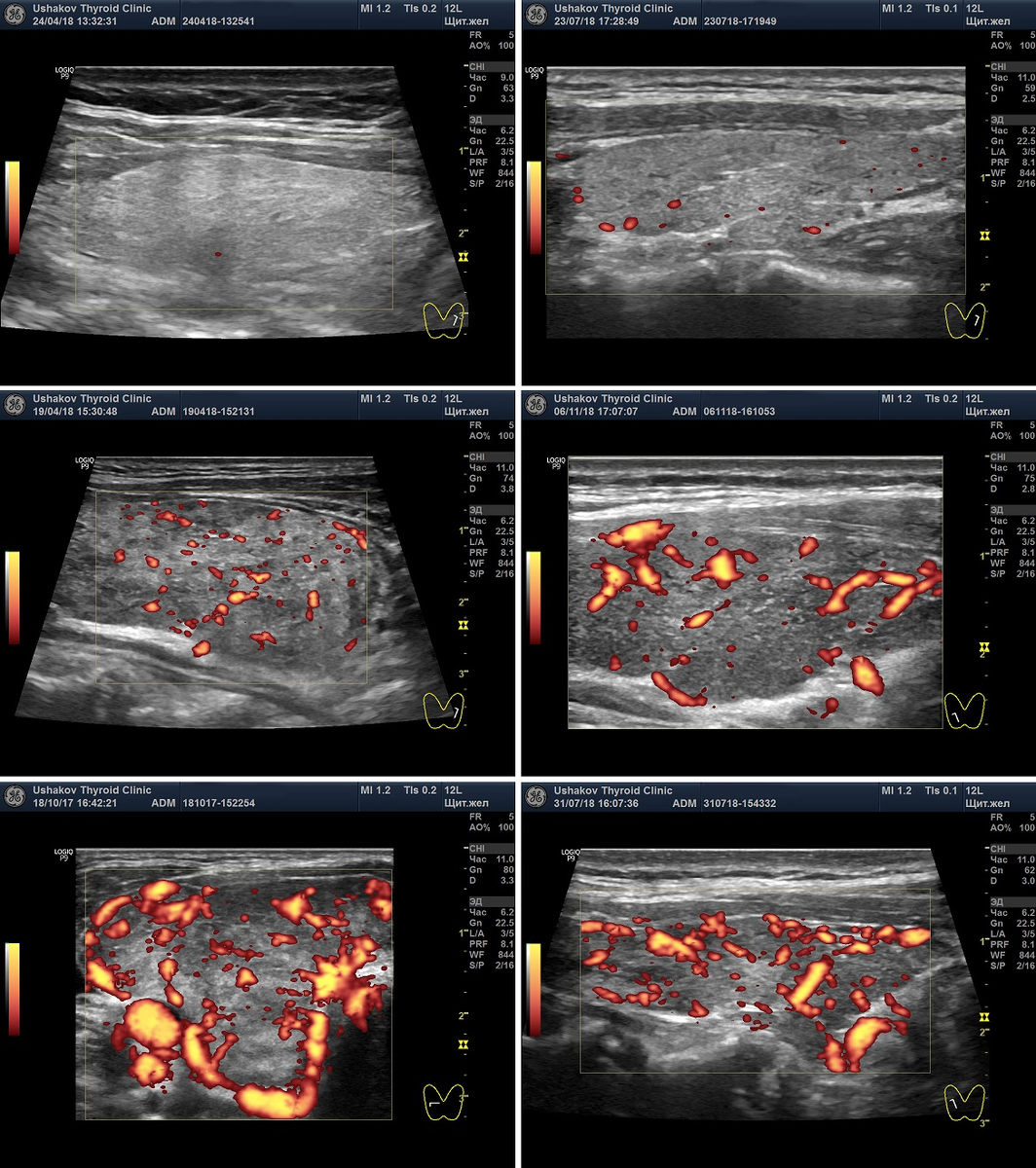
В режиме допплера (ЦДК или ЭДК) врач УЗД должен увидеть раскрашенные программой сосуды внутри щитовидной железы и по их количеству и расширению оценить как перенапрягается ( следовательно - истощается) ваша железа. Существует 6 вариантов состояния напряжения сосудистой сети в долях щитовидной железы.

Варианты кровотока в щитовидной железе при допплерографии в режиме ЭДК (энергетическое допплеровское картирование)
Варианты кровотока в щитовидной железе при допплерографии в режиме ЭДК (энергетическое допплеровское картирование)

Подробные пояснения об этом виде диагностике и что должно быть у вас в Протоколе УЗИ смотрите в специальной статье "Допплерография ― ультразвуковое исследование щитовидной железы".

Самое важное в Протоколе УЗИ щитовидной железы

Всегда врач УЗД должен указывать количество выглядящей полноценной гормонообразующей ткани внутри щитовидной железы. Для этого применяется процентное выражение от всего объёма железы.

Любой человек способен различить в черно-белом изображении УЗИ разные оттенки серого. Щитовидная железа выглядит в разной мере светлосерой. Специалисты называют это состояние иначе - изоэхогенная ткань (паренхима), от изо - средняя и эхогенная - отраженной природы (средняя степень отражения ультразвука).

Количество этой изоэхогенной (светлосерой) ткани внутри доли железы и покажет нам в процентах величину полноценной ткани железы, способной обеспечить организм гормонами.

Если такой ткани 90%, то это количество ткани способно обеспечить организм гормонами. На это способно и меньшее количество ткани ЩЖ. Поэтому следует подумать о том, в связи с чем усилился расход (потребление) щитовидных гормонов организмом! То есть оценить почему щитовидной железе приходится больше перенапрягаться для обеспечения возросшей потребности в её гормонах.

Естественно, при 90-80% полноценной гормонообразующей ткани в щитовидной железе не следует выбирать путь введения в организм гормональных средств для нормализации ТТГ (т.е. лечить бланк анализа крови). Этого не следует делать особенно в случае нормального количества щитовидных гормонов - показателей Т3св. (в оптимуме нормы) и Т4св. (в норме).

Помните, что щитовидная железа регенерирует и, таким образом, постоянно обновляется и способна восстановиться при создании адекватных условий, уменьшающих дополнительный расход её гормонов.

Итак...

Если вам врач не указал в Протоколе УЗИ количество гормонообразующей ткани в процентах, и просто написал: "диффузные изменения соответствуют аутоиммунному тиреоидиту (АИТ)", то это формальный Протокол УЗИ. В таком случае ожидайте продолжение формализма - часто назначают гормональный препарат и т.п., не стремясь восстановить щитовидную железу и ее гормональный обмен.

Клиника Щитовидной железы доктора А.В. Ушакова желает здоровья всем нашим читателям!

Мы знаем о сущности, лечении и помощи при многих болезнях и состояниях, сопровождающих изменения щитовидной железы, и восстанавливаем железу через восстановление всего организма. Проконсультируйтесь с врачами нашей Клиники.

ДЛЯ ВЫБОРА ДИАГНОСТИКИ И ЛЕЧЕНИЯ НЕОБХОДИМО ПРОКОНСУЛЬТИРОВАТЬСЯ С КОМПЕТЕНТНЫМ СПЕЦИАЛИСТОМ

Поддержите наш канал ЛАЙКОМ.

Если желаете - ПОДПИСЫВАЙТЕСЬ и ДЕЛИТЕСЬ.