Добавить в корзинуПозвонить
Найти в Дзене

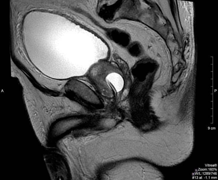
МРТ простаты

МРТ предстательной железы в медицинских центрах СПб может осуществляться как часть МРТ органов малого тазау мужчин или как прицельное обследование МРТ простаты с применением эндоректальной катушки. Цена на томографию предстательной железы зависит от протокола исследования, мощности томографа и необходимости использовать контрастное усиление, например, в случае онкопоиска. Сервис Единого центра

МРТ предстательной железы в медицинских центрах СПб может осуществляться как часть МРТ органов малого тазау мужчин или как прицельное обследование МРТ простаты с применением эндоректальной катушки. Цена на томографию предстательной железы зависит от протокола исследования, мощности томографа и необходимости использовать контрастное усиление, например, в случае онкопоиска. Сервис Единого центра записи на МРТ и КТ - это прекрасная возможность быстро получить все данные об адресах медицинских учреждений, которые осуществляют данный вид диагностики и сравнить цены на томографию, чтобы принять правильное решение о стоимости и качестве диагностики. Звоните, мы поможем Вам подобрать центр с современным оборудованием и выгодными ценами.

-2

Сведение об исследовании

  • Продолжительность: 30-40 минут
  • Требование к подготовке: Есть
  • Назначение врача: Не требуется
  • Применение контраста: По назначению врача
  • Противопоказания и ограничения: Есть
  • Рекомендуемая мощность аппарата: от 1.5 Тесла
  • Время выдачи результатов: 30-40 минут
  • Что входит в стоимость: заключение + запись снимков

Что покажет МРТ простаты

В рамках МРТ предстательной железы врач будет оценивать следующие аспекты:

  • Размер и объем предстательной железы;
  • Переходная зона расширена или нет вследствие доброкачественной гиперпилазии;
  • Имеются ли следы кровоизлияний;
  • Капсула железы ровная без асимметричного выбухания или инвазии;
  • Имеется или нет распространение за капсулу справа или слева в области ректопростатического угла/нейроваскулярного пучка;
  • Семенные пузырьки не изменены;
  • Размер мочевого пузыря и наличие утолщений в его стенках;
  • Лимфатические узлы не увеличены;
  • Есть ли признаки очаговых изменений в костных тканях.

По результатам МРТ простаты диагност напишет детальное заключение, сопроводив его томограммами. Весь этот пакет документов получит пациент (расшифровка снимков в среднем занимает 30- 40 минут), и, в зависимости от итогов сканирования, он будет направлен либо к своему лечащему врачу для постановки окончательного диагноза и начала терапии, либо на дообследование.