Добавить в корзинуПозвонить
Найти в Дзене
DentaQ_ru

Зубной налет: причины образования и как от него избавиться?

Налет неизбежно появляется на поверхности зубов. Его образование провоцирует пища, жидкости и слюна. В ротовой полости все это подвергается воздействию бактерий. В результате образуются мягкие отложения – липкая, бесцветная и иногда желтоватая пленка.
В чем заключается опасность зубного налета
В процессе жизнедеятельности микроорганизмы выделяют кислоты, которые разрушают эмаль и повреждают
Оглавление

Налет неизбежно появляется на поверхности зубов. Его образование провоцирует пища, жидкости и слюна. В ротовой полости все это подвергается воздействию бактерий. В результате образуются мягкие отложения – липкая, бесцветная и иногда желтоватая пленка.

В чем заключается опасность зубного налета

В процессе жизнедеятельности микроорганизмы выделяют кислоты, которые разрушают эмаль и повреждают десна. Специалисты досконально изучили особенности зубной бляшки. Если следовать рекомендациям, можно избежать неприятных последствий.

Рутинная чистка не помогает полностью избавиться от наслоений, особенно в местах прилегания десен, в межзубных пространствах и углублениях жевательной поверхности – фиссурах. Доказано, что уже через 1-2 часа после гигиенической процедуры на эмали вновь появляется налет. Одной из самых опасных бактерий в его составе считается стрептококк S.mutans. Именно он вызывает кариес.

-2

Слюна нейтрализует кислоту в течение пары часов, а затем налет приобретает плотную консистенцию, начинает растворять эмаль, постепенно обнажает дентин с последующим образованием кариозной полости. Но не только кариес является следствием налета. На границе зубного ряда и десен затвердевшие бляшки превращаются в зубной камень.

Твердые отложения возникают:

  • над самой десной (камень может иметь как жесткую, так мягкую текстуру, белый или желтый окрас);
  • под поверхностью десны (наслоение плотное, твердое, темно-зеленого или почти цвета, словно прикипает к корню зуба).

Зубной камень приводит к кровоточивости десен, образованию десневого кармана и к заболеваниям пародонта. Самым грозным осложнением является пародонтит – прогрессирующая деструкция альвеолярных отростков, которая может завершиться расшатыванием и выпадением зуба.

Отложения вызывают физический и психологический дискомфорт. Человек стесняется своей улыбки. Эмаль приобретает неоднородный оттенок с присутствием желто-серых пятен. Неприятный запах изо рта чувствуется на расстоянии, а десна постоянно кровоточат после малейшего нажатия.

Как бороться с зубным налетом

Самостоятельно

Стоматологи не устают напоминать пациентам, что чистка зубов дважды в день обязательна. Хорошо, если получается прибегнуть к щетке после каждого приема пищи, но когда такой возможности нет, следует удалять остатки еды полосканием. Допускается использовать как обычную воду, так и всевозможные составы.

Еще один важный момент заключается в правильной чистке зубов. Жесткость щетины и состав пасты зависят от индивидуальных физиологических данных. Большое значение имеет состояние десен. В таких вопросах лучше не принимать решение на месте, а обратиться за консультацией к дантисту во время очередного профилактического осмотра.

Есть замечательное приспособление - флосс или, другими словами, зубная нить. Простое и доступное средство обязано быть всегда под рукой. Бережно и аккуратно флосс достает остатки пищи, застрявшие между зубов, и, самое главное, очищает промежутки от образовавшегося бактериального наслоения. Пользоваться зубной нитью рекомендовано каждый день.

Чистка зубов в клинике

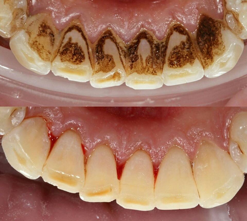
Как уже было отмечено, в ротовой полости присутствуют недоступные для зубной щетки зоны. Если со свежими отложениями удается бороться своими силами, то застаревший налет, а тем более зубной камень необходимо удалять в условиях клиники. В ходе профессиональной чистки восстанавливается натуральный цвет эмали, убираются все отложения и прекращаются воспалительные процессы в деснах.

Во время приема стоматолог:

  • произведет осмотр полости рта и даст оценку ее состояния;
  • удалит все отложения – налет, камень, пигментированные участки;
  • отполирует эмаль и сделает массаж десен для улучшения их кровоснабжения.
Удаление зубного налета и твердых отложений, выполняется с применением различных методик. Самые современные и эффективные способы – использование ультразвукового скалера и системы Air Flow.

Скалер – компактный и безопасный прибор, функционирующий на основе ультразвука. Специальная насадка позволяет производить мягкую и безболезненную чистку зубов и десневых карманов. В зависимости от показаний работа устройства сопровождается подачей лечебно-профилактических жидкостей и лекарственных препаратов.

-3

Аппарат Air Flow воздействует на эмаль потоком водяной смеси с включением абразивных частичек соды. Струя направляется под большим давлением, что гарантирует качественную чистку как всей поверхности зуба, так и участков под десной. Air Flow избавляет от никотинового и кофейного налета, осветляет эмаль на 1-2 тона.

Профилактика

Чистка зубов дома, удаление остатков еды флоссом, полоскание и посещение врача для профилактических процедур один раз в полугодие – обязательные условия для полноценной защиты от зубного налета. При этом есть еще рекомендации дантистов, и к ним также есть смысл прислушаться.

  • Пересмотрите свой рацион

Во-первых, в меню должно быть как можно меньше сладостей, сахара, газированных напитков и хлебобулочных изделий. Во-вторых, больше следует употреблять сырых овощей, фруктов и зелени.

  • Распределяйте нагрузку на челюсти равномерно

Если есть проблемы с зубами, их решают безотлагательно, иначе налет будет интенсивно скапливаться, а зубной камень образовываться на нерабочей стороне зубного ряда.

  • Не доверяйте рекламе

Жевательная резинка после обеда не поможет от зубного налета «на все сто», как обещают предприимчивые маркетологи. Жвачка очень мягкая и не справляется с отложениями, а ксилит – это всего лишь заменитель сахара, а не панацея от кариеса.

-4
Однако некоторая польза от резинки есть. Она провоцирует слюноотделение и убирает некоторую часть остатков пищи из ротовой полости, но жевать подушечку или пластинку нужно не больше пяти минут.
  • Во всем должна быть мера

Не стоит слишком переживать из-за зубных бляшек. Они появляются у абсолютно здоровых людей. В организме есть немало своих ресурсов для борьбы с агрессивной средой, а недавно некоторые ученые даже выступили в защиту самого налета, утверждая, что пленка предохраняет эмаль от внешнего воздействия.