Найти в Дзене
Модный доктор

Грибок кожи и как он выглядит

Думаю, все представляют, что такое грибок, но мало, кто представляет, как же этот страшный зверь выглядит на самом деле.
Процесс забора кожи или ногтей на исследование довольно занимательный: острым предметом скоблиться кожа на специальное стёклышко и на него наносится несколько капелек раствора щёлочи. Ногти срезаются и кладутся в контейнер с более концентрированным раствором щёлочи и

Думаю, все представляют, что такое грибок, но мало, кто представляет, как же этот страшный зверь выглядит на самом деле.

Процесс забора кожи или ногтей на исследование довольно занимательный: острым предметом скоблиться кожа на специальное стёклышко и на него наносится несколько капелек раствора щёлочи. Ногти срезаются и кладутся в контейнер с более концентрированным раствором щёлочи и растворяются там в течение суток.

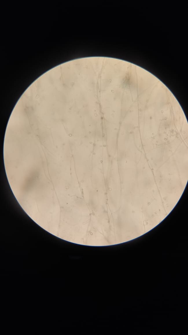
Под микроскопом можно разглядеть, так называемый мицелий гриба, и выглядит он примерно вот так, как ниточки;

Фото автора
Фото автора

Фото автора
Фото автора

Фото автора
Фото автора

Фото автора
Фото автора

Фото автора
Фото автора