Найти в Дзене
Гинеколог Дмитрий Лубнин

Как лечить поликистоз?

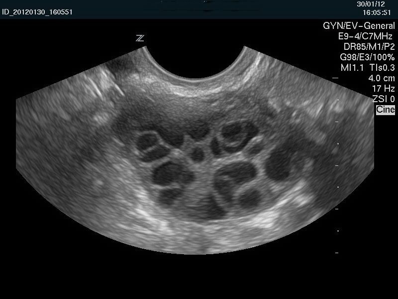
Согласно алгоритму, описанному в статье «Есть ли у вас поликистоз?», у вас может быть один из 4-х фенотипов этого заболевания, прежде чем двигаться дальше, важно понять какой у вас фенотип. Напомню, есть классический синдром, при котором есть все три признака и три “мягкие” формы, когда присутствуют комбинация из 2х любых признаков. Самыми неприятными проявлениями этого заболевания в молодом
Оглавление

Согласно алгоритму, описанному в статье «Есть ли у вас поликистоз?», у вас может быть один из 4-х фенотипов этого заболевания, прежде чем двигаться дальше, важно понять какой у вас фенотип. Напомню, есть классический синдром, при котором есть все три признака и три “мягкие” формы, когда присутствуют комбинация из 2х любых признаков. Самыми неприятными проявлениями этого заболевания в молодом возрасте являются акне, рост нежелательных волос и выпадение волос по мужскому типу, а также нарушение менструального цикла и как следствие бесплодие. Именно на устранение этих причин направлено лечение.

Перейдем к лечению этого заболевания опишу несколько важных моментов:

  • СПКЯ врожденное заболевание и по сути неизлечимое, предполагается дефект в различных генах;
  • Соответственно вылечить полностью заболеванием невозможно, мы боремся с его проявлениями.

Согласно последним представлениям в основе развития этого заболевания лежит такое понятие как “инсулинорезистентность”. Что это такое? Основная задача инсулина брать глюкозу из крови и заводить ее в клетку, для этого он должен вступить в сложный контакт с этой клеткой. Нежелание клетки контактировать с инсулином и есть инсулинорезистентность” (ИР). В результате в крови растет уровень глюкозы и инсулина. Клетка может в разной степени игнорировать инсулин.Если это полный “игнор” развивается сахарный диабет 2 типа, частичный “игнор” - инсулинорезистентность, которая тоже может быть выражена по-разному. То есть могут быть лабораторные (индекс НОМА) и клинические проявления (ожирение), а может их не быть, но при СПКЯ инсулинорезистентность в той или иной степени обязательно присутствует. ИР на уровне яичника влияет на процессы синтеза половых гормонов в нем. Изначально яичник производит мужские половые гормоны и только потом из них делает женские. Перекос в сторону производства мужских и замедленное их превращение в женские - отчасти результат инсулинорезистентности на уровне клеток яичника.

Чем лечат СПКЯ? Все зависит от типа СПКЯ и задачи. Какие бывают задачи:

  • хочу избавиться от прыщей, роста нежелательных волос или их выпадения на голове;
  • хочу наладить цикл;
  • хочу забеременеть.

Как можно решить эти задачи?

Для решения косметических проблем надо снизить продукцию мужских половых гормонов. Это можно сделать путем приема гормональных контрацептивов с антиандрогенным эффектом, которые снижает продукцию ЛГ гипофизом (ЛГ стимулирует выработку андрогенов яичниками) и уменьшают количество свободного тестостерона. Принимать можно длительно, до плановой беременности, контрацептивы ничего не вылечат, но обеспечат хороший косметический эффект и “видимость регулярных менструаций”. Такой метод оптимален если нужна дополнительно надежная контрацепция и нет “страха перед гормонами”.

Если вы планируете беременность и на фоне СПКЯ нет овуляции - проводится стимуляция овуляции препаратами Клостилбегит, Фемара, Гонал или Пурегон, никаких других препаратов для стимуляции овуляции не используют. Стимуляция должна осуществлять опытным в этом вопросе доктором, при этом следует обязательно следить за ростом фолликула (фолликулометрия) путем серии УЗИ.

А можно без гормонов как-то обойтись?

На самом деле да, но не во всех случаях. Напомню, СПКЯ может быть выражен в разной степени (4 фенотипа). Вероятно, на степень выраженности проявлений СПКЯ влияет инсулинорезистентность. В классическом варианте синдрома она может быть существенной, сопровождаться развернутым метаболическим синдромом, при “мягких” формах СПКЯ инсулинорезистентность может даже не выявляться в анализах, но она есть. Собственно поэтому при классическом СПКЯ к терапии добавляют препарат, повышающий чувствительность клеток к инсулину (метформин, сиофор, глюкофаж), который повышает эффективность проводимой стимуляции овуляции и может снижать проявления гиперандрогении, а также нивелирует проявления сопутствующего метаболического синдрома.

При “мягких” фенотипах СПКЯ (когда есть только 2 признака из трех) эффективно работают вещества, которые участвуют в проведении сигнала от инсулина в клетку и обеспечивают несколько других его эффектов. Это Мио-инозитол. В многочисленных исследованиях было показано, что Мио-инозитол (входит в состав Иноферта) в дозе 1 или 2 грамма в сутки в течение трех месяцев способен уменьшать проявления гиперандрогении и восстанавливать естественную овуляцию (оговорюсь, не при всех фенотипах СПКЯ). В последнее время Мио-Инозитол дополняют другим компонентом Хиро-Инозитолом, было показано, что эта комбинация работает лучше. Дополнительно к инозитолам добавляют альфа-липоевую кислоты (дозы разные от 400 до 2000 мг в сутки). Эта кислота также обеспечивает проведение сигналов инсулина в клетку.

Сочетанная Мио-инозизитола с Хиро-инозитолом (Дикироген) и альфа-липоевой кислотой самом по себе может вернуть овуляции и снизить проявления гиперандрогении при мягких формах СПКЯ, но может использоваться как вспомогательное лечение при назначении метформина и стимуляции овуляции при более тяжелом течении СПКЯ.

Отдельно надо сказать, что уменьшение потребления углеводов (например в рамках кето диеты) помогает снижению инсулинорезистентности и соответственно влияет на результат.

Надеюсь все стало понятным. По результатам ваших вопросом сделаю отдельную статью, так что задавайте.