Добавить в корзинуПозвонить
Найти в Дзене
Мама-доктор

Чем опасен наследственный рак молочной железы

По статистике, наследственный рак молочной железы встречается в 5-10% всех случаев злокачественных опухолей этой локализации.
Причинами его являются изменения в генах BRCA1, BRCA2, CHEK2, NBS1, PALB2.
Заподозрить наследственный характер рака можно при наличии у близких родственников рака молочной железы и рака яичников.
При наличии вышеуказанных мутаций злокачественная опухоль нередко может

По статистике, наследственный рак молочной железы встречается в 5-10% всех случаев злокачественных опухолей этой локализации.

Причинами его являются изменения в генах BRCA1, BRCA2, CHEK2, NBS1, PALB2.

Заподозрить наследственный характер рака можно при наличии у близких родственников рака молочной железы и рака яичников.

При наличии вышеуказанных мутаций злокачественная опухоль нередко может поражать обе молочных железы, а также развиваться в других органах - в яичниках, реже - в желудке, толстой кишке, поджелудочной железе, матке.

У большинства пациенток наследственный рак молочной железы проявляется в довольно молодом возрасте - до 40-50 лет. Тогда как спорадический рак возникает чаще у женщин в постменопаузе.

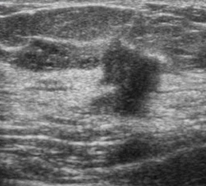
Признаки рака молочной железы на УЗИ
Признаки рака молочной железы на УЗИ
Такие злокачественные опухоли имеют нередко более агрессивное течение в сравнении с раком без генетических мутаций.

При наличии мутации в гене BRCA характерно выявление трижды негативного рака, то есть негативного статуса рецепторов, в частности HER2, что исключает возможность проведения таргетной терапии. Гормональная терапия также обычно не эффективна.

Однако при наследственном раке молочной железы чаще отмечается регресс (обратное развитие) или уменьшение размеров образования на фоне химиотерапии, проводимой до операции, что можно увидеть на маммографии и/или УЗИ.

Таким образом, при наличии в анамнезе у близких родственников рака молочной железы, яичников, особенно в возрасте до 40-50 лет, рекомендуется выполнить анализ на выявление основных мутаций- BRCA1 и BRCA2.

Спасибо, что дочитали! Понравилась статья- ставьте лайк и подписывайтесь на мой канал!