Найти в Дзене
MRT-Diagnostic

Шокирующая правда: чем отличаются КТ и МРТ и почему МРТ часто опаснее для пациента, чем КТ

Фото из открытых источников
«Чем КТ отличается от МРТ? Что эффективнее: КТ или МРТ? Лучше сделать КТ или МРТ позвоночника?», – часто спрашивают пациенты.
Оглавление
https://mrt-diagnostic.ruФото из открытых источников
https://mrt-diagnostic.ruФото из открытых источников

«Чем КТ отличается от МРТ? Что эффективнее: КТ или МРТ? Лучше сделать КТ или МРТ позвоночника?», – часто спрашивают пациенты. Знать это действительно необходимо. Ведь именно на основании этих исследований часто ставится окончательный диагноз. Но проблема в том, что врачи редко дают на них вразумительный ответ. А почти во всех статьях в интернете читателям пытаются вместо правды подсунуть скрытую рекламу. Поэтому мы решились на откровенный разговор, которым многим необходим.

Что такое томография?

Томография – это получение послойных срезов внутренней структуры объекта. Существует разрушающая томография (подразумевающая, грубо говоря, расчленение). И неразрушающая, при которой объект исследуют каким-либо способом, не нарушая его целостности. А затем на основании этих проекционных данных с помощью компьютерного моделирования реконструируют внутренние структуры исследуемого объекта.

КТ и МРТ – это два метода неразрушающей томографии. Они, по сути, решают одну и ту же задачу: показывают плотность вещества в каждой точке сечения. А компьютер производит математические вычисления и визуализирует нам информацию в виде снимка, то есть трехмерного изображения. Причем оно более точное и качественное, чем анатомический срез (то самое расчленение).

Чем метод КТ отличается от МРТ?

Компьютерный томограф создает изображение с помощью рентгеновских лучей. Аппарат состоит из рентгеновской трубки (излучателя) и детектора (сканера). Он совершает в секунду более 1000 операций: испускает и принимает прошедшие через тело пациента волны, обрабатывает информацию и реконструирует изображение.

Преимущества компьютерных томографов:

  • делают более 30 кадров в секунду;
  • исследование длится 15-20 минут;
  • имеют высокое разрешение и чувствительность;
  • способны делать до 512 срезов с толщиной среза от 0,3 мм;
  • минимизируют артефакты;
  • создают очень точные снимки, по которым можно безошибочно поставить диагноз.

Недостатки компьютерных томографов:

  • дают лучевую нагрузку, неизбежную при любых рентгеновских исследованиях;
  • необходимо применять для некоторых исследований контрастирующие препараты на основе йода, на который у пациента может быть аллергическая реакция.

Магнитно-резонансный томограф создает очень мощное статистическое магнитное поле и в нем – импульсное радиочастотное электромагнитное поле. Молекулы воды тела пациента реагируют на радиочастотные волны и резонируют, отражая полученный РЧ-сигнал. Сканер его фиксирует, а компьютер обрабатывает и реконструирует в изображение, которое, по сути, является картой РЧ-сигналов тела пациента.

Преимущества МР-томографов:

  • магнитное поле считается безопасным (точнее, вред от него не был доказан ни одном исследованием);
  • очень хорошо визуализируют без контраста мягкие ткани.

Недостатки МРТ:

  • исследование длится до 40 минут, в течение которых пациент должен лежать неподвижно;
  • один снимок аппарат делает в течение нескольких минут, поэтому здесь не обойтись без артефактов;
  • толщина среза томограмм обычно составляет 3-5 мм (редко – около 1 мм);
  • количество срезов меньше, чем на КТ.

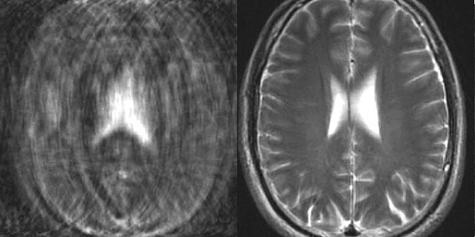
Что такое артефакты и у каких аппаратов их больше?

Фото из открытых источников
Фото из открытых источников

Артефакты – это ложные сигналы, которые можно назвать дефектами на снимках (могут выглядеть как затемнение, полоса, искажение). Они возникают из-за дыхания и сердцебиения, движений пациента, а также из-за металла в его теле.

КТ-аппараты не чувствительны к ферромагнитным металлическим частям в теле пациента, быстрее делают снимки с меньшей толщиной среза и позволяют с помощью настроек программы обработать сигналы и убрать артефакты. То есть КТ умеют корректировать артефакты.

МРТ нельзя применять при наличии в теле пациента любых ферромагнетиков (они магнитятся от внешнего магнитного поля). Проблемой здесь являются также все физиологические артефакты: от движения, сердцебиения, пульсации крови и спинномозговой жидкости.

Поэтому, например, сделать качественный снимок МРТ брюшной полости можно только при задержке дыхания пациента. Это довольно непросто (на старых нечувствительных томографах задержка должна составлять более 1 минуты, на новых – около 30-40 секунд). А если пациент не может лежать неподвижно, то приходится делать МРТ под наркозом. И здесь также возникает проблема с задержкой дыхания.

Какие органы лучше «видит» КТ, а какие МРТ?

МРТ хорошо визуализирует ткани с высокой плотностью атомов водорода: вены и артерии, головной мозг, нервы, мышечные ткани, желудок, почки и другие внутренние органы брюшины. Но метод малоэффективен при исследовании полых органов (в частности, легких с их воздушной паренхимой). Он недостаточно четко показывает костные структуры, кальцинаты почек и поджелудочной железы. Поэтому если нужно проверить мягкие ткани, то лучше сделать МРТ в Москве.

КТ отлично справляется с визуализацией костных тканей (на снимках четко видны мельчайшие отломки при сложных переломах). Это золотой стандарт исследований для исследований в стоматологии (где МРТ практически бесполезен). Также КТ прекрасно визуализирует легкие, кишечник. И позволяет реконструировать из срезов полноценные 3D-модели. Это может быть, как виртуальная эндоскопия (не только желудка, но и сосудов или цистерн головного мозга), так и цифровая информация для создания реальной 3D-модели на принтере, которая необходима для реконструктивных операций. Поэтому перед ринопластикой носа пациента направят сделать МРТ в Москве.

Что имеет больше противопоказаний: КТ или МРТ?

Противопоказания к проведению КТ связаны с лучевой нагрузкой, поэтому исследование имеет минимум абсолютных ограничений. Это беременность и аллергия на йод (только при проведении КТ с контрастом). Также КТ можно сделать пациенту, находящемуся на аппарате жизнеобеспечения (к примеру, на ИВЛ).

У МРТ гораздо больше противопоказаний: кровоостанавливающие клипсы, любые кардио-, нейро- и слуховые имплантаты, содержащие металл, ферромагнитные осколки, клаустрофобия (для исследований на высокочувствительных аппаратах закрытого типа).

МРТ в большинстве случаев нельзя проводить пациентам на аппаратах жизнеобеспечения сразу по двум причинам:

  • такого больного физически невозможно положить в томограф открытого типа;
  • в большинстве аппаратов есть ферромагнитные элементы или электромеханические приборы, которые не могут работать в магнитном поле.

Сколько стоит КТ и МРТ?

https://mrt-diagnostic.ru
https://mrt-diagnostic.ru

Цена КТ может быть, как ниже, так и выше, чем МРТ. Например, КТ позвоночника в Москве стоит от 3500 руб., МРТ позвоночника – от 2500 руб. Но стоимость КТ тазобедренного сустава – от 3200 руб., цена МРТ тазобедренного сустава – от 3000 руб.

Поэтому рекомендуем сравнить цены на https://mrt-diagnostic.ru/, прежде чем записаться на прием.