Добавить в корзинуПозвонить
Найти в Дзене
Твой стоматолог

Почему появляется чувствительность зубов

Отказались от мороженого и больше не пьете горячий чай потому, что это стало приносить невыносимую боль вместо удовольствия? Отказываете себе в любимых сладостях или кислых яблоках? Не выносите даже чистку зубов - "стреляющая" боль заставляет остановиться?

Да, сегодня мы поговорим о такой проблеме, как повышенная чувствительность зубов.

Итак, каковы же причины ее появления?

1. Кариес
Как бы странно не звучало, это действительно одна из самых частых причин появления чувствительности. В данном случае повышенная чувствительность выступает лишь симптомом, и соответственно, не пройдет без лечения у стоматолога.

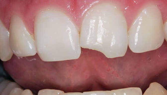
2. Травма зуба
Бывает так, что в результате несчастного случая происходит отлом коронки зуба. Оголенный дентин при этом начинает резко реагировать на все раздражители: холодное, горячее, кислое и сладкое, простое дотрагивание до места перелома приносят боль. Спастись от чувствительности в этом случае можно только после восстановления зуба.

-2

3. Заболевания десен
Самое уязвимое и чувствительное место зубов - их шейки (место перехода коронки зуба в корень). В норме они прикрыты десной, однако при заболеваниях десен может происходить оголение шеек зубов или корней. Естественно, такая проблема часто сопровождается и повышенной чувствительностью.

4. Бруксизм
Ночной скрежет зубами - еще одна причина появления повышенной чувствительности, поскольку способствует истиранию поверхностей зубов. Если вы заметили у себя стертые зубы или ваши домочадцы отмечают, что вы скрипите зубами - обратитесь к стоматологу!

-3

5. Неправильная техника чистки зубов
Самая частая ошибка - чистка зубов горизонтальными движениями. Это и правда удобный метод, но очень опасный: он способствует травме десен с дальнейшим оголением шеек зубов. Оголенные шейки также быстро истираются от горизонтальных движений щеткой, возникают клиновидные дефекты. И снова здравствуй, чувствительность!

-4

6. Неправильная щетка и паста
Покупаете зубную щетку с пометкой "жесткая" или регулярно используете отбеливающую зубную пасту? Вы в группе риска! Многие отбеливающие пасты слишком абразивны и не подходят для постоянного применения (загляните в инструкцию по применению и не делайте ошибок!), поскольку вызывают быстрое истирание тканей зуба, которое сопровождается появлением повышенной чувствительности.
Более быстрому истиранию зуба способствует и слишком сильный нажим на зубную щетку.

7. Отбеливание зубов
К сожалению, отбеливание не влияет на состояние зубов положительно. Чтобы избежать появления чувствительности, стоматологи часто назначают курс минерализующих средств до или после процедуры отбеливания.

8. У вас обострение НЕстоматологического заболевания
Существует так называемая "функциональная" чувствительность. В данном случае она не является симптомом заболеваний полости рта, а возникает при обострении другого заболевания (нервной системы, желудочно-кишечного тракта, крови, гормонального заболевания) или утяжелении его течения. Это, конечно, не повод отказаться от похода к стоматологу, однако при опросе не стоит пытаться утаить имеющиеся у вас НЕстоматологические заболевания!

-5

Но как же помочь себе при появлении повышенной чувствительности?
Разберем уже в следующей статье!

Подписывайтесь на мой канал, ставьте палец вверх, и вы узнаете еще много действенных советов по сохранению здоровья зубов!