Найти в Дзене
CatDog

От разрывов ПКС - до ремонта ЧКС у собак

В спорте разрыв передней крестообразной связки (ПКС) - очень распространенная травма. Та же самая травма часто поражает собак (даже тех, которые не являются спортсменами), но у собак это называется разрывом ЧКС.
ЧКС или черепная крестообразная связка, является основной поддерживающей связкой в ​​колене собаки. Это помогает стабилизировать
Оглавление
Изображение получено из открытых источников интернета
Изображение получено из открытых источников интернета

В спорте разрыв передней крестообразной связки (ПКС) - очень распространенная травма. Та же самая травма часто поражает собак (даже тех, которые не являются спортсменами), но у собак это называется разрывом ЧКС.

ЧКС или черепная крестообразная связка, является основной поддерживающей связкой в ​​колене собаки. Это помогает стабилизировать большеберцовую кость и бедренную кость. (Другими словами, он удерживает голень на одном уровне с коленом и верхней частью ноги.)

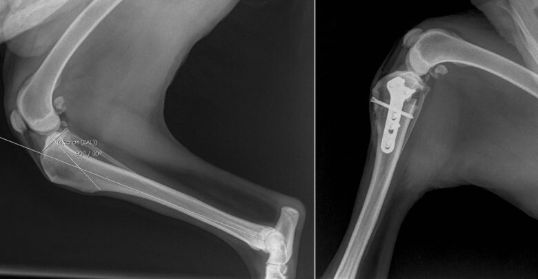
По словам ведущих ветеринаров  остеотомия на уровне большеберцового плато (TPLO) изменяет биомеханику колена, поэтому собака может использовать конечность без черепной крестообразной связки (CCL). Разрыв CCL из-за болезни черепной крестообразной связки является наиболее частой причиной хромоты задних конечностей у собак.

Прогрессирующая дегенерация - более частая причина, чем травма.

Болезнь CCL - это прогрессирующая дегенерация черепной крестообразной связки, приводящая к слабой связке, которая может порваться при обычной активности, такой как бег или прыжки. Небольшое количество случаев вызвано острым или мгновенным разрывом нормальной связки из-за гиперэкстензии или травмы.

В настоящее время окончательной причины этого заболевания нет. Тем не менее, некоторые породы, включая ротвейлера, лабрадора, американского стаффордширского терьера и мастифа, чаще встречаются с CCL.

Как и ожидалось, с травмой колена у собаки с разрывом CCL будут признаки хромоты задних конечностей. Мышцы ноги могут ослабнуть и сжаться из-за неиспользования, а колено опухнет и станет болезненным.

Собакам средних и крупных пород потребуется операция, чтобы исправить разрыв CCL. Маленьких собак (менее 30 фунтов) можно лечить с медицинской точки зрения, но если лечение не принесет результатов, следующим шагом будет операция.

Хирургия меняет биомеханику колена.

Операция по исправлению разрыва CCL называется TPLO, или остеотомией с выравниванием большеберцового плато. Эта операция требует специальной подготовки, и доктора рекомендуют проводить ее в специализированной больнице.

Операция TPLO изменяет биомеханику колена, поэтому собака все еще может использовать конечность без CCL. При операции меняется угол верхней части большеберцовой кости (голени), разрезая кость и вращая ее, чтобы другие мышцы, поддерживающие колено, могли взять на себя функции CCL.

После операции собаки обычно возвращаются домой на следующий день. Владельцы могут ожидать значительного отека пораженного колена в течение первой недели. Важно ограничить активную игру вашей собаки и использование лестницы в течение первых двух месяцев, пока повторный рентген не подтвердит, что место операции зажило должным образом. Как и при любых других операциях, если позволить собаке лизать место разреза, это может вызвать инфекцию, кровотечение и замедленное заживление.

Большинство собак полностью выздоравливают после операции TPLO, но они по-прежнему подвержены артриту и другим проблемам с суставами. Чтобы помочь этим собакам продолжать вести здоровый и активный образ жизни, владельцы могут кормить своих собак сбалансированной диетой, поддерживать их идеальную массу тела и давать им добавки для суставов.

Нет окончательной профилактики разрыва CCL.

Примерно у половины собак, у которых произошел разрыв CCL, разрыв CCL на другой ноге также произойдет в течение двух лет.

Текущие рекомендации включают в себя поддержание идеального веса домашних животных и поощрение умеренных физических нагрузок, чтобы минимизировать нагрузку на колени. Однако это не гарантирует, что травма CCL не произойдет.

Чтобы узнать больше о заболевании CCL и операциях по TPLO, поговорите со своим местным ветеринаром.