Добавить в корзинуПозвонить
Найти в Дзене

Стираемость зубов.

Норма или патология?
Стираемость зубов – в прямом смысле слова истирание твёрдых тканей (эмали и дентина). Она бывает физиологической и патологической.
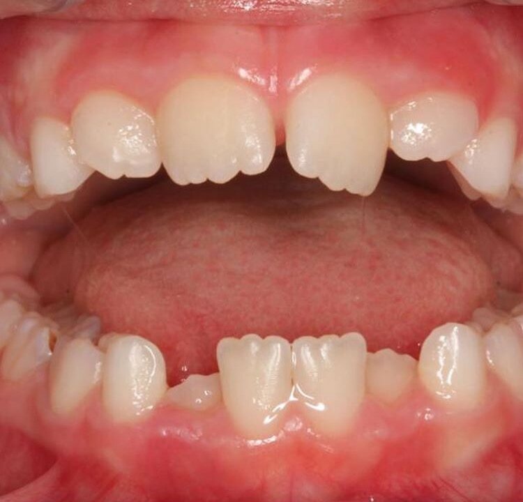
Это зубы 7-летнего ребёнка. Видите, какая шикарная анатомия режущего края?
У взрослых такого уже нет. Резцы в ходе ежедневных трудов стараются, но это норма.
Оглавление

Норма или патология?

Стираемость зубов – в прямом смысле слова истирание твёрдых тканей (эмали и дентина). Она бывает физиологической и патологической.

Это зубы  7-летнего ребёнка. Видите, какая шикарная анатомия режущего края?
Это зубы 7-летнего ребёнка. Видите, какая шикарная анатомия режущего края?
У взрослых такого уже нет. Резцы в ходе ежедневных трудов стараются, но это норма.
У взрослых такого уже нет. Резцы в ходе ежедневных трудов стараются, но это норма.

К сожалению, существует и другая история, называемая патологической стираемостью, которую мы каждый день видим на приёме.

Сначала стирается эмаль, а затем при полном ее исчезновении на режущих краях и буграх, начинает стираться и дентин.
Сначала стирается эмаль, а затем при полном ее исчезновении на режущих краях и буграх, начинает стираться и дентин.

Почему так происходит?

При неправильной несбалансированной нагрузке на зубы организм «отдаёт под раздачу» эмаль и дентин, чтобы защитить пародонт (корень зуба, костную ткань вокруг зуба, связку). Получается, что иногда при неправильном прикусе и бруксизме мы видим стираемость зуба на 1/3 его высоты и более!

Это беда! Нужно срочно заниматься перестройкой прикуса, пока «не съедены все зубы».
Это беда! Нужно срочно заниматься перестройкой прикуса, пока «не съедены все зубы».

Нужно восстанавливать анатомию, пока сустав не дал о себе знать. Нужно, в конце концов, восстановить нижнюю треть лица, чтобы не успели образоваться губо-подбородочные заломы и антиулыбка, когда опущены уголки рта.

Надеюсь, пост не напугал. Что вы ещё хотите узнать о стираемости зубов?