Добавить в корзинуПозвонить
Найти в Дзене
Не интересные факты

8 эффектов жевательной резинки на ваше тело.

Оглавление

На протяжении всей истории люди жевали всё: от смолы и парафина до  Orbit . К примеру, 5000 лет назад люди жевали кусочки бересты смолы. Деготь обладает антисептическими свойствами и другими лечебными свойствами, как и современная жевательная резинка. Очевидно, в этой привычке есть нечто большее, чем свежее дыхание или необычное отвлечение. 

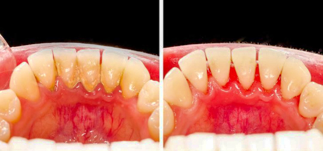
1. Это влияет на ваши зубы.

  • Хорошо : жевательная резинка без сахара - эффективный убийца бактерий. Жевательная резинка защищает ваши зубы от кариеса  вызывая дополнительное количество слюны, смывающей кислоты и остатки пищи. Он также укрепляет эмаль за счет дополнительного внесения кальция и фосфата.
  • Плохо : но если ваша жевательная резинка содержит сахар, это отрицательно сказывается на здоровье зубов. Бактерии, живущие в полости рта, переваривают сахар до того, как он попадет в желудок, в результате чего на зубах образуется зубной налет. Со временем это также увеличивает кариес.

2. Улучшает память.

-2

Прикусывание жевательной резинки увеличивает частоту сердечных сокращений, кровоток и доставку кислорода к мозгу. Одним из положительных эффектов этого является когнитивный импульс, который мы испытываем: он улучшает бдительность, обработку мыслей, принятие решений и память. К сожалению, это не работает в долгосрочной перспективе - это  работает, только если вы жуете перед или во время особо сложных задач.

3. Это помогает в потере веса.

-3
  • Хорошо : иногда жевательная резинка подавляет аппетит. После утреннего жевания жвачки люди, как правило, не чувствуют голода. Он одновременно сладкий и низкокалорийный, поэтому может помочь вам сократить количество перекусов. Он также увеличивает расход энергии, ускоряет метаболизми заставляет вас чувствовать себя менее утомляемым после еды.
  1. Плохо : но репутация жевательной резинки как диетического средства может иметь неприятные последствия. Жевательные движения и постоянная слюна заставляют ваш мозг думать, что вы действительно голодны. А мятная жевательная резинка подталкивает вас к вредной пище, а не к более здоровым блюдам, таким как фрукты.

4. Это вызывает проблемы с челюстью.

-4

Постоянное жевание может привести к заболеванию суставов челюсти и мышц вокруг нее. Любое движение челюстью - еда, смех или даже речь - сопровождается сильной болью, которая иногда распространяется на шею и плечи. Риск особенно высок, если вы жуете в моменты  стресса, поскольку люди, как правило, бессознательно стискивают зубы, когда нервничают.

5. Влияет на пищеварительную систему.

-5
  • Хорошо: дополнительное производство слюны при жевании жевательной резинки эффективно помогает против утренней болезни и укачивания. Некоторые говорят, что действует лучше, чем лекарство, так же быстро снижает вероятность рвоты, дискомфорта в животе и тошноты, при этом значительно дешевле и доступнее.
  • Плохо : но горе вам, если у вас чувствительный желудок или несварение желудка. Когда вы жуете, вы всегда глотаете крошечные глотки воздуха и наполняете желудок газом, который может привести к вздутию живота. Сахарные спирты, часто используемые в качестве подсластителей, действуют как слабительное, вызывая спазмы, боли в животе и диарею .

6. Уменьшает изжогу.

-6

После еды употребление жевательной резинки может снизить уровень кислоты в пищеводе. Слюна разжижает и нейтрализует кислоту после тяжелой еды. Это может помочь уменьшить кислотный рефлекс и изжогу.

7. Это влияет на ваш мозг.

-7
  • Хорошо : как ни странно, жевание жевательной резинки обладает антистрессовыми и улучшающими настроение суперсилами. Пережевывание этого продукта снижает уровень гормона стресса, а простое жевание расслабляет большинство людей.
  • Плохо : но постоянное давление на нашу челюсть увеличивает количество и частоту головных болей напряжения. В худшем случае это может привести к хроническим головным болям.

8. Предотвращает инфекции уха.

-8

Инфекции уха возникают, когда бактерии собираются в трубках, соединяющих нос и уши. Часто поражает детей. Жевательная резинка, содержащая натуральный подсластитель ксилит, помогает  предотвратить оседание бактерий.