Добавить в корзинуПозвонить
Найти в Дзене

О генетике, коротко и просто, часть 1

Генетика – это область биологии, которая изучает гены и наследственность. Эта область науки сравнительно молода, и переживает сейчас бурное развитие. Всего лишь 20 лет назад ученые смогли секвенировать, то есть, прочитать человеческий геном, а сегодня информацию о своем геноме может получить каждый. Прогресс в области генетики удивляет и восхищает. Наверно, не существует другого такого примера в истории науки, когда прогресс шел настолько быстро. Однако, мы только в начале пути: прочитав геном, теперь важно понять, что в нем, собственно, написано.
Что такое ДНК?
Вернемся к тому, что хорошо известно. Генетическая информация человека закодирована в ДНК. ДНК (дезоксирибонуклеиновая кислота) – это очень, очень длинная молекула, состоящая из последовательно соединенных “блоков” – нуклеотидов. Нуклеотиды состоят из азотистого основания, сахара дезоксирибозы и фосфатной группы. Существует 4 вида азотистых оснований: аденин (A), гуанин (G), тимин (T), цитозин (C). Информационную нагрузку нес

Генетика – это область биологии, которая изучает гены и наследственность. Эта область науки сравнительно молода, и переживает сейчас бурное развитие. Всего лишь 20 лет назад ученые смогли секвенировать, то есть, прочитать человеческий геном, а сегодня информацию о своем геноме может получить каждый. Прогресс в области генетики удивляет и восхищает. Наверно, не существует другого такого примера в истории науки, когда прогресс шел настолько быстро. Однако, мы только в начале пути: прочитав геном, теперь важно понять, что в нем, собственно, написано.

Что такое ДНК?
Вернемся к тому, что хорошо известно. Генетическая информация человека закодирована в ДНК. ДНК (дезоксирибонуклеиновая кислота) – это очень, очень длинная молекула, состоящая из последовательно соединенных “блоков” – нуклеотидов. Нуклеотиды состоят из азотистого основания, сахара дезоксирибозы и фосфатной группы. Существует 4 вида азотистых оснований: аденин (A), гуанин (G), тимин (T), цитозин (C). Информационную нагрузку несут именно они, поэтому их стоит запомнить. A, T, G, C - это буквы, которыми записана вся генетическая информация о нас.
Структуру ДНК можно записать как последовательность нуклеотидов, например, ATTGGCGGTAAGCTCCA.

В клетке ДНК представляет собой спираль из двух молекул-нитей, которые связаны друг с другом непрочными водородными связями через азотистые основания. При этом связи весьма специфичны: аденин связывается с тимином (A - T), а гуанин – с цитозином (G - C).
Эта особенность ДНК крайне важна для копирования информации, содержащейся в ДНК. Если расплести спираль из двух нитей ДНК, то на каждой из полученных одиночных нитей возможно специфично, по связям между азотистыми основаниями, достроить вторую нить, то есть, скопировать информацию.а самая двойная спираль, схематично показан короткий отрезок. В середине – азотистые основания (из вики)

Та самая двойная спираль, схематично показан короткий отрезок. В середине – азотистые основания. Автор - brian0918, вики
Та самая двойная спираль, схематично показан короткий отрезок. В середине – азотистые основания. Автор - brian0918, вики

ДНК в клетке
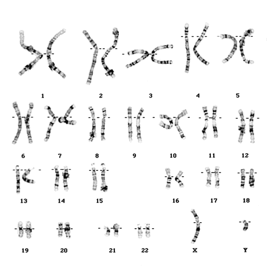
Почти каждая клетка, кроме половых и некоторых специализированных типов клеток, содержит 46 хромосом и ДНК в митохондриях. Хромосома – это очень длинная молекула ДНК, уложенная сложным образом специальными белками. Каждый человек унаследовал по одному набору хромосом от каждого родителя: 22 хромосомы, идентичные у обоих полов (аутосомы), и по одной половой хромосоме, X или Y.
В клетках мужчин: 44 аутосомы (22 от мамы, 22 от папы), и 2 половые хромосомы (X от мамы, Y от папы), всего 46 хромосом. Аутосомы нумеруются, от 1 до 22.
В клетках женщин, соответственно, 44 аутосомы (22 от мамы, 22 от папы), и 2 половые хромосомы (X от мамы, X от папы), всего 46 хромосом.

Хромосомы человека (вики)
Хромосомы человека (вики)

Таким образом, в каждой клетке человека находится два комплекта генетического материала от двух родителей. Гены, которые располагаются на аутосомах, всегда в норме присутствуют в двух экземплярах. Гены, расположенные на половых хромосомах, представлены в одном экземпляре.

Митохондрии – это “энергетические станции” клетки, основной функцией которых является снабжение клетки энергией. Полагают, что митохондрии первоначально были бактериями, а потом, на ранних этапах эволюции, были захвачены клеткой. У митохондрий кольцевая ДНК, характерная для бактерий, которая содержит небольшое количество генов. Митохондрии наследуются только от матери и переносятся яйцеклеткой.

Совокупность всей ДНК клетки, в хромосомах и митохондриях, называют геномом.

Что закодировано в ДНК?
В ДНК закодирована практически вся информация о человеке. ДНК кодирует белки и отдельные виды РНК (рибонуклеиновой кислоты). Белки – это основные сложные молекулы клетки, отвечающие за большинство ее функций. Недаром зачастую всю биологическую жизнь называют белковой, подчеркивая особую роль белка в наших организмах.
Химическая структура всех белков закодирована в ДНК. Кроме того, в ДНК закодированы участки, регулирующие, нужно или не нужно в определенный момент синтезировать тот или иной белок и некодирующая РНК, которая также выполняет регуляторные функции.
Подробнее о регуляторах напишу позже, это отдельная интересная тема.

Все последовательности ДНК, которые кодируют белки, называются
экзомом. Удивительно, но экзом составляет всего около 1% от всей ДНК клетки (генома). Долгое время считалось, что остальная ДНК не нужна, она “мусорная”, или junk DNA. Сегодня среди “мусорной ДНК” находят все больше регуляторных элементов и называют более осторожно, некодирующей ДНК. На сегодняшний день, мы не знаем, зачем нужно такое огромное количество некодирующей ДНК, и нужна ли она вообще.

Далее -
часть 2, о мутациях и заболеваниях