Найти в Дзене
Кулинарные штучки

Вы знали, что у певицы Максим 6 пальцев на левой руке? Правда ли это? Читать далее...

МакSим - очень красивая и талантливая певица, которая была на пике своей популярности в 2000-х годах. Почти все девушки и девочки слушали её песни, и она им нравилась за трогательные песни о любви. Все знают её песню <Трудный возраст>. Вот что говорит певица об этом. Когда я прибыла в Санкт-Петербург на концерт, то заметила, что мою песню поют хором 17 тысяч человек. Мне было очень приятно. Это был какой-то эмоциональный подъём. С этим видео я пришла в Gala Records и меня сразу же приняли, так как видели во мне большой потенциал При рождении девочки врачи замеили, что с левой рукой у маленькой девочки Марины что то не так. Её обследовали и выяснилось, что у неё Полидактилия - наследственное заболевание а, причём довольно распространённое. Это заболевание выражается в том, что развивается дополнительные конечности, то есть, у будущей певицы на левой руке будет два больших пальца. Мама Марины очень переживала и обратилась к врачам. Но на момент обращения к врачу Девочка была уже в подро

МакSим - очень красивая и талантливая певица, которая была на пике своей популярности в 2000-х годах. Почти все девушки и девочки слушали её песни, и она им нравилась за трогательные песни о любви.

Все знают её песню <Трудный возраст>.

Вот что говорит певица об этом.

Когда я прибыла в Санкт-Петербург на концерт, то заметила, что мою песню поют хором 17 тысяч человек. Мне было очень приятно. Это был какой-то эмоциональный подъём. С этим видео я пришла в Gala Records и меня сразу же приняли, так как видели во мне большой потенциал

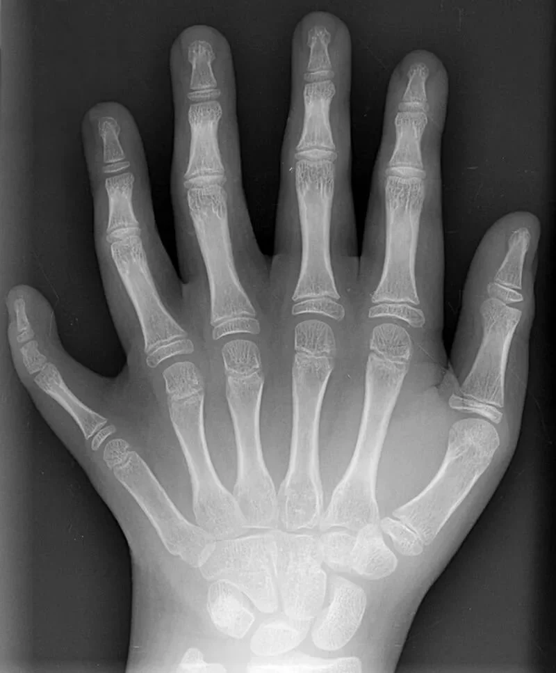
При рождении девочки врачи замеили, что с левой рукой у маленькой девочки Марины что то не так. Её обследовали и выяснилось, что у неё

Полидактилия - наследственное заболевание а, причём довольно распространённое. Это заболевание выражается в том, что развивается дополнительные конечности, то есть, у будущей певицы на левой руке будет два больших пальца.

Мама Марины очень переживала и обратилась к врачам. Но на момент обращения к врачу Девочка была уже в подростковом возрасте! Но хирурги все же смоги устранить дефект и на левой руке певицы теперь только шрам.

Говорят с этим заболеванием люди склонны хорошо владеть музыкальными инструментами, особенно на фортепиано. Но певица Максим с лёгкостью играла не только на пианино, но и на ГИТАРЕ! А ещё, по старинным легендам считалось, что шестой палец на руке- ведьмина метка, а эта метка обозначает, что человек очень умный, талантливый и будет очень счастлив!!!

Как можно заметить, это действительно так.

Снимок руки
Снимок руки
Лично я ещё не видела, людей с лишними конечностями, но в любом случае, ко всем нужно относиться уважительно, Они же не специально рождаются такими!

Спасибо за внимание. Я безумна рада, что вы дочитали эту статью. Если вам понравилось, то пожалуйста, оцените пальцем вверх и подпишитесь на мой канал. Хорошего дня, удачи!