Добавить в корзинуПозвонить
Найти в Дзене
Все о КТ и МРТ

ВСЕ О КТ ГОЛОВНОГО МОЗГА С КОНТРАСТОМ / МСКТ ГОЛОВНОГО МОЗГА С КОНТРАСТИРОВАНИЕМ)

КТ головного мозга с контрастом – это диагностический метод, позволяющий на раннем этапе обнаружить патологии, аномалии развития и последствия травм головы. Он является дальнейшим развитием технологии рентгенографии и эффекта повышенной контрастности тканей при введении в кровь йодсодержащих препаратов. Рентгеновские лучи, испускаемые установленной в томографе трубкой, по-разному проходят сквозь
Оглавление

КТ головного мозга с контрастом – это диагностический метод, позволяющий на раннем этапе обнаружить патологии, аномалии развития и последствия травм головы. Он является дальнейшим развитием технологии рентгенографии и эффекта повышенной контрастности тканей при введении в кровь йодсодержащих препаратов. Рентгеновские лучи, испускаемые установленной в томографе трубкой, по-разному проходят сквозь тело человека, в зависимости от плотности тканей, а улавливающий их датчик помогает аппарату формировать изображение обследуемого органа на снимках. В отличие от обычного рентгена, в современных мультиспиральных томографах источники излучения подвижны, благодаря чему аппарат делает не один снимок, а целую серию, отображая разные слои исследуемой области, и даже выстраивая на их основании трехмерное изображение, на котором видны очаги воспаления, новообразования и патологии сосудов головного мозга.

-2

ЧТО ПОКАЖЕТ МСКТ ГОЛОВНОГО МОЗГА С КОНТРАСТОМ

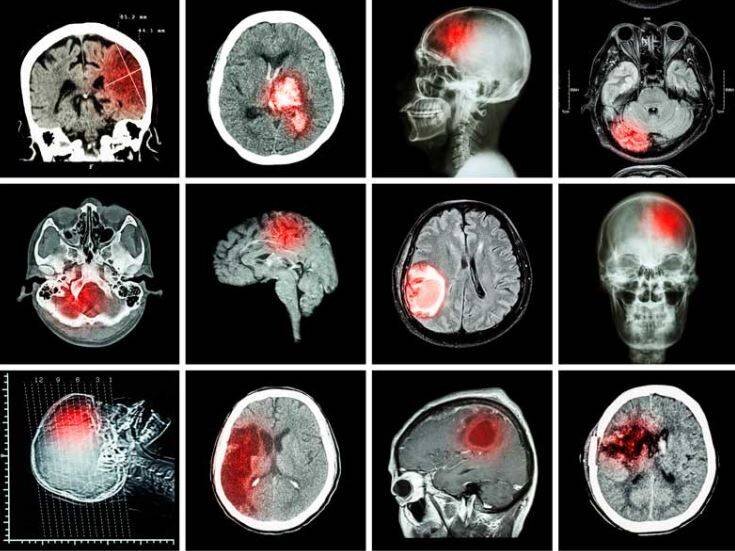
МСКТ головного мозга с контрастированием применяется тогда, когда обычного, нативного обследования без контраста недостаточно. Нативная КТ помогает диагностировать воспалительные процессы, последствия черепно-мозговых травм, но с её помощью сложно изучать последствия кровоизлияний. На снимке они оказываются малозаметными. Именно для этого нужны контрастные препараты на основе йода: попадая в кровь, они затрудняют прохождение рентгеновских лучей, благодаря чему на снимке сосуды и зона кровоизлияния становятся более заметными.

Помимо диагностики последствий острого нарушения кровоснабжения головного мозга, МСКТ мозга с контрастом позволяет проводить визуализацию новообразований при подозрении на онкологию. Любые опухоли интенсивно питаются кровью, поэтому контраст делает их более заметными на снимке, помогает врачу определить характер образования и подготовиться к операции по его удалению либо проконтролировать процесс лечения химиопрепаратами.

Проведя компьютерную томографию головного мозга с контрастным веществом, врач сможет диагностировать:

  • патологические опухолевые очаги;
  • зоны кровоизлияний и разрыва сосудов;
  • наличие метастаз и их локацию;
  • злокачественный потенциал новообразования.

Все эти патологические процессы способны спровоцировать недостаточное снабжение головного мозга кислородом, кровоизлияния и другие опасные для жизни последствия.

ОСОБЕННОСТИ ПРОВЕДЕНИЯ КТ МОЗГА С КОНТРАСТОМ

КТ головного мозга, проводимая с контрастом, проходит по одному алгоритму с нативной, но имеет ряд особенностей. Контрастные препараты при попадании в организм способны спровоцировать тошноту, поэтому перед процедурой рекомендуется не есть 2 часа. Другой специфической подготовки к обследованию не требуется.

Перед КТ головного мозга с контрастом пациенту нужно пройти более глубокий инструктаж, во время которого ему расскажут, какие ощущения возможны в момент введения контраста и какие побочные эффекты могут возникнуть. Современные томографы снабжены системой громкой связи – пациенту сообщают об этом заранее, чтобы он мог дать знать врачу об ухудшении самочувствия.

Для введения контраста обследуемому нужно поставить катетер, а препарат будет подаваться через него посредством автоматического дозатора. Сам процесс проведения КТ в обоих случаях отличается мало. Пациенту нужно лежать спокойно и выполнять команды медицинского специалиста, в то время как аппарат будет делать снимки. Процедура обследования занимает от 5 минут до получаса, поскольку КТ с контрастированием делается дольше. После мультиспиральной КТ с контрастным веществом нужно пить больше воды, поскольку оно выводится в основном с мочой.

ПРОТИВОПОКАЗАНИЯ

КТ головного мозга, если делать его с контрастом, обладает большим количеством противопоказаний по сравнению с нативной версией. Обычное компьютерное обследование противопоказано только беременным женщинам из-за способности рентгеновских лучей нарушать процесс нормального развития будущего ребенка. КТ с контрастированием также противопоказано при:

  • диабете;
  • заболеваниях щитовидной железы;
  • почечной и печеночной недостаточности;
  • аллергии на йод.

Из-за увеличившегося списка противопоказаний рентгенолог должен уделить больше внимания первичному обследованию пациента перед процедурой с контрастом на аппарате КТ. Он обязан убедиться в отсутствии у диагностируемого склонности к аллергическим реакциям и получить полный список лекарств, которые принимает пациент. Только после этого возможен допуск к КТ мозга с контрастным усилением.

СТОИМОСТЬ КТ ГОЛОВНОГО МОЗГА С КОНТРАСТОМ И БЕЗ

На стоимость проведения компьютерной томографии влияет целый ряд факторов. Современный томограф, использование контрастных препаратов, одновременное проведение диагностики сразу нескольких областей тела. Введение контрастного вещества, безусловно, удорожает стоимость обследования. В среднем цена КТ головного мозга с контрастом и без отличается в два раза. Выгодно записаться на КТ мозга поможет Городской центр записи, в партнерской базе которого собраны все диагностические центры Санкт-Петербурга. Сравнивайте цены и выбирайте лучшие диагностические кабинеты в своем районе города, обращайтесь за консультацией. Мы стараемся помочь каждому.