Добавить в корзинуПозвонить
Найти в Дзене
ГК «ЦСИ»

Скол зуба: причины и методы исправления

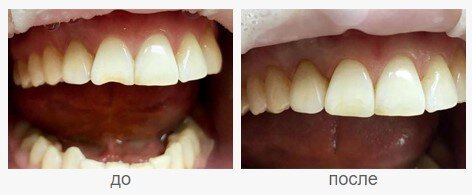
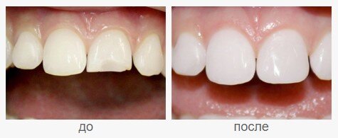
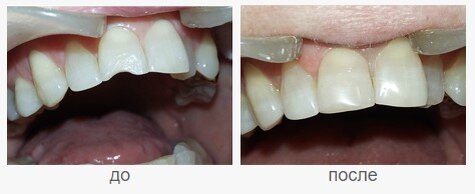
✔️ Реставрация сколов зубов ✔️Фото до и после реставрации ✔️Ответы на вопросы пациентов
Оглавление

Повреждение эмали передних или жевательных зубов, которые приводят к сколам, встречаются довольно часто и представляют не только эстетическую проблему. Отсутствие даже небольшого фрагмента может спровоцировать появление зубной боли в виде реакции на холодную или горячую пищу, стать причиной развития кариеса. Чтобы избежать таких последствий, нужно вовремя обратиться к стоматологу, который аккуратно и профессионально устранит проблему, сделает скол зуба незаметным.

Причины появления сколов на зубах

Прежде чем начинать реставрацию скола зуба, стоматологу необходимо знать, что вызвало его повреждение. К факторам риска относят следующие:

  • бытовые травмы, случайные повреждения;
  • нарушение прикуса;
  • патологии зубного ряда, которые не были устранены вовремя;
  • наличие вредных привычек, которые влияют на качество эмали;
  • понижение кислотности ротовой полости.

Какой бы ни была причина повреждения, если появляется малейший дискомфорт после скола зуба, его необходимо устранить.

Скол зуба может быть едва заметным или занимать достаточно большую площадь, при этом мешая нормальной и внятной речи, измельчению пищи. В зависимости от масштаба проблемы различают такие разновидности сколов:

  • Неполный скол (появление трещины на эмали с сохранением целостности остальных слоев).
  • Скол эмали или дентина.
  • Скол, сопровождающийся обнажением пульпы.

В зависимости от сложности случая врач подбирает подходящее лечение и проводит восстановление отсутствующей части зуба.

Как проходит реставрация поврежденного зуба?

Опытные стоматологи устраняют дефекты, связанные со сколами зуба, таким образом, что поврежденное место практические не отличается по цвету от естественной ткани. Если нет воспаления десны или других процессов, то дополнительное лечение не требуется, врач быстро определит, что делать, за один-два приема восстановит целостность эмали.

При небольшом сколе зуба для его восстановления используют композитные материалы, которые отличаются достаточной прочностью, долговечностью и невысокой стоимостью. Более сложные дефекты исправляются при помощи виниров (облицовка поверхности тонким слоем керамики) или установкой коронок.

Вопросы и ответы

Вопрос :

Откололся фрагмент переднего зуба, речь это не искажает, но приносит эстетический дискомфорт. Подскажите, как вы можете помочь в моей проблеме?

Ответ :

Каждый случай нужно рассматривать индивидуально, все зависит от размеров скола и общего состояния зубной эмали. На первом приеме после диагностики будет определен способ исправления и стоимость работы.

Вопрос :

Скажите, а вы восстанавливаете только передние зубы после скола? Что делать, если у меня откололся кусок жевательного зуба (шестерка)?

Ответ :

Наши специалисты наращивают фрагменты любого зуба из ряда, после процедуры дефект будет незаметен, даже если откололась значительная часть. Приходите в центр и мы посмотрим, как быстро и аккуратно починить поврежденный зуб, какой способ использовать.

P.S.

Информация подготовлена специалистами наших клиник.

Источник: перейти

Имеются противопоказания. Представленная информация не может быть использована для постановки диагноза, назначения лечения и не заменяет прием врача.