Добавить в корзинуПозвонить
Найти в Дзене
Все о КТ и МРТ

ВСЕ О МРТ ГОЛЕНОСТОПНОГО СУСТАВА

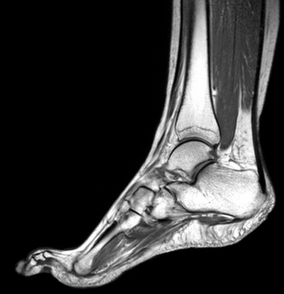
МРТ голеностопного сустава в клиниках Санкт-Петербурга проводят на моделях аппарата томографии с различной мощностью, и это во многом определяет цену обследования. Самый недорогой способ сделать МРТ - записаться на исследование на открытом томографе. Существенно дороже будет стоить сканирование стопы и голени на высокопольном аппарате мощностью 1,5 и 3 Тесла. МР томография голеностопного сустава
Оглавление

МРТ голеностопного сустава в клиниках Санкт-Петербурга проводят на моделях аппарата томографии с различной мощностью, и это во многом определяет цену обследования. Самый недорогой способ сделать МРТ - записаться на исследование на открытом томографе. Существенно дороже будет стоить сканирование стопы и голени на высокопольном аппарате мощностью 1,5 и 3 Тесла. МР томография голеностопного сустава - это исследование связок, суставных тканей и костей голеностопа, которое назначают врачи, чтобы как можно скорее выявить причину заболевания в этой части ноги и начать лечение. Голеностопный сустав - это важное сочленение в опорно-двигательном аппарате, и если оно выходит из строя, это доставляет человеку массу сложностей, так как теряется возможность нормально ходить.

-2

ОТ ЧЕГО ЗАВИСИТ ЦЕНА МРТ ГОЛЕНОСТОПА

Стоимость МРТ голеностопного сустава зависит от нескольких факторов. Например, во многих клиниках Санкт-Петербурга на нее влияет модель томографа, квалификация персонала, протокол исследования, месторасположение и ценовая политика медицинского учреждения. Следует помнить, что более дорогой процедуру сделает применение контраста, так как в этом случае к стоимости томографии будут приплюсованы затраты на контрастное вещество, которые рассчитываются по массе тела пациента.

На цену на МРТ голеностопного сустава в СПб может также повлиять и время проведения обследования. Некоторые клиники ведут прием
круглосуточно, и в них можно сделать томографию в любое время дня и ночи. Обычно ночная диагностика проходят со скидкой и существенно выгоднее по стоимости. Иногда медицинские клиники предлагают своим клиентам скидку, если записаться через сайт. Часто в борьбе за клиента частные МРТ центры проводят различного рода акции или предлагают некоторым категориям граждан пройти обследование по льготной цене. Если Вы ищите возможность сделать МРТ голеностопного сустава в СПб подешевле, смело звоните в Городской центр записи, и наши консультанты расскажут Вам обо всех акциях и скидках на МРТ в городе Санкт-Петербурге.

-3

ЧТО ВХОДИТ В СТОИМОСТЬ ТОМОГРАФИИ ГОЛЕНОСТОПА

Как правило, в стоимость томографической диагностики входит не только само исследование на томографе, но и несколько дополнительных опций. Это, как уже было сказано, расшифровка врачом результатов и оформление их в виде письменного заключения, диска со снимками и возможности задать вопросы врачу после сканирования. В большинстве МРТ центров СПб по просьбе пациента за небольшую плату для наглядности можно распечатать полученные снимки на специальную пленку. В спорных или особо тяжелых случаях многие клиники также предоставляют возможность получить второе экспертное заключение от ведущих диагностов Санкт-Петербурга и Москвы.

ПОКАЗАНИЯ К МРТ ГОЛЕНОСТОПНОГО СУСТАВА

Решение о необходимости сделать МРТ голеностопа обычно принимает лечащий врач. Это может быть ортопед, травматолог, ревматолог, хирург. Пациента навести на мысль о необходимости провести магнитно-резонансную томографию могут следующие симптомы:

  • отечность в области стопы и голеностопа;
  • изменения цвета кожного покрова;
  • боль при ходьбе;
  • синдром “расколотой голени”;
  • изменения формы голеностопа;
  • появления наростов и шишек;

ЧТО ПОКАЖЕТ МРТ ГОЛЕНОСТОПА

МРТ голеностопного сустава предоставляет врачам возможность провести дифференциальную диагностику следующих патологий:

  • растяжение связок лодыжки;
  • тендинит ахиллова сухожилия;
  • теносиновит;
  • пяточная шпора;
  • переломы малоберцовой кости и большеберцовой кости;
  • тендиноз задней большеберцовой мышцы;
  • ущемление медиального и латерального подошвенных нервов;
  • невропатическая артропатия;
  • разрывы ахиллова сухожилия;
  • болезнь Шарко-Мари-Тута.

Данные магнитно-резонансной томографии могут потребоваться при подготовке к хирургическому вмешательству или в послеоперационный период для контроля результатов лечения и скорости восстановления тканей.