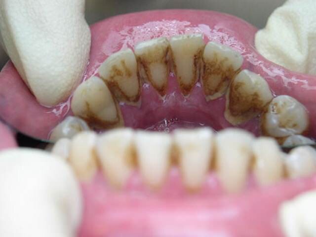
Через 10 дней ваши зубы станут заметно ЖЕЛТЕЕ Через 3 недели- из за накопившийся налета может появиться зубной камень Через месяц зубной камень вызовет кариес
Через 10 дней ваши зубы станут заметно ЖЕЛТЕЕ Через 3 недели- из за накопившийся налета может появиться зубной камень Через месяц зубной камень вызовет кариес
...Читать далее
Через 10 дней ваши зубы станут заметно ЖЕЛТЕЕ
Через 3 недели- из за накопившийся налета может появиться зубной камень